Naser Zachary J, Aukerman William, Tretter James, Morrissey Shawna
Department of Surgery, Duke Lifepoint Conemaugh Memorial Medical Center, Johnstown, PA 15905, United States of America.
Trauma Case Rep. 2023 Jan 3;43:100753. doi: 10.1016/j.tcr.2023.100753. eCollection 2023 Feb.
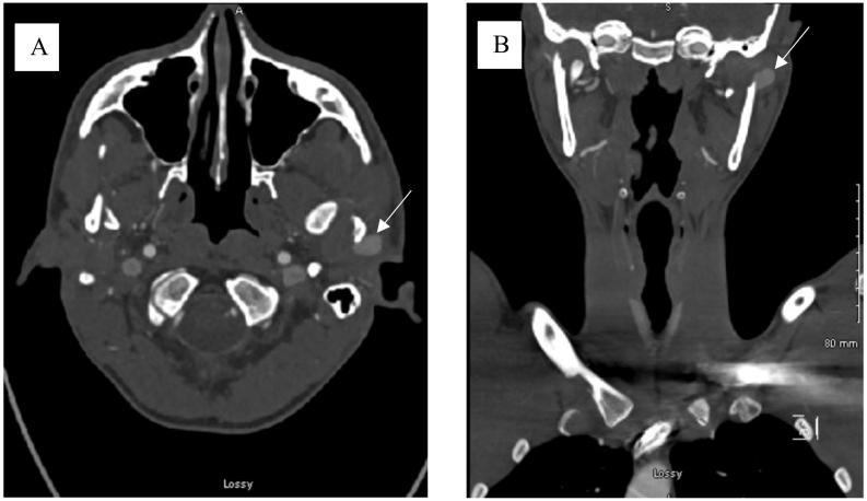
A traumatic pseudoaneurysm of the superficial temporal artery is a rare vascular lesion that typically occurs after blunt trauma to the temporal region. It accounts for only 1% of all traumatic aneurysms. These pseudoaneurysms need to be appropriately diagnosed and treated without delay as the patient can experience resulting symptoms of severe headache, facial nerve palsy, arterial bleeding, and/or bone erosion. Diagnosis can typically be made with history of trauma along with physical examination followed by confirmation with ultrasound or computer tomography angiogram. The treatment of choice is ligation and resection. We present a case of a 20-year-old male with identified pseudoaneurysm following facial trauma and mandibular fracture repair treated with multiple trials of sclerotherapy. In addition, this report will review additional management options and diagnosis techniques for superficial temporal artery (STA) pseudoaneurysms.