Suppr超能文献

跟骨软骨肉瘤保肢手术:一例报告。

Limb salvage surgery for calcaneal chondrosarcoma: A case report.

机构信息

Department of Orthopaedics, The 960th Hospital of Chinese People's Liberation Army, Jinan, China.

出版信息

Medicine (Baltimore). 2022 Dec 23;101(51):e31578. doi: 10.1097/MD.0000000000031578.

Abstract

BACKGROUND

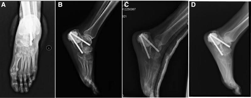
Limb salvage surgery for calcaneal sarcomas remains challenging due to its poor compartmentalization. While below-knee amputation is still the standard choice of operative treatment, total calcanectomy with or without reconstruction was advocated. This report aims to analyze the clinical outcome of calcaneal reconstruction with cement and replantation in situ after the inactivation of tumor.

METHODS

We describe a 73-year-old male patient who suffered chronic pain and increasingly larger neoplasm in the left foot for about 3 years. Based on the results of percutaneous biopsy, a diagnosis of chondrosarcoma was made.

RESULTS

The patient underwent total calcanectomy, inactivation of calcaneus tumor, and reconstruction with cement. The Achilles tendon was detached through a Cincinnati incision. No adverse events occurred both during and after the surgery. At the last follow-up of 29 months, the patient claimed no pain, no evident limp, or any limitation of daily activities. Image examination, weight-bearing test, and MSTS score revealed a satisfactory result.

CONCLUSION

Calcaneal reconstruction with bone cement after total calcanectomy, inactivation of calcaneus tumor, and replantation in situ is likely to provide a feasible surgical choice and a satisfactory clinical outcome.

摘要

背景

由于跟骨解剖结构复杂,跟骨肉瘤的保肢手术仍然具有挑战性。尽管膝关节以下截肢仍然是手术治疗的标准选择,但全跟骨切除加或不加重建也被提倡。本报告旨在分析肿瘤灭活后采用骨水泥原位再植进行跟骨重建的临床结果。

方法

我们描述了一位 73 岁男性患者,他的左足有慢性疼痛且肿瘤逐渐增大约 3 年。根据经皮活检的结果,诊断为软骨肉瘤。

结果

患者接受了全跟骨切除术、跟骨肿瘤灭活和骨水泥重建。通过辛辛那提切口游离跟腱。手术中和手术后均未发生不良事件。在最后一次随访的 29 个月时,患者自述无疼痛、无明显跛行或任何日常活动受限。影像学检查、负重试验和 MSTS 评分显示结果满意。

结论

全跟骨切除、跟骨肿瘤灭活后采用骨水泥原位再植进行跟骨重建可能提供一种可行的手术选择和满意的临床结果。

https://cdn.ncbi.nlm.nih.gov/pmc/blobs/e430/9794288/b5dab64fa271/medi-101-e31578-g001.jpg

文献AI研究员

20分钟写一篇综述,助力文献阅读效率提升50倍。

立即体验

用中文搜PubMed

大模型驱动的PubMed中文搜索引擎

马上搜索

文档翻译

学术文献翻译模型,支持多种主流文档格式。

立即体验