Pal Muneesh, Chaubey Divya, Tanwar Mohit, Pillai Beena
CSIR-Institute of Genomics and Integrative Biology, Delhi 110025, India.
Academy of Scientific and Innovative Research (AcSIR), Ghaziabad 201002, India.
Noncoding RNA. 2023 Jan 13;9(1):7. doi: 10.3390/ncrna9010007.
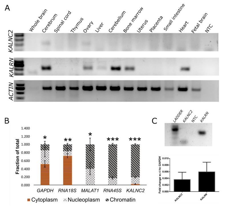
The gene encodes several multi-domain protein isoforms that localize to neuronal synapses, conferring the ability to grow and retract dendritic spines and shaping axonal outgrowth, dendrite morphology, and dendritic spine re-modeling. The genomic locus is implicated in several neurodevelopmental and neuropsychiatric diseases, including autism, schizophrenia, bipolar disease, and intellectual disability. We have previously shown that a novel brain-specific long non-coding RNA (lncRNA) arising from the 5' end of the gene, called , regulates neuronal morphology in zebrafish. Here, we characterized mammalian loci, annotating and experimentally validating multiple novel non-coding RNAs, including linear and circular variants. Comparing the mouse and human loci, we show that certain non-coding RNAs and protein-coding isoforms arising from the locus show similar expression dynamics during development. In humans, mice, and zebrafish, the 5' end of the locus gives rise to a chromatin-associated lncRNA that is present in adult ovaries, besides being expressed during brain development and enriched in certain regions of the adult brain. Ectopic expression of this lncRNA led to the downregulation of all the major mRNA isoforms. We propose that this lncRNA arising from the 5' end of the locus is functionally the mammalian ortholog of zebrafish lncRNA .
该基因编码几种多结构域蛋白异构体,这些异构体定位于神经元突触,赋予生长和回缩树突棘的能力,并塑造轴突生长、树突形态和树突棘重塑。该基因组位点与多种神经发育和神经精神疾病有关,包括自闭症、精神分裂症、双相情感障碍和智力残疾。我们之前已经表明,一种源自该基因5'端的新型脑特异性长链非编码RNA(lncRNA),称为,调节斑马鱼的神经元形态。在这里,我们对哺乳动物的位点进行了表征,注释并实验验证了多种新型非编码RNA,包括线性和环状变体。比较小鼠和人类的位点,我们发现源自该位点的某些非编码RNA和蛋白质编码异构体在发育过程中表现出相似的表达动态。在人类、小鼠和斑马鱼中,该位点的5'端除了在脑发育过程中表达并在成年大脑的某些区域富集外,还产生一种与染色质相关的lncRNA,该lncRNA存在于成年卵巢中。这种lncRNA的异位表达导致所有主要的mRNA异构体下调。我们提出,源自该位点5'端的这种lncRNA在功能上是斑马鱼lncRNA的哺乳动物直系同源物。