Suppr超能文献

A Case of Giant Basal Cell Carcinoma of the Ear Complicated by Primary Cutaneous Aspergillosis.

作者信息

Yao Yabo, Li Tianhao, Huang Yuanen, Cheng Hongbin

机构信息

Department of Dermatology, Hospital of Chengdu University of Traditional Chinese Medicine, Chengdu, People's Republic of China.

出版信息

Clin Cosmet Investig Dermatol. 2022 Dec 23;15:2841-2844. doi: 10.2147/CCID.S392871. eCollection 2022.

Abstract

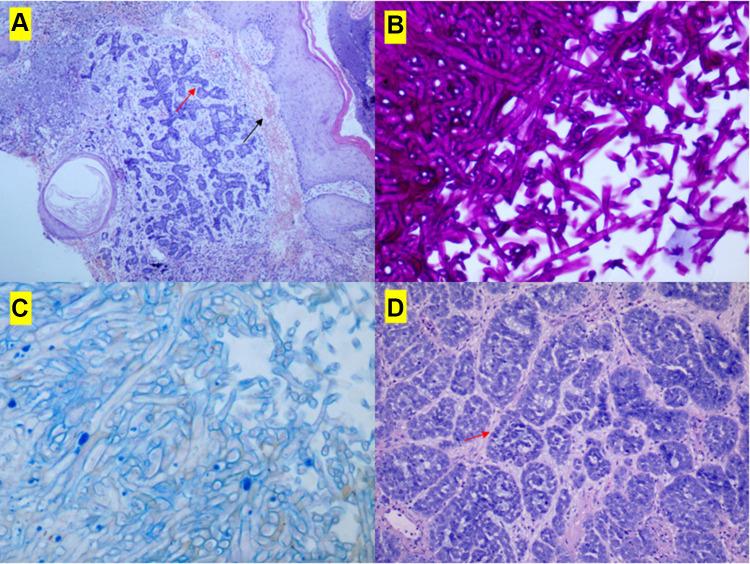
A 78-year-old female patient with right ear agenesis presented with a skin manifestation of approximately 7 cm × 8 cm deep-invasive ulcer with well-defined borders and a small amount of yellow purulent discharge visible at the base, surrounded by pearl-like margins in a dyke-like elevation, covered with a small amount of necrotic tissue and black crust. The disease lasted for more than 20 years and was diagnosed as giant basal cell carcinoma complicated by primary cutaneous aspergillosis after two histopathological examinations of the skin lesions. There are similarities in the clinical manifestations of these two diseases, which need to be differentiated, and the simultaneous complications are infrequent. It has not been reported.

摘要
https://cdn.ncbi.nlm.nih.gov/pmc/blobs/7093/9793728/0ec9ffcb2cc9/CCID-15-2841-g0001.jpg

文献AI研究员

20分钟写一篇综述,助力文献阅读效率提升50倍。

立即体验

用中文搜PubMed

大模型驱动的PubMed中文搜索引擎

马上搜索

文档翻译

学术文献翻译模型,支持多种主流文档格式。

立即体验