Suppr超能文献

20牛循环压缩单次作用诱导大鼠慢性膝骨关节炎:一项长期研究。

One session of 20 ​N cyclic compression induces chronic knee osteoarthritis in rats: A long-term study.

作者信息

Zhao Zixi, Ito Akira, Nakahata Akihiro, Ji Xiang, Tai Chia, Saito Motoo, Nishitani Kohei, Aoyama Tomoki, Kuroki Hiroshi

机构信息

Department of Motor Function Analysis, Human Health Sciences, Graduate School of Medicine, Kyoto University, Kyoto, Japan.

Department of Motor Function Development, Human Health Sciences, Graduate School of Medicine, Kyoto University, Kyoto, Japan.

出版信息

Osteoarthr Cartil Open. 2022 Dec 5;4(4):100325. doi: 10.1016/j.ocarto.2022.100325. eCollection 2022 Dec.

Abstract

OBJECTIVE

Mechanical stimulation is a risk factor for knee osteoarthritis. Non-surgical compression has been used to study the effects of mechanical stimulation . However, the long-term effects of low-force compression on knee joint had not been studied. Therefore, we sought to identify the long-term effects of low-force cyclic compression on the rat knee joint.

DESIGN

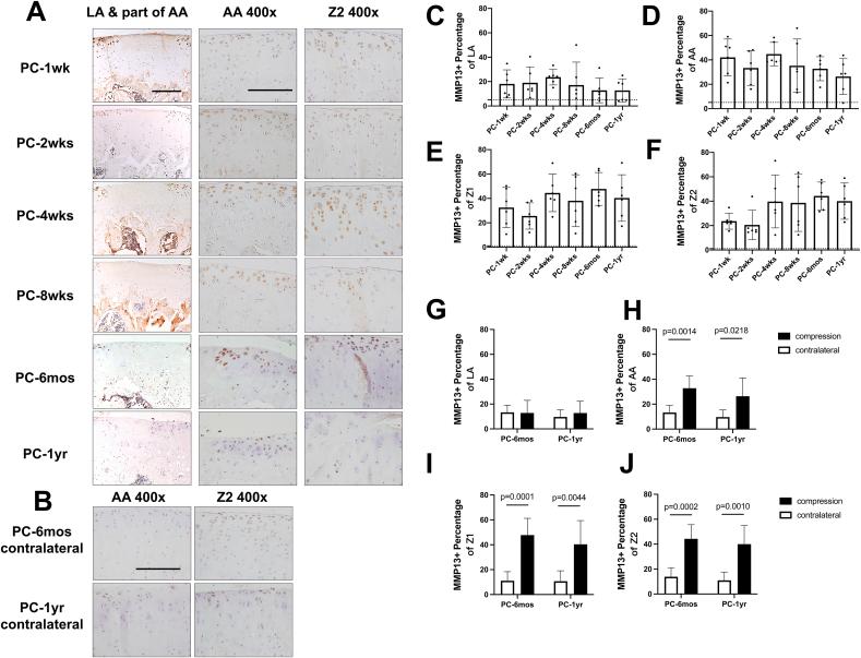
In this study, we applied one session cyclic compression with a peak load of 20 ​N for 60 cycles to the rat knee joint in an approximately 140-degree flexion position (Wistar, male, 12 weeks old), followed by 1 year of observation (including data from 1 week, 2 weeks, 4 weeks, 8 weeks, 6 months, and 1 year after compression), and then performed a sub-regional analysis with hematoxylin-eosin, Safranin O and Fast Green, and MMP13 immunohistochemical staining.

RESULTS

We observed osteoarthritis-like cartilage damage, synovial inflammation, and high expression of MMP13 within 1 year after compression. However, these changes progressed slowly, with obvious matrix cracks that did not appear until 1 year after compression. In the regional analysis, we found that low-force compression caused a much slower development of injury at the compression contact site, and no significant structural cartilage damage was observed after 1 year of compression. In contrast, the non-contact site during compression at tibial cartilage in the same joint was the first to show significant structural damage.

CONCLUSION

This study demonstrates that one session of 20 ​N cyclic compression induces a chronic osteoarthritis-like phenotype in the rat knee in the long term.

摘要

目的

机械刺激是膝关节骨关节炎的一个风险因素。非手术性压迫已被用于研究机械刺激的影响。然而,低强度压迫对膝关节的长期影响尚未得到研究。因此,我们试图确定低强度周期性压迫对大鼠膝关节的长期影响。

设计

在本研究中,我们对处于大约140度屈曲位置的大鼠膝关节(Wistar雄性,12周龄)施加一次峰值负荷为20 N的60次循环压迫,随后进行1年的观察(包括压迫后1周、2周、4周、8周、6个月和1年的数据),然后用苏木精-伊红、番红O和固绿以及MMP13免疫组织化学染色进行亚区域分析。

结果

我们观察到压迫后1年内出现骨关节炎样软骨损伤、滑膜炎症和MMP13高表达。然而,这些变化进展缓慢,明显的基质裂缝直到压迫后1年才出现。在区域分析中,我们发现低强度压迫在压迫接触部位导致损伤的发展要慢得多,压迫1年后未观察到明显的结构性软骨损伤。相比之下,同一关节胫骨软骨压迫期间的非接触部位首先出现明显的结构性损伤。

结论

本研究表明,一次20 N的循环压迫长期会在大鼠膝关节诱导出慢性骨关节炎样表型。

https://cdn.ncbi.nlm.nih.gov/pmc/blobs/4afe/9763514/5cb16ade3cc2/gr1.jpg

文献AI研究员

20分钟写一篇综述,助力文献阅读效率提升50倍。

立即体验

用中文搜PubMed

大模型驱动的PubMed中文搜索引擎

马上搜索

文档翻译

学术文献翻译模型,支持多种主流文档格式。

立即体验