Suppr超能文献

对称性四肢骨折四例罕见。

An unusual case of symmetric quadruple limb fractures.

机构信息

Department of Orthopaedics, Jai Prakash Narayan Apex Trauma Centre, All India Institute of Medical Sciences, New Delhi, India.

Department of Orthopaedics, Jai Prakash Narayan Apex Trauma Centre, All India Institute of Medical Sciences, New Delhi, India.

出版信息

Chin J Traumatol. 2023 Sep;26(5):303-307. doi: 10.1016/j.cjtee.2022.12.003. Epub 2022 Dec 7.

Abstract

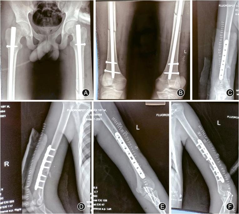
A 19-year-old man had an accidental fall from the 2nd floor and sustained multiple injuries. On radiological evaluation, the patient had symmetrical quadruple limb involvement with bilateral humerus shaft, bilateral olecranon, bilateral femur shaft, and bilateral patella fractures. The patient was actively managed using damage control orthopaedics, and a sequence of skeletal fixation was planned based on the hemodynamic stability and periodical serum lactate assessment. Symmetrical quadruple limb fractures are very rare, which could be associated with higher mortality. A meticulous clinical evaluation, periodical blood parameter assessment and strict adherence to the principles of damage control orthopaedics can be conducive to prevent life-endangering complications.

摘要

一名 19 岁男子从二楼意外坠落,多处受伤。影像学评估显示,患者四肢对称性受累,双侧肱骨干、双侧尺骨鹰嘴、双侧股骨干和双侧髌骨骨折。患者采用损伤控制骨科积极治疗,根据血流动力学稳定性和定期血清乳酸评估,计划进行一系列骨骼固定。四肢对称性骨折非常罕见,但可能与更高的死亡率相关。仔细的临床评估、定期的血液参数评估和严格遵循损伤控制骨科的原则有助于预防危及生命的并发症。

https://cdn.ncbi.nlm.nih.gov/pmc/blobs/9331/10533537/ac527bd7f01a/gr1.jpg

相似文献

1
An unusual case of symmetric quadruple limb fractures.
Chin J Traumatol. 2023 Sep;26(5):303-307. doi: 10.1016/j.cjtee.2022.12.003. Epub 2022 Dec 7.
3
[Ipsilateral fractures of the proximal femur and the femoral shaft].
Acta Chir Orthop Traumatol Cech. 2010 Oct;77(5):378-88.
4
Alternatives in the treatment of ipsilateral fractures of the hip and femur.
Orthopedics. 1989 Mar;12(3):397-400. doi: 10.3928/0147-7447-19890301-10.
6
Simultaneous bilateral femoral shaft fractures.
J Trauma. 1992 Mar;32(3):289-93. doi: 10.1097/00005373-199203000-00004.
7
Noncontiguous fractures of the femoral neck, femoral shaft, and distal femur.
J Trauma. 2003 Jul;55(1):80-6. doi: 10.1097/01.TA.0000046259.43886.25.
9
Increased morbidity and mortality after bilateral femoral shaft fractures: myth or reality in the era of damage control?
Injury. 2013 Feb;44(2):221-5. doi: 10.1016/j.injury.2012.09.011. Epub 2012 Oct 4.
10
[Impaired Healing after Surgery for Femoral Fractures].
Acta Chir Orthop Traumatol Cech. 2015;82(5):358-63.

本文引用的文献

2
Failure to clear elevated lactate predicts 24-hour mortality in trauma patients.
J Trauma Acute Care Surg. 2015 Oct;79(4):580-5. doi: 10.1097/TA.0000000000000810.
3
Are bilateral femoral fractures no longer a marker for death?
J Orthop Trauma. 2014 Feb;28(2):77-81; discussion 81-2. doi: 10.1097/BOT.0b013e3182a83fdf.
4
Fractures in brief: Olecranon fractures.
Clin Orthop Relat Res. 2012 Dec;470(12):3637-41. doi: 10.1007/s11999-012-2393-5.
5
Trends in subtrochanteric, diaphyseal, and distal femur fractures, 1984-2007.
Osteoporos Int. 2012 Jun;23(6):1721-6. doi: 10.1007/s00198-011-1777-9. Epub 2011 Sep 10.
8
The global burden of musculoskeletal injuries: challenges and solutions.
Clin Orthop Relat Res. 2008 Oct;466(10):2306-16. doi: 10.1007/s11999-008-0416-z. Epub 2008 Aug 5.
9
Epidemiology of adult fractures: A review.
Injury. 2006 Aug;37(8):691-7. doi: 10.1016/j.injury.2006.04.130. Epub 2006 Jun 30.
10
Timing of fixation of major fractures in blunt polytrauma: role of conventional indicators in clinical decision making.
J Orthop Trauma. 2005 Sep;19(8):551-62. doi: 10.1097/01.bot.0000161712.87129.80.

文献AI研究员

20分钟写一篇综述,助力文献阅读效率提升50倍。

立即体验

用中文搜PubMed

大模型驱动的PubMed中文搜索引擎

马上搜索

文档翻译

学术文献翻译模型,支持多种主流文档格式。

立即体验