Suppr超能文献

儿童登革热致死病例的肾组织免疫病理学

Immunopathology of Renal Tissue in Fatal Cases of Dengue in Children.

作者信息

de Lima Siqueira Oliveira Lucca, de Andrade Vieira Alves Felipe, Rabelo Kíssila, Moragas Leandro Junqueira, Mohana-Borges Ronaldo, de Carvalho Jorge José, Basílio-de-Oliveira Carlos, Basílio-de-Oliveira Rodrigo, Rosman Fernando Colonna, Salomão Natália Gedeão, Paes Marciano Viana

机构信息

Laboratório Interdisciplinar de Pesquisas Médicas, Instituto Oswaldo Cruz, Fundação Oswaldo Cruz, Rio de Janeiro 21040-900, Brazil.

Laboratório de Ultraestrutura e Biologia Tecidual, Universidade do Estado do Rio de Janeiro, Rio de Janeiro 20551-030, Brazil.

出版信息

Pathogens. 2022 Dec 15;11(12):1543. doi: 10.3390/pathogens11121543.

Abstract

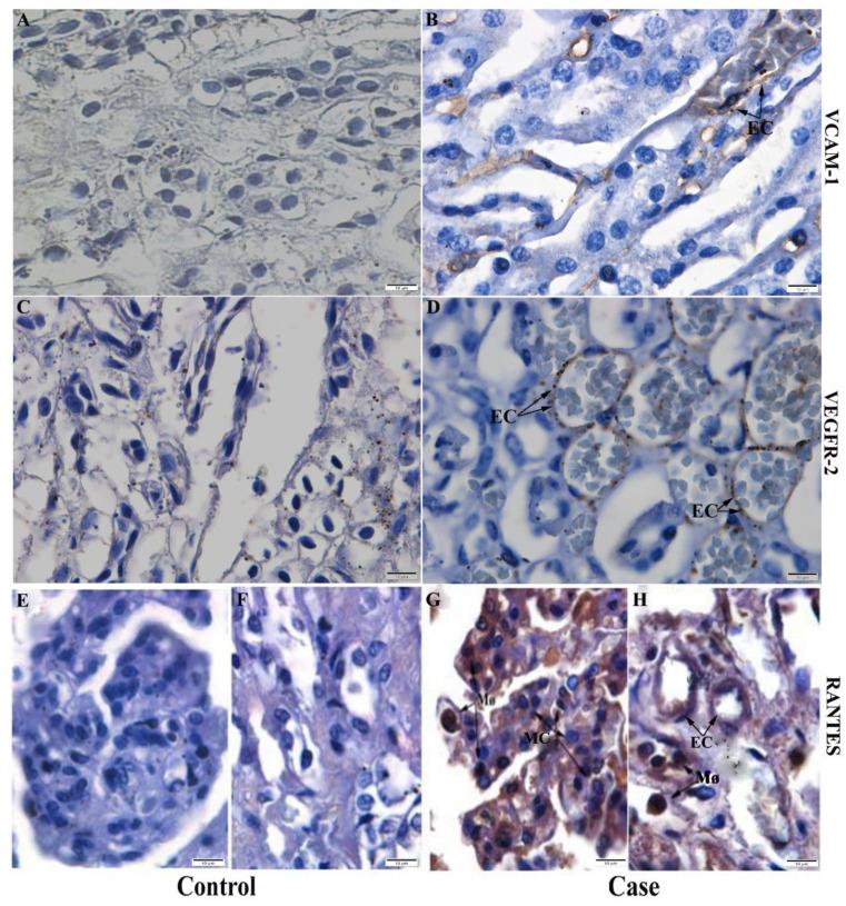
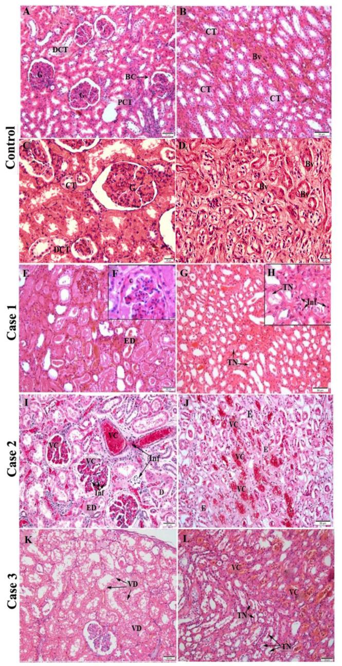
Dengue virus (DENV) infection represents a worldwide public health concern and can cause damage to multiple organs, including the kidney. In this work, we investigated the histopathological changes caused by dengue virus infection along with the detection of inflammatory mediators, cytokines, and cell expression patterns in the renal tissue of three fatal cases in children. Hematoxylin and Eosin staining was performed to analyze these histopathological changes. Immunohistochemistry allowed for the detection of immunological inflammatory markers in renal tissues that were quantified and further analyzed. Vascular congestion, edema and glomerular infiltrate were observed in the three cases, in addition to the thickening of the matrix area around the glomerular capillaries and mononuclear infiltrate associated with vascular congestion in the medullary region. The renal tissues exhibited collagen deposition and high expression of CD68 Mø, CD8 T, CD56 cells and MMP-9, and the cytokine profile was mainly characterized by the expression of IFN-γ and TNF-α. Additionally, the expression of RANTES, VEGFR-2 and VCAM-1 were observed. The replication of DENV was evidenced by the detection of the NS3 protein. These results contributed to clarifying the main factors that may be involved in changes in the renal tissue of fatal cases of dengue in children.

