Suppr超能文献

可能起源于卵巢囊腺纤维瘤的子宫颈苗勒管腺肉瘤:一例报告并文献复习

Uterine cervical Müllerian adenosarcoma possibly arising from ovarian cystadenofibroma: A case report and review of the literature.

作者信息

Zhu Xinxin, Peng Chao, Huang Yan, Zhou Yingfang

机构信息

Department of Obstetrics and Gynecology, Peking University First Hospital, Beijing, China.

Department of Obstetrics and Gynecology, Peking University First Hospital Ningxia Women and Children's Hospital (Ningxia Hui Autonomous Region Maternal and Child Health Hospital), Yinchuan, China.

出版信息

Front Oncol. 2023 Jan 4;12:1064851. doi: 10.3389/fonc.2022.1064851. eCollection 2022.

Abstract

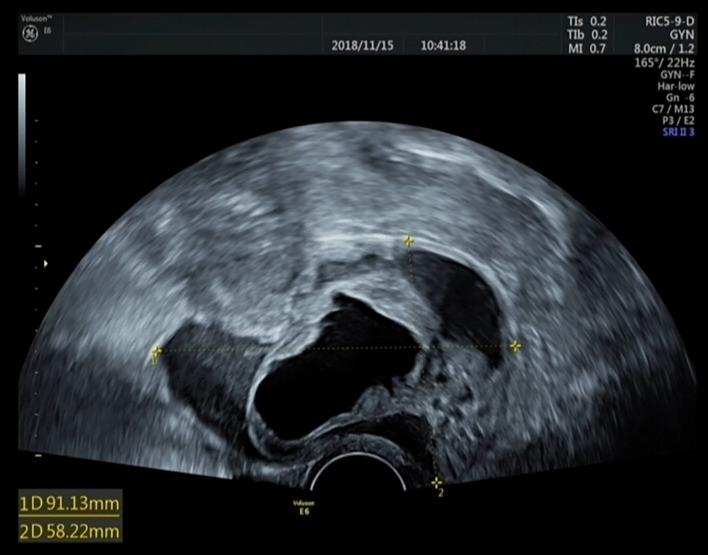
Uterine cervical Müllerian adenosarcoma (MA), a rare malignant tumor of the female reproductive organs, is composed of a benign epithelium and a low-grade malignant stromal component. Because few studies have investigated the clinical management of MA, misdiagnosis often occur. Therefore, we proposed an optimal course of clinical management for patients with MA. MA is possibly a malignant transformation of the cystadenofibroma. In this study, we present a case of a 46-year-old woman who presented with symptoms of MA of the uterine cervix, such as metrorrhagia and a cyst in the cervical canals, after transvaginal excision of the left ovarian mucinous cystadenofibroma.

摘要

子宫颈苗勒管腺肉瘤(MA)是一种罕见的女性生殖器官恶性肿瘤,由良性上皮和低级别恶性间质成分组成。由于很少有研究探讨MA的临床管理,因此误诊经常发生。因此,我们提出了MA患者的最佳临床管理方案。MA可能是囊腺纤维瘤的恶性转化。在本研究中,我们报告了一例46岁女性病例,该患者在经阴道切除左侧卵巢黏液性囊腺纤维瘤后,出现了子宫颈MA的症状,如子宫出血和宫颈管囊肿。

https://cdn.ncbi.nlm.nih.gov/pmc/blobs/c158/9846607/07c728740c7e/fonc-12-1064851-g001.jpg

文献AI研究员

20分钟写一篇综述,助力文献阅读效率提升50倍。

立即体验

用中文搜PubMed

大模型驱动的PubMed中文搜索引擎

马上搜索

文档翻译

学术文献翻译模型,支持多种主流文档格式。

立即体验