Suppr超能文献

一名多小脑回患者在立体定向脑电图引导下进行射频热凝术后临床症状恶化的病例。

A case of clinical worsening after stereo-electroencephalographic-guided radiofrequency thermocoagulation in a patient with polymicrogyria.

作者信息

Ferri Lorenzo, Mai Roberto, di Vito Lidia, Menghi Veronica, Martinoni Matteo, D'Orio Piergiorgio, Licchetta Laura, Muccioli Lorenzo, Stipa Carlotta, Tinuper Paolo, Bisulli Francesca

机构信息

Department of Biomedical and Neuromotor Sciences, University of Bologna, Bologna, Italy.

Epilepsy Surgery Centre, Niguarda Hospital, Milan, Italy.

出版信息

Epilepsy Behav Rep. 2022 Dec 19;21:100579. doi: 10.1016/j.ebr.2022.100579. eCollection 2023.

Abstract

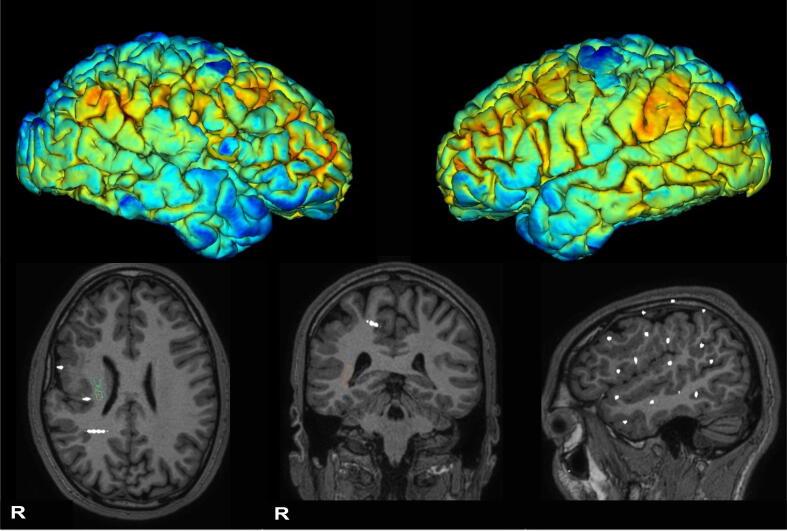
Radiofrequency thermocoagulation (RF-TC) is a wide-used procedure for drug-resistant epilepsy. The technique is considered safe with an overall risk of 1.1% of permanent complications, mainly focal neurological deficits. We report the case of a patient with drug-resistant epilepsy who complained of immediate seizure worsening and an unexpected event seven months following RF-TC. A 35-year-old male with drug-resistant epilepsy from the age of 18 years underwent stereoelectroencephalography (SEEG) implantation for a right peri-silvian polymicrogyria. He was excluded from surgery due to extent of the epileptogenic zone and the risk of visual field deficits. RF-TC was attempted to ablate the most epileptogenic zone identified by SEEG. After RF-TC, the patient reported an increase in seizure severity/frequency and experienced episodes of postictal psychosis. Off-label cannabidiol treatment led to improved seizure control and resolution of postictal psychosis. Patients with polymicrogyria (PwP) may present with a disruption of normal anatomy and the co-existence between epileptogenic zone and eloquent cortex within the malformation. RF-TC should be considered in PwP when they are excluded from surgery for prognostic and palliative purposes. However, given the complex interplay between pathological and electrophysiological networks in these patients, the remote possibility of clinical exacerbation after RF-TC should also be taken into account.

摘要

射频热凝术(RF-TC)是一种广泛应用于耐药性癫痫的治疗方法。该技术被认为是安全的,永久性并发症的总体风险为1.1%,主要是局灶性神经功能缺损。我们报告了一例耐药性癫痫患者的病例,该患者在RF-TC治疗七个月后出现癫痫发作立即恶化以及一个意外事件。一名35岁男性,自18岁起患有耐药性癫痫,因右侧颞叶周围多小脑回畸形接受了立体定向脑电图(SEEG)植入术。由于致痫区范围和视野缺损风险,他被排除在手术之外。尝试通过RF-TC消融SEEG确定的最致痫区。RF-TC治疗后,患者报告癫痫发作严重程度/频率增加,并出现发作后精神病发作。超说明书使用大麻二酚治疗使癫痫得到更好的控制,并解决了发作后精神病。多小脑回畸形患者(PwP)可能存在正常解剖结构破坏,且畸形内致痫区与功能区皮质并存。当PwP因预后和姑息目的被排除在手术之外时,应考虑RF-TC治疗。然而,鉴于这些患者病理和电生理网络之间复杂的相互作用,也应考虑RF-TC治疗后临床症状加重的可能性。

https://cdn.ncbi.nlm.nih.gov/pmc/blobs/73a5/9813673/b2156d542fc2/gr1.jpg

文献AI研究员

20分钟写一篇综述,助力文献阅读效率提升50倍。

立即体验

用中文搜PubMed

大模型驱动的PubMed中文搜索引擎

马上搜索

文档翻译

学术文献翻译模型,支持多种主流文档格式。

立即体验