Xiong Yongfu, He Pan, Zhang Yang, Chen Hu, Peng Yisheng, He Peng, Tian Jie, Cheng Hongwei, Liu Gang, Li Jingdong
Department of Hepatobiliary Surgery, Academician (Expert) Workstation, Affiliated Hospital of North Sichuan Medical College, Nanchong 637600, China.
State Key Laboratory of Molecular Vaccinology and Molecular Diagnostics, Center for Molecular Imaging and Translational Medicine, School of Public Health, Xiamen University, Xiamen 361102, China.
Regen Biomater. 2022 Dec 16;10:rbac106. doi: 10.1093/rb/rbac106. eCollection 2023.
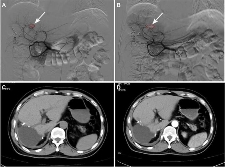
The most common treatment of spontaneous tumor rupture hemorrhage (STRH) is transcatheter arterial embolization (TAE) followed by liver resection, and surgical navigation using near-infrared fluorescence is effective method for detecting hidden lesions and ill-defined tumor boundaries. However, due to the blockage of the tumor-supplying artery after effective TAE treatment, it is difficult to deliver sufficient fluorescent probes to the tumor region. In this study, we report on the successful application of superstable homogeneous intermixed formulation technology (SHIFT) in precise conversion hepatectomy for ruptured hepatocellular carcinoma (HCC). A homogeneous lipiodol-ICG formulation obtained by SHIFT (SHIFT-ICG) was developed for clinical practice for STRH. A ruptured HCC patient received the combined protocol for embolization and fluorescence surgical navigation and exhibited excellent hemostatic effect. Lipiodol and ICG were both effectively deposited in the primary lesion, including a small metastatic lesion. In follow-up laparoscopic hepatectomy, SHIFT-ICG could clearly and precisely image the full tumor regions and boundaries in real time, and even indistinguishable satellite lesions still expressed a remarkable fluorescence intensity. In conclusion, the simple and green SHIFT-ICG formulation can be effectively used in emergency embolization hemostasis and later precise fluorescence navigation hepatectomy in patients with ruptured HCC bleeding and has high clinical application value.
自发性肿瘤破裂出血(STRH)最常见的治疗方法是经导管动脉栓塞术(TAE),随后进行肝切除术,而使用近红外荧光的手术导航是检测隐匿性病变和边界不清的肿瘤边界的有效方法。然而,由于有效的TAE治疗后肿瘤供血动脉被阻断,难以将足够的荧光探针输送到肿瘤区域。在本研究中,我们报告了超稳定均匀混合制剂技术(SHIFT)在破裂肝细胞癌(HCC)精准转化肝切除术中的成功应用。通过SHIFT获得的均匀碘油-吲哚菁绿制剂(SHIFT-ICG)被开发用于STRH的临床实践。一名破裂HCC患者接受了栓塞和荧光手术导航联合方案,显示出优异的止血效果。碘油和吲哚菁绿均有效沉积在原发性病变中,包括一个小转移灶。在后续的腹腔镜肝切除术中,SHIFT-ICG能够实时清晰、精确地成像整个肿瘤区域和边界,甚至难以区分的卫星病灶仍表现出显著的荧光强度。总之,简单且绿色的SHIFT-ICG制剂可有效用于破裂HCC出血患者的急诊栓塞止血及后续精准荧光导航肝切除术,具有较高的临床应用价值。