Department of Cardiovascular Surgery, Shanghai General Hospital, Shanghai Jiao Tong University, School of Medicine, Shanghai, China.
Department of Cardiology, Shanghai Institute of Cardiovascular Diseases, Zhongshan Hospital, Fudan University, Shanghai, China.
J Cell Mol Med. 2023 Jan;27(2):232-245. doi: 10.1111/jcmm.17642. Epub 2022 Dec 23.
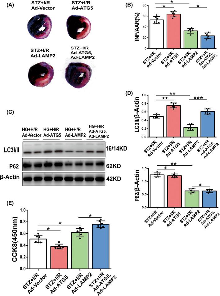
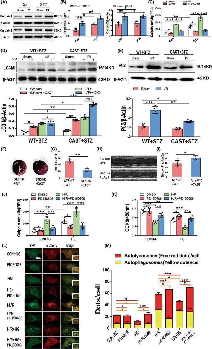
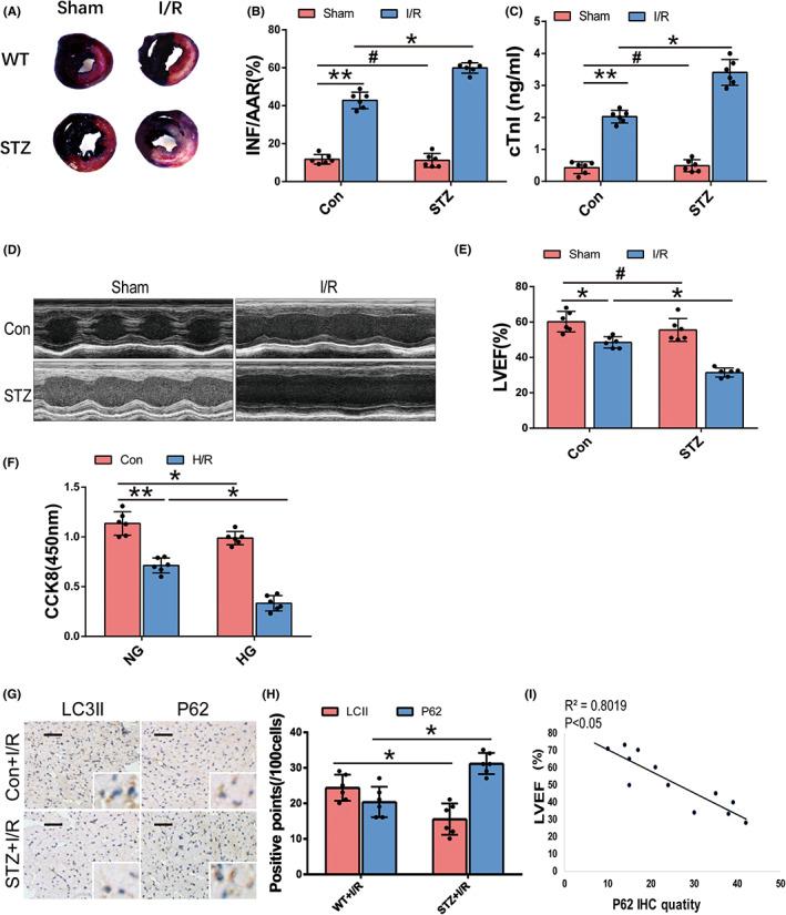
To explore the role of autophagic flux in the increased susceptibility of the experimental diabetic heart to ischaemia-reperfusion (I/R) injury, we established STZ-induced diabetic mice and performed I/R. In vitro, neonatal mouse cardiomyocytes were subjected to high glucose and hypoxia/reoxygenation challenge to mimic diabetic I/R injury. We found that experimental diabetes aggravated I/R-induced injury than compared with nondiabetic mice. Autophagic flux was impaired in I/R hearts, and the impairment was exacerbated in diabetic mice subjected to I/R with defective autophagosome formation and clearance. Calpains, calcium-dependent thiol proteases, were upregulated and highly activated after I/R of diabetes, while calpain inhibition attenuated cardiac function and cell death and partially restored autophagic flux. The expression levels of Atg5 and LAMP2, two crucial autophagy-related proteins, were significantly degraded in diabetic I/R hearts, alterations that were associated with calpain activation and could be reversed by calpain inhibition. Co-overexpression of Atg5 and LAMP2 reduced myocardial injury and normalized autophagic flux. In conclusion, experimental diabetes exacerbates autophagic flux impairment of cardiomyocytes under I/R stress, resulting in worse I/R-induced injury. Calpain activation and cleavage of Atg5 and LAMP2 at least partially account for the deterioration of autophagic flux impairment.
为了探索自噬流在实验性糖尿病心脏对缺血再灌注(I/R)损伤易感性增加中的作用,我们建立了 STZ 诱导的糖尿病小鼠模型并进行了 I/R 处理。在体外,新生小鼠心肌细胞接受高糖和缺氧/复氧挑战,以模拟糖尿病 I/R 损伤。我们发现,与非糖尿病小鼠相比,实验性糖尿病加重了 I/R 引起的损伤。在 I/R 心脏中,自噬流受损,而在糖尿病小鼠中,自噬小体形成和清除受损,这种损伤加剧。钙蛋白酶,钙依赖性硫醇蛋白酶,在糖尿病的 I/R 后上调和高度激活,而钙蛋白酶抑制减轻了心脏功能和细胞死亡,并部分恢复了自噬流。在糖尿病 I/R 心脏中,两个关键的自噬相关蛋白 Atg5 和 LAMP2 的表达水平显著降解,这种改变与钙蛋白酶激活有关,并可被钙蛋白酶抑制逆转。Atg5 和 LAMP2 的共过表达减少了心肌损伤并使自噬流正常化。总之,实验性糖尿病在 I/R 应激下加重了心肌细胞自噬流的受损,导致更严重的 I/R 损伤。钙蛋白酶的激活和 Atg5 和 LAMP2 的切割至少部分解释了自噬流受损的恶化。