Suppr超能文献

一种用于诊断牛支原体感染的新型融合蛋白候选物。

A novel fusion protein candidate for the serodiagnosis of Mycoplasma agalactiae infection.

机构信息

Department of Pathobiology, Biotechnology Section, School of Veterinary Medicine, Shiraz University, Shiraz, Iran.

Department of Pathobiology, School of Veterinary Medicine, Shiraz University, Shiraz, Iran.

出版信息

BMC Vet Res. 2022 Dec 29;18(1):456. doi: 10.1186/s12917-022-03558-0.

Abstract

BACKGROUND

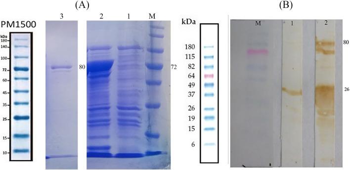
The aim of current study was to construct, express, purify and immunogenicity evaluate of a novel recombinant fusion protein including Pyruvate dehydrogenase beta subunit (PDHB) and high antigenic region of lipoprotein P80 of Mycoplasma agalactiae. Using bioinformatics tools, antigenicity and physiochemical properties of fused protein were assessed.

MATERIAL AND METHODS

The recombinant fusion protein of GST-PDHB-P80 were expressed in pGEX4T-1 and purified then verified by Western blot assay. The purified protein was successfully used for immunization of mice. 30 female BALB/c mice were divided into three groups (10 mice per each group) injected with GST-PDHB-P80, inactivated bacteria vaccine and PBS as negative control, separately.

RESULTS

Western blot analysis confirmed the interaction between the immunized mice serum and the blotted recombinant protein GST-PDHB-P80, demonstrating the immunogenicity of this protein. Moreover, the sera of vaccinated mice with inactivated bacteria vaccine, containing whole cell proteins, detected the recombinant protein GST-PDHB-P80 confirming the antigenicity of PDHB-P80. Negative control displayed no reactivity with GST-PDHB-P80.

CONCLUSION

We proposed a novel designed chimeric protein of Mycoplasma agalactiae as a potential marker for serodiagnostic assays but still further field research is required.

摘要

背景

本研究旨在构建、表达、纯化并评价一种新型重组融合蛋白,该融合蛋白包含丙酮酸脱氢酶β亚基(PDHB)和牛支原体脂蛋白 P80 的高抗原区域。利用生物信息学工具评估融合蛋白的抗原性和理化性质。

材料和方法

在 pGEX4T-1 中表达 GST-PDHB-P80 重组融合蛋白,并通过 Western blot 分析进行验证。成功将纯化的蛋白用于免疫小鼠。30 只雌性 BALB/c 小鼠分为三组(每组 10 只),分别注射 GST-PDHB-P80、灭活菌疫苗和 PBS 作为阴性对照。

结果

Western blot 分析证实了免疫小鼠血清与印迹重组蛋白 GST-PDHB-P80 之间的相互作用,表明该蛋白具有免疫原性。此外,含有全细胞蛋白的灭活菌疫苗免疫小鼠的血清检测到重组蛋白 GST-PDHB-P80,证实了 PDHB-P80 的抗原性。阴性对照与 GST-PDHB-P80 没有反应。

结论

我们提出了一种新型牛支原体嵌合蛋白,可作为血清学诊断检测的潜在标志物,但仍需要进一步的现场研究。

https://cdn.ncbi.nlm.nih.gov/pmc/blobs/ac7e/9798644/83427e205e01/12917_2022_3558_Fig1_HTML.jpg

相似文献

1
A novel fusion protein candidate for the serodiagnosis of Mycoplasma agalactiae infection.
BMC Vet Res. 2022 Dec 29;18(1):456. doi: 10.1186/s12917-022-03558-0.
2
A novel chimeric recombinant protein PDHB-P80 of as a potential diagnostic tool.
Mol Biol Res Commun. 2020 Sep;9(3):123-128. doi: 10.22099/mbrc.2020.37684.1513.
4
Novel antigenic proteins of Mycoplasma agalactiae as potential vaccine and serodiagnostic candidates.
Vet Microbiol. 2020 Dec;251:108866. doi: 10.1016/j.vetmic.2020.108866. Epub 2020 Sep 30.
6
Production of a chimeric protein and its potential application in sero-diagnosis of Mycoplasma hominis infection.
J Microbiol Methods. 2018 Jan;144:186-191. doi: 10.1016/j.mimet.2017.12.001. Epub 2017 Dec 5.
7
Synthesis of Recombinant P48 of Mycoplasma agalactiae by Site Directed Mutagenesis and its Immunological Characterization.
Anim Biotechnol. 2017 Jan 2;28(1):11-17. doi: 10.1080/10495398.2016.1189926. Epub 2016 Jul 6.
9
Characterization of Mycoplasma gallisepticum pyruvate dehydrogenase alpha and beta subunits and their roles in cytoadherence.
PLoS One. 2018 Dec 10;13(12):e0208745. doi: 10.1371/journal.pone.0208745. eCollection 2018.

本文引用的文献

1
Identification of conserved Mycoplasma agalactiae surface antigens by immunoproteomics.
Vet Immunol Immunopathol. 2021 Jun;236:110239. doi: 10.1016/j.vetimm.2021.110239. Epub 2021 Apr 7.
2
A novel chimeric recombinant protein PDHB-P80 of as a potential diagnostic tool.
Mol Biol Res Commun. 2020 Sep;9(3):123-128. doi: 10.22099/mbrc.2020.37684.1513.
3
Novel antigenic proteins of Mycoplasma agalactiae as potential vaccine and serodiagnostic candidates.
Vet Microbiol. 2020 Dec;251:108866. doi: 10.1016/j.vetmic.2020.108866. Epub 2020 Sep 30.
5
Characterization of Mycoplasma gallisepticum pyruvate dehydrogenase alpha and beta subunits and their roles in cytoadherence.
PLoS One. 2018 Dec 10;13(12):e0208745. doi: 10.1371/journal.pone.0208745. eCollection 2018.
6
Fundamentals and Methods for T- and B-Cell Epitope Prediction.
J Immunol Res. 2017;2017:2680160. doi: 10.1155/2017/2680160. Epub 2017 Dec 28.
7
Protein-Sol: a web tool for predicting protein solubility from sequence.
Bioinformatics. 2017 Oct 1;33(19):3098-3100. doi: 10.1093/bioinformatics/btx345.
9
Synthesis of Recombinant P48 of Mycoplasma agalactiae by Site Directed Mutagenesis and its Immunological Characterization.
Anim Biotechnol. 2017 Jan 2;28(1):11-17. doi: 10.1080/10495398.2016.1189926. Epub 2016 Jul 6.
10
Purification of GST-Tagged Proteins.
Methods Enzymol. 2015;559:127-39. doi: 10.1016/bs.mie.2014.11.005. Epub 2015 May 16.

文献AI研究员

20分钟写一篇综述,助力文献阅读效率提升50倍。

立即体验

用中文搜PubMed

大模型驱动的PubMed中文搜索引擎

马上搜索

文档翻译

学术文献翻译模型,支持多种主流文档格式。

立即体验