Academic Radiology Unit, Department of Surgical, Medical and Molecular Pathology and Critical Area, University of Pisa, Via Savi, 10, 56126, Pisa, Italy.
University of Trieste, Trieste, Italy.
Eur Radiol. 2023 Jul;33(7):4621-4636. doi: 10.1007/s00330-023-09400-x. Epub 2023 Jan 24.
The prognostic role of left ventricular (LV) papillary muscle abnormalities in patients with preserved LV systolic ejection fraction (LVEF) is unknown. We sought to evaluate the prognosis role of LV papillary muscle abnormalities by CMR in patients with ventricular arrhythmias, preserved LVEF with no cardiac disease.
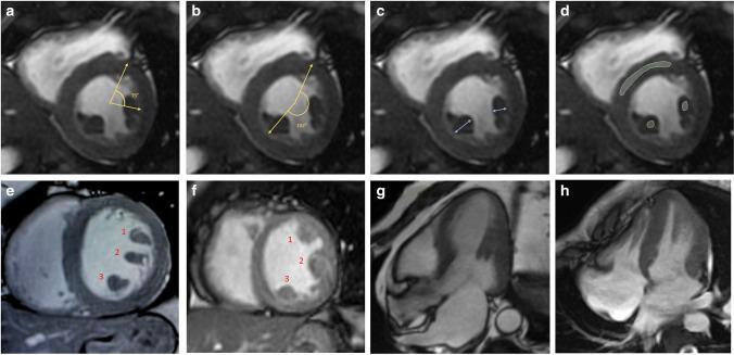
A total of 391 patients with > 500/24 h premature ventricular complexes and/or with non-sustained ventricular tachycardia (NSVT), preserved LVEF, and no cardiac disease were enrolled. Different features of LV papillary muscles were considered: supernumerary muscles, papillary thickness, the attachment, late gadolinium enhancement (LGE). Dark-Paps was defined as end-systolic signal hypointensity of both papillary muscles in early post-contrast cine CMR images. Mitral valve prolapse, mitral annular disjunction (MAD), and myocardial LGE were considered.
Dark-Paps was found in 79 (20%) patients and was more frequent in females. It was associated with higher prevalence of mitral valve prolapse and MAD. During a median follow-up of 2534 days, 22 hard cardiac events occurred. At Kaplan-Meier curve analysis, patients with Dark-Paps were at higher risk of events than those without (p < 0.0001). Dark-Paps was significantly associated with hard cardiac events in all the multivariate models. Dark-Paps improved prognostic estimation when added to NSVT (p = 0.0006), to LGE (p = 0.005) and to a model including NSVT+LGE (p = 0.014). Dark-Paps allowed a significant net reclassification when added to NSVT (NRI 0.30, p = 0.03), to LGE (NRI 0.25, p = 0.04), and to NSVT + LGE (NRI 0.32, p = 0.02).
In LV papillary muscles, Dark-Paps is a novel prognostic marker in patients with ventricular arrhythmias and preserved ejection fraction.
• Papillary muscle abnormalities are seen in patients with ventricular arrhythmias and preserved left ventricular ejection fraction. • Early post-contrast hypointensity of papillary muscles in end-systolic cine images (Dark-Paps) is a novel prognostic marker in patients with ventricular arrhythmias and preserved ejection fraction. • Dark-Paps had an additive prognostic role over late gadolinium enhancement and non-sustained ventricular tachycardia.
左心室(LV)乳头肌异常在射血分数保留(LVEF)的患者中的预后作用尚不清楚。我们试图通过心脏磁共振(CMR)评估 LV 乳头肌异常在伴有室性心律失常、无心脏疾病且 LVEF 保留的患者中的预后作用。
共纳入 391 例频发室性早搏(> 500/24 h)或非持续性室性心动过速(NSVT)、LVEF 保留且无心脏疾病的患者。考虑了 LV 乳头肌的不同特征:额外肌肉、乳头肌厚度、附着、晚期钆增强(LGE)。黑乳头肌是指对比增强后早期电影 CMR 图像中收缩末期双侧乳头肌的信号低强度。还考虑了二尖瓣脱垂、二尖瓣瓣环分离(MAD)和心肌 LGE。
79 例(20%)患者存在黑乳头肌,女性更为常见。它与更高的二尖瓣脱垂和 MAD 发生率相关。在中位随访 2534 天期间,发生了 22 例硬终点心脏事件。在 Kaplan-Meier 曲线分析中,黑乳头肌患者的事件风险高于无黑乳头肌患者(p < 0.0001)。在所有多变量模型中,黑乳头肌与硬终点心脏事件显著相关。当将黑乳头肌与 NSVT(p = 0.0006)、LGE(p = 0.005)和包括 NSVT+LGE 的模型相结合时,黑乳头肌可显著改善预后评估(p = 0.014)。当将黑乳头肌添加到 NSVT(NRI 0.30,p = 0.03)、LGE(NRI 0.25,p = 0.04)和 NSVT + LGE(NRI 0.32,p = 0.02)模型中时,黑乳头肌可显著进行净重新分类。
在 LV 乳头肌中,黑乳头肌是伴有室性心律失常和射血分数保留患者的一种新的预后标志物。
左心室乳头肌异常可见于伴有室性心律失常和保留左心室射血分数的患者。
对比增强后收缩末期电影图像中乳头肌的低强度(黑乳头肌)是伴有室性心律失常和保留射血分数患者的一种新的预后标志物。
黑乳头肌在预后中的作用优于晚期钆增强和非持续性室性心动过速。