Laboratory of Medicinal Chemistry (CSIC Associated Unit), Faculty of Pharmacy and Food Sciences, and Institute of Biomedicine (IBUB), University of Barcelona, Barcelona 08028, Spain.
University of Nebraska Medical Center, Omaha, Nebraska 68198, United States.
Chem Res Toxicol. 2023 Jan 16;36(1):112-121. doi: 10.1021/acs.chemrestox.2c00333. Epub 2023 Jan 4.
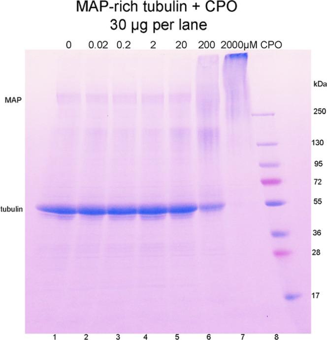
Chronic low-dose exposure to organophosphorus (OP) toxicants is correlated with an increase in the risk of impaired cognition and neurodegenerative diseases. A mechanism to explain this relationship is needed. We suggest that the formation of organophosphate-induced high-molecular-weight protein aggregates that disrupt cell function may be the missing link. It has been demonstrated that such aggregation can be promoted by OP-labeled lysine. Alternatively, OP-labeled glutamate may be the initiator. To test this hypothesis, we treated MAP-rich tubulin and human transglutaminase with chlorpyrifos oxon. Trypsin-digested proteins were subjected to liquid chromatography-tandem mass spectrometry followed by Protein Prospector searches to identify diethyl phosphate adducts and cross-linked peptides. We report the presence of diethyl phosphate adducts on the side chains of glutamate, lysine, and tyrosine, as well as cross-links between glutamate and lysine. Glutamate-lysine cross-linking could be initiated either by diethyl phosphate-activated glutamate or by diethyl phosphate-activated lysine to form stable isopeptide bonds between and within proteins. It was concluded that organophosphate-induced high-molecular-weight protein aggregates could promote brain dysfunction.
慢性低剂量接触有机磷(OP)毒物与认知障碍和神经退行性疾病风险增加有关。需要一个解释这种关系的机制。我们认为,破坏细胞功能的有机磷诱导的高分子量蛋白聚集体的形成可能是缺失的环节。已经证明,这种聚集可以被 OP 标记的赖氨酸促进。或者,OP 标记的谷氨酸可能是引发剂。为了验证这一假设,我们用毒死蜱氧处理富含 MAP 的微管蛋白和人转谷氨酰胺酶。用胰蛋白酶消化蛋白质,然后进行液相色谱-串联质谱分析,并通过 Protein Prospector 搜索来鉴定磷酸二乙酯加合物和交联肽。我们报告了谷氨酸、赖氨酸和酪氨酸侧链上存在磷酸二乙酯加合物,以及谷氨酸和赖氨酸之间的交联。谷氨酸-赖氨酸交联可以通过磷酸二乙酯激活的谷氨酸或磷酸二乙酯激活的赖氨酸引发,在蛋白质之间和内部形成稳定的异肽键。结论是,有机磷诱导的高分子量蛋白聚集体可能会促进大脑功能障碍。