Suppr超能文献

一名年轻女性转子下股骨骨折合并莫雷尔-拉瓦利损伤,导致广泛软组织坏死和肥大性骨不连,采用分期手术和交锁髓内钉治疗:一种罕见的损伤模式及文献综述

Morel-Lavallee Lesion Associated with Subtrochanteric Femur Fracture in a Young Female Resulting in Extensive Soft-Tissue Necrosis and Hypertrophic Non-union Managed with Staged Surgeries and Exchange Nailing: A Rare Injury Pattern and Review of Literature.

作者信息

Mahajan Neetin P, Kondewar Pranay, Gadod Lalkar, Kamble Mayur, Gund Akshay

机构信息

Department of Orthopaedics, Grant Government Medical College Mumbai Campus J J Hospital, Mumbai, Maharashtra, India.

出版信息

J Orthop Case Rep. 2022 Jul;12(7):47-50. doi: 10.13107/jocr.2022.v12.i07.2912.

Abstract

INTRODUCTION

Morel-Lavallee lesion is a closed degloving soft-tissue injury which occurs as a result of acute traumatic separation of skin and subcutaneous tissue from the underlying fascia and muscle layer. The most common sites include thigh (peritrochanteric region), abdomen, scapula, and paraspinal area. Early diagnosis and management of the lesion is essential so as to prevent complications such as infections or extensive skin necrosis. The management options include conservative or operative depends on extent, location of lesion, and duration since injury. For the management of underlying fracture, one should take into the consideration, the soft tissue compromises which can occur if lesion is large at presentation and plan accordingly for either primary definitive fixation or staged surgeries as necessary.

CASE REPORT

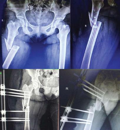
A 25-year-old female patient presented with pain and swelling over the anterolateral aspect of the right thigh after a traumatic road traffic accident 2 days back. On radiological investigation, there was subtrochanteric femur fracture with a butterfly fragment. The patient also had Morel-Lavallee lesion on local ultrasound. Emergency management was done for Morel-Lavallee lesion in the form of percutaneous drainage and compression bandage; fixation was done in the form of external fixator. The wound progressed into complete skin necrosis so external fixator was removed and thorough wound debridement was done. Fracture stabilized with four TENS nails (titanium elastic nail). Removal of the TENS nail and exchange nailing in the form of intramedullary interlocking nail was performed after complete soft-tissue healing. Bony union seen at the fracture site clinically and radiologically at 3-month follow-up.

CONCLUSION

Initial screening of lesion is very important at time of presentation. Early definitive fixation should not be done if the lesion is large and one should fix the bone once the lesion is resolved.

摘要

引言

莫雷尔-拉瓦利损伤是一种闭合性脱套性软组织损伤,是由于皮肤和皮下组织与深层筋膜和肌肉层急性创伤性分离所致。最常见的部位包括大腿(转子周围区域)、腹部、肩胛骨和脊柱旁区域。早期诊断和处理该损伤至关重要,以预防感染或广泛皮肤坏死等并发症。处理方法包括保守治疗或手术治疗,这取决于损伤的程度、位置以及受伤后的时间。对于潜在骨折的处理,应考虑到如果损伤在就诊时较大可能出现的软组织损伤情况,并根据需要相应地计划一期确定性固定或分期手术。

病例报告

一名25岁女性患者在2天前发生道路交通事故后,出现右大腿前外侧疼痛和肿胀。经影像学检查,发现股骨转子下骨折并伴有蝶形骨块。患者在局部超声检查中还发现有莫雷尔-拉瓦利损伤。对莫雷尔-拉瓦利损伤进行了急诊处理,采用经皮引流和加压包扎;以外部固定器的形式进行固定。伤口发展为完全皮肤坏死,因此拆除了外部固定器并进行了彻底的伤口清创。用四根TENS钉(钛弹性钉)使骨折稳定。在软组织完全愈合后,取出TENS钉并以髓内交锁钉的形式进行更换钉。在3个月的随访中,骨折部位在临床和影像学上均可见骨愈合。

结论

在就诊时对损伤进行初步筛查非常重要。如果损伤较大,不应早期进行确定性固定,而应在损伤解决后再固定骨骼。

https://cdn.ncbi.nlm.nih.gov/pmc/blobs/3b57/9826685/5a38d6b687ca/JOCR-12-47-g001.jpg

文献检索

告别复杂PubMed语法,用中文像聊天一样搜索,搜遍4000万医学文献。AI智能推荐,让科研检索更轻松。

立即免费搜索

文件翻译

保留排版,准确专业,支持PDF/Word/PPT等文件格式,支持 12+语言互译。

免费翻译文档

深度研究

AI帮你快速写综述,25分钟生成高质量综述,智能提取关键信息,辅助科研写作。

立即免费体验