Suppr超能文献

新型冠状病毒肺炎进展:康复期血清中和抗体的持久性、有效性及免疫逃逸

Progress of the COVID-19: Persistence, Effectiveness, and Immune Escape of the Neutralizing Antibody in Convalescent Serum.

作者信息

Liang Dan, Zhang Guanting, Huang Mingxing, Wang Li, Hong Wenshan, Li An'an, Liang Yufeng, Wang Tao, Lu Jiahui, Ou Mengdang, Ren Zhongqiang, Lu Huiyi, Zheng Rutian, Cai Xionghui, Pan Xingfei, Xia Jinyu, Ke Changwen

机构信息

Guangdong Provincial Key Laboratory of Virology, Institute of Medical Microbiology, Jinan University, Guangzhou 510632, China.

Emergency Key Team, Guangzhou National Laboratory, Guangzhou 510700, China.

出版信息

Pathogens. 2022 Dec 13;11(12):1531. doi: 10.3390/pathogens11121531.

Abstract

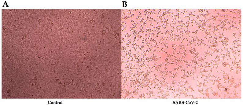
Severe Acute Respiratory Syndrome Coronavirus 2 (SARS-CoV-2), a new coronavirus causing Coronavirus Disease 2019 (COVID-19), is a major topic of global human health concern. The Delta and Omicron variants have caused alarming responses worldwide due to their high transmission rates and a number of mutations. During a one-year follow-up (from June 2020 to June 2021), we included 114 patients with SARS-CoV-2 infection to study the long-term dynamics and the correlative factors of neutralizing antibodies (NAbs) in convalescent patients. The blood samples were collected at two detection time points (at 6 and 12 months after discharge). We evaluated the NAbs response of discharged patients by performing a micro-neutralization assay using a SARS-CoV-2 wild type. In addition, a total of 62 serum samples from discharged COVID-19 patients with Alpha, Beta, Delta, and Omicron variants of infection were enrolled to perform cross-neutralization tests using the original SARS-CoV-2 strain and VOCs variants (including Alpha, Beta, Gamma, Delta, and Omicron variants) and to assess the ability of NAbs against the SARS-CoV-2 variants. NAbs seroconversion occurred in 91.46% of patients ( = 82) in the first timepoint and in 89.29% of patients ( = 84) in the second detection point, and three kinds of NAbs kinetics curves were perceived. The NAbs levels in young patients had higher values than those in elder patients. The kinetics of disease duration was accompanied by an opposite trend in NAbs levels. Despite a declining NAbs response, NAbs activity was still detectable in a substantial proportion of recovered patients one year after discharge. Compared to the wild strain, the Omicron strain could lead to a 23.44-, 3.42-, 8.03-, and 2.57-fold reduction in neutralization capacity in "S", "S", "S", and "S", respectively, and the NAbs levels against the Omicron strain were significantly lower than those of the Beta and Delta variants. Remarkably, the NAbs activity of convalescent serum with Omicron strain infection was most obviously detectable against six SARS-CoV-2 strains in our study. The role of the vaccination history in NAbs levels further confirmed the previous study that reported vaccine-induced NAbs as the convincing protection mechanism against SARS-CoV-2. In conclusion, our findings highlighted the dynamics of the long-term immune responses after the disappearance of symptoms and revealed that NAbs levels varied among all types of convalescent patients with COVID-19 and that NAbs remained detectable for one year, which is reassuring in terms of protection against reinfection. Moreover, a moderate correlation between the duration of disease and Nabs titers was observed, whereas age was negatively correlated with Nabs titers. On the other hand, compared with other VOCs, the Omicron variant was able to escape the defenses of the immune system more significantly, and the convalescent serum infected with the Omicron variant played a critical part in protection against different SARS-CoV-2 variants. Recovery serum from individuals vaccinated with inactivated vaccine preceding infection with the Omicron strain had a high efficacy against the original strain and the VOCs variants, whereas the convalescent serum of persons vaccinated by inactivated vaccine prior to infection with the Delta variant was only potent against the wild-type strain.

摘要

严重急性呼吸综合征冠状病毒2(SARS-CoV-2)是一种引发2019冠状病毒病(COVID-19)的新型冠状病毒,是全球人类健康关注的重大话题。德尔塔和奥密克戎变种因其高传播率和大量突变在全球引起了令人担忧的反应。在为期一年的随访(从2020年6月至2021年6月)中,我们纳入了114例SARS-CoV-2感染患者,以研究康复患者中和抗体(NAbs)的长期动态变化及相关因素。在两个检测时间点(出院后6个月和12个月)采集血样。我们通过使用SARS-CoV-2野生型进行微量中和试验来评估出院患者的NAbs反应。此外,共纳入62份感染了阿尔法、贝塔、德尔塔和奥密克戎变种的COVID-19出院患者血清样本,使用原始SARS-CoV-2毒株和VOCs变种(包括阿尔法、贝塔、伽马、德尔塔和奥密克戎变种)进行交叉中和试验,以评估NAbs对SARS-CoV-2变种的中和能力。在第一个时间点,91.46%(n = 82)的患者发生了NAbs血清转化,在第二个检测点,89.29%(n = 84)的患者发生了血清转化,并且观察到三种NAbs动力学曲线。年轻患者的NAbs水平高于老年患者。疾病持续时间的动力学变化与NAbs水平呈相反趋势。尽管NAbs反应有所下降,但在出院一年后,仍有相当比例的康复患者可检测到NAbs活性。与野生毒株相比,奥密克戎毒株在“S1”“S2”“S3”和“S4”中的中和能力分别可导致23.44倍、3.42倍、8.03倍和2.57倍的降低,并且针对奥密克戎毒株的NAbs水平显著低于贝塔和德尔塔变种。值得注意的是,在我们的研究中,感染奥密克戎毒株的康复血清对六种SARS-CoV-2毒株的NAbs活性最明显可检测到。疫苗接种史在NAbs水平中的作用进一步证实了先前的研究,该研究报告疫苗诱导的NAbs是针对SARS-CoV-2的令人信服的保护机制。总之,我们的研究结果突出了症状消失后长期免疫反应的动态变化,并揭示了所有类型的COVID-19康复患者的NAbs水平各不相同,且NAbs在一年内仍可检测到,这在预防再次感染方面令人安心。此外,观察到疾病持续时间与NAbs滴度之间存在适度相关性,而年龄与NAbs滴度呈负相关。另一方面,与其他VOCs相比,奥密克戎变种能够更显著地逃避免疫系统的防御,并且感染奥密克戎变种的康复血清在针对不同SARS-CoV-2变种的保护中发挥了关键作用。在感染奥密克戎毒株之前接种过灭活疫苗的个体的康复血清对原始毒株和VOCs变种具有高效力,而在感染德尔塔变种之前接种过灭活疫苗的人的康复血清仅对野生型毒株有效。

https://cdn.ncbi.nlm.nih.gov/pmc/blobs/9d8f/9782332/9b644b96bc59/pathogens-11-01531-g001.jpg

文献AI研究员

20分钟写一篇综述,助力文献阅读效率提升50倍。

立即体验

用中文搜PubMed

大模型驱动的PubMed中文搜索引擎

马上搜索

文档翻译

学术文献翻译模型,支持多种主流文档格式。

立即体验