Suppr超能文献

肺动脉瓣和主动脉瓣感染性心内膜炎罕见病例:一例报告

A Rare Case of Pulmonic and Aortic Valve Infective Endocarditis: A Case Report.

作者信息

Perez-Viloria Miguel E, Lopez Kalei, Malik Fayeza, Lopez Olga, Yatham Puja, Malik Rayik, Rosen Gerald

机构信息

Department of Anesthesiology, Mount Sinai Medical Center, Miami Beach, USA.

Department of Anesthesiology, Florida International University, Herbert Wertheim College of Medicine, Miami, USA.

出版信息

Cureus. 2022 Nov 23;14(11):e31820. doi: 10.7759/cureus.31820. eCollection 2022 Nov.

Abstract

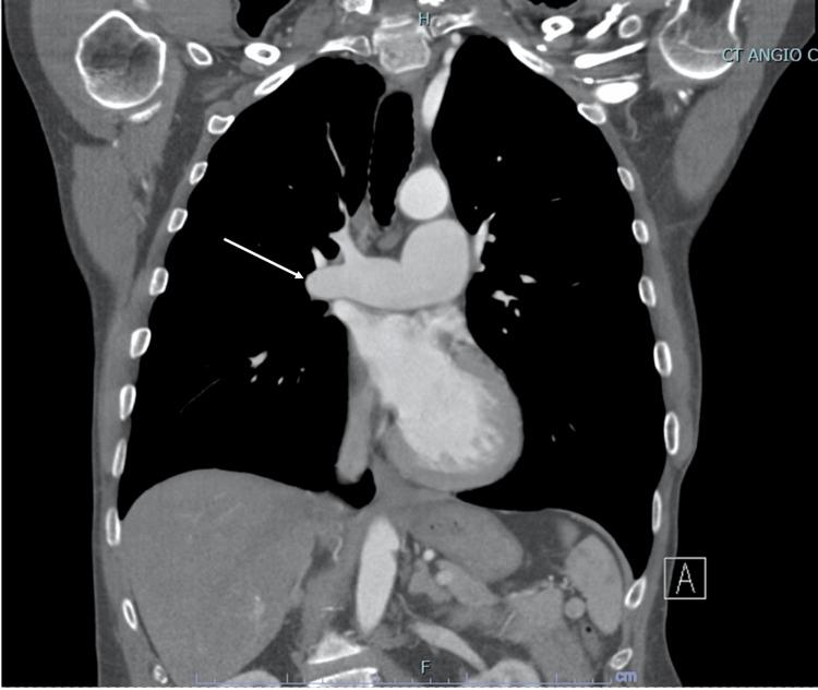
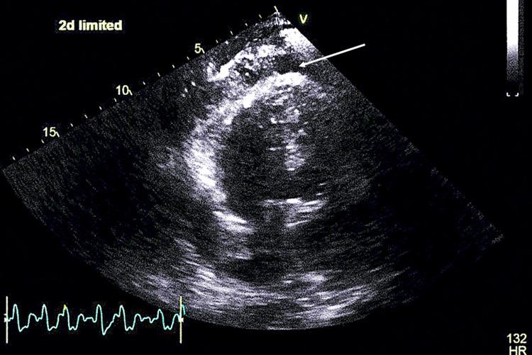
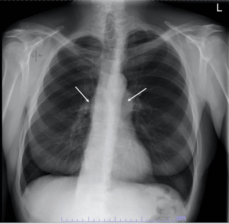
Infective endocarditis (IE) is a microbial infection affecting cardiac valves. IE most often affects the aortic valve and is commonly caused by community-acquired, penicillin-sensitive streptococcus that enters through the oral cavity. In this report, we present a case of a 66-year-old man with a medical history of congenital pulmonic stenosis status after pulmonic valve (PV) repair. The patient underwent a transesophageal echocardiogram showing a 1 cm × 0.7 cm mobile vegetation attached to the ventricular aspect of the right coronary aortic cusp and a 1.1 cm × 0.5 cm mobile vegetation attached to the arterial aspect of the PV cusp. In conclusion, concomitant right- and left-sided IE is an exceedingly rare condition. Due to its rarity and complexity of presentation, pulmonic valve endocarditis (PVE) requires a multidisciplinary approach to its perioperative management to prevent systemic complications.

摘要

感染性心内膜炎(IE)是一种影响心脏瓣膜的微生物感染。IE最常累及主动脉瓣,通常由经口腔进入的社区获得性、对青霉素敏感的链球菌引起。在本报告中,我们介绍了一例66岁男性患者,其有先天性肺动脉狭窄病史,曾接受肺动脉瓣(PV)修复术。患者接受经食管超声心动图检查,显示一个1 cm×0.7 cm的活动赘生物附着于右冠状动脉主动脉瓣叶的心室面,以及一个1.1 cm×0.5 cm的活动赘生物附着于PV瓣叶的动脉面。总之,双侧IE是一种极其罕见的情况。由于其罕见性和临床表现的复杂性,肺动脉瓣心内膜炎(PVE)需要多学科方法进行围手术期管理,以预防全身并发症。

https://cdn.ncbi.nlm.nih.gov/pmc/blobs/0f49/9788795/e0ec5fe55c47/cureus-0014-00000031820-i01.jpg

文献AI研究员

20分钟写一篇综述,助力文献阅读效率提升50倍。

立即体验

用中文搜PubMed

大模型驱动的PubMed中文搜索引擎

马上搜索

文档翻译

学术文献翻译模型,支持多种主流文档格式。

立即体验