Suppr超能文献

复合性背根神经节:一种罕见的结核病伪装表现。

Compound Dorsal Ganglion: A Rare Masquerade of Tuberculosis.

作者信息

Mukkamalla Sai Kumar Reddy, Vijitha B, Reddy M Divya Prasad, Rao H Umanatha

机构信息

Department of Orthopedics, Viswabharathi Medical College and Hospital, Kurnool, Andhra Pradesh, India.

出版信息

J Orthop Case Rep. 2022 Aug;12(8):106-109. doi: 10.13107/jocr.2022.v12.i08.2986.

Abstract

INTRODUCTION

Compound dorsal ganglion of tubercular etiology involving the dorsum aspect of wrist is a rare entity. It is very rarely seen lately, due to early diagnosis and effective treatment regimen and this case is probably the first to be reported involving the dorsum aspect of wrist.

CASE REPORT

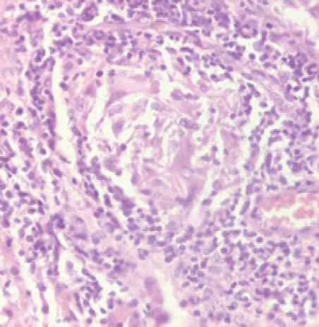
This case report presents a 54-year-old male patient presented to us complaints of swelling and pain in dorsum of hand and wrist for 6 months. On examination, we found multiple swellings on Rt. dorsum of hand and dorsal aspect of wrist restriction of movements at wrist. After thorough clinical and radiological evaluation, patient has been posted for excision biopsy and confirmed as compound dorsal ganglion.

CONCLUSION

Compound dorsal ganglion is a disease with great diagnostic challenge due to its masquerade clinical presentation and confirmed by histopathological examination. Early diagnosis, complete debulking, and antitubercular therapy prevent further spread of disease and improves the patient functionally.

摘要

引言

结核病因导致的累及腕背部的复合性腱鞘囊肿是一种罕见的病症。由于早期诊断和有效的治疗方案,近年来已很少见,而该病例可能是首例报道的累及腕背部的病例。

病例报告

本病例报告介绍了一名54岁男性患者,因手部和腕背部肿胀疼痛6个月前来就诊。检查时,我们发现右手背和腕背部有多个肿胀,腕部活动受限。经过全面的临床和放射学评估,患者接受了切除活检,确诊为复合性腱鞘囊肿。

结论

复合性腱鞘囊肿因其伪装的临床表现而具有很大的诊断挑战性,需通过组织病理学检查确诊。早期诊断、彻底切除病灶和抗结核治疗可防止疾病进一步扩散,并改善患者的功能。

https://cdn.ncbi.nlm.nih.gov/pmc/blobs/281e/9831236/bcce43565638/JOCR-12-106-g001.jpg

文献检索

告别复杂PubMed语法,用中文像聊天一样搜索,搜遍4000万医学文献。AI智能推荐,让科研检索更轻松。

立即免费搜索

文件翻译

保留排版,准确专业,支持PDF/Word/PPT等文件格式,支持 12+语言互译。

免费翻译文档

深度研究

AI帮你快速写综述,25分钟生成高质量综述,智能提取关键信息,辅助科研写作。

立即免费体验