摘要

登革病毒(DENV)感染是一个全球性的公共卫生问题,可导致包括肾脏在内的多个器官受损。在这项研究中,我们调查了登革病毒感染引起的组织病理学变化,同时检测了3例儿童死亡病例肾组织中的炎症介质、细胞因子及细胞表达模式。采用苏木精-伊红染色分析这些组织病理学变化。免疫组织化学用于检测肾组织中的免疫炎症标志物,并进行定量和进一步分析。3例病例均观察到血管充血、水肿和肾小球浸润,此外还观察到肾小球毛细血管周围基质区域增厚以及髓质区域与血管充血相关的单核浸润。肾组织呈现胶原蛋白沉积以及CD68巨噬细胞、CD8 T细胞、CD56细胞和基质金属蛋白酶-9(MMP-9)的高表达,细胞因子谱主要以γ干扰素(IFN-γ)和肿瘤坏死因子-α(TNF-α)的表达为特征。此外,还观察到调节活化正常T细胞表达和分泌因子(RANTES)、血管内皮生长因子受体-2(VEGFR-2)和血管细胞黏附分子-1(VCAM-1)的表达。NS3蛋白的检测证实了登革病毒的复制。这些结果有助于阐明可能参与儿童登革热死亡病例肾组织变化的主要因素。

https://cdn.ncbi.nlm.nih.gov/pmc/blobs/6142/9785549/f69ddef56b54/pathogens-11-01543-g001.jpg

相似文献

1
Immunopathology of Renal Tissue in Fatal Cases of Dengue in Children.
Pathogens. 2022 Dec 15;11(12):1543. doi: 10.3390/pathogens11121543.
2
3
Renal Injury in DENV-4 Fatal Cases: Viremia, Immune Response and Cytokine Profile.
Pathogens. 2019 Nov 7;8(4):223. doi: 10.3390/pathogens8040223.
8
The pathology of severe dengue in multiple organs of human fatal cases: histopathology, ultrastructure and virus replication.
PLoS One. 2014 Apr 15;9(4):e83386. doi: 10.1371/journal.pone.0083386. eCollection 2014.
9
Human kidney damage in fatal dengue hemorrhagic fever results of glomeruli injury mainly induced by IL17.
J Clin Virol. 2016 Feb;75:16-20. doi: 10.1016/j.jcv.2015.12.005. Epub 2015 Dec 23.
10
Cross-Reactivity and Anti-viral Function of Dengue Capsid and NS3-Specific Memory T Cells Toward Zika Virus.
Front Immunol. 2018 Oct 1;9:2225. doi: 10.3389/fimmu.2018.02225. eCollection 2018.

引用本文的文献

1
Detection of viral antigen and inflammatory mediators in fatal pediatric dengue: a study on lung immunopathogenesis.
Front Immunol. 2025 Feb 4;16:1487284. doi: 10.3389/fimmu.2025.1487284. eCollection 2025.
2
Common arboviruses and the kidney: a review.
J Bras Nefrol. 2024 Jul-Sep;46(3):e20230168. doi: 10.1590/2175-8239-JBN-2023-0168en.
4
5
Primary infection of BALB/c mice with a dengue virus type 4 strain leads to kidney injury.
Mem Inst Oswaldo Cruz. 2023 May 8;118:e220255. doi: 10.1590/0074-02760220255. eCollection 2023.

本文引用的文献

2
DENV NS1 and MMP-9 cooperate to induce vascular leakage by altering endothelial cell adhesion and tight junction.
PLoS Pathog. 2021 Jul 26;17(7):e1008603. doi: 10.1371/journal.ppat.1008603. eCollection 2021 Jul.
3
Role of Platelet Cytokines in Dengue Virus Infection.
Front Cell Infect Microbiol. 2020 Sep 30;10:561366. doi: 10.3389/fcimb.2020.561366. eCollection 2020.
4
Acute Kidney Injury in Dengue - Not Unprecedented.
Indian J Pediatr. 2020 Dec;87(12):993-994. doi: 10.1007/s12098-020-03529-z. Epub 2020 Oct 16.
5
Acute kidney injury in dengue among hospitalized children: A prospective view.
Saudi J Kidney Dis Transpl. 2020 Mar-Apr;31(2):407-414. doi: 10.4103/1319-2442.284015.
6
Renal histopathological analysis of 26 postmortem findings of patients with COVID-19 in China.
Kidney Int. 2020 Jul;98(1):219-227. doi: 10.1016/j.kint.2020.04.003. Epub 2020 Apr 9.
7
Insight into the Tropism of Dengue Virus in Humans.
Viruses. 2019 Dec 9;11(12):1136. doi: 10.3390/v11121136.
8
Renal Injury in DENV-4 Fatal Cases: Viremia, Immune Response and Cytokine Profile.
Pathogens. 2019 Nov 7;8(4):223. doi: 10.3390/pathogens8040223.
9
Human T Cell Response to Dengue Virus Infection.
Front Immunol. 2019 Sep 4;10:2125. doi: 10.3389/fimmu.2019.02125. eCollection 2019.
10
Assessment of the new World Health Organization's dengue classification for predicting severity of illness and level of healthcare required.
PLoS Negl Trop Dis. 2019 Aug 20;13(8):e0007144. doi: 10.1371/journal.pntd.0007144. eCollection 2019 Aug.

文献AI研究员

20分钟写一篇综述,助力文献阅读效率提升50倍。

立即体验

用中文搜PubMed

大模型驱动的PubMed中文搜索引擎

马上搜索

文档翻译

学术文献翻译模型,支持多种主流文档格式。

立即体验