Suppr超能文献

薄膜冷冻工程化的可气溶胶化质粒 DNA 干粉

Aerosolizable Plasmid DNA Dry Powders Engineered by Thin-film Freezing.

机构信息

Division of Molecular Pharmaceutics and Drug Delivery, College of Pharmacy, The University of Texas at Austin, Austin, TX, 78712, USA.

TFF Pharmaceuticals, Inc., Austin, TX, 78753, USA.

出版信息

Pharm Res. 2023 May;40(5):1141-1152. doi: 10.1007/s11095-023-03473-5. Epub 2023 Jan 26.

Abstract

PURPOSE

This study was designed to test the feasibility of using thin-film freezing (TFF) to prepare aerosolizable dry powders of plasmid DNA (pDNA) for pulmonary delivery.

METHODS

Dry powders of pDNA formulated with mannitol/leucine (70/30, w/w) with various drug loadings, solid contents, and solvents were prepared using TFF, their aerosol properties (i.e., mass median aerodynamic diameter (MMAD) and fine particle fraction (FPF)) were determined, and selected powders were used for further characterization.

RESULTS

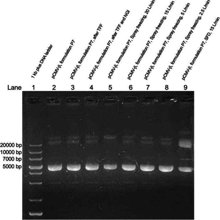
Of the nine dry powders prepared, their MMAD values were about 1-2 µm, with FPF values (delivered) of 40-80%. The aerosol properties of the powders were inversely correlated with the pDNA loading and the solid content in the pDNA solution before TFF. Powders prepared with Tris-EDTA buffer or cosolvents (i.e., 1,4-dioxane or tert-butanol in water), instead of water, showed slightly reduced aerosol properties. Ultimately, powders prepared with pDNA loading at 5% (w/w), 0.25% of solid content, with or without Tris-EDTA were selected for further characterization due to their overall good aerosol performance. The pDNA powders exhibited a porous matrix structure, with a moisture content of < 2% (w/w). Agarose gel electrophoresis confirmed the chemical integrity of the pDNA after it was subjected to TFF and after the TFF powder was actuated. A cell transfection study confirmed that the activity of the pDNA did not change after it was subjected to TFF.

CONCLUSION

It is feasible to use TFF to produce aerosolizable pDNA dry powder for pulmonary delivery, while preserving the integrity and activity of the pDNA.

摘要

目的

本研究旨在测试使用薄膜冷冻(TFF)制备可吸入质粒 DNA(pDNA)干粉用于肺部给药的可行性。

方法

使用 TFF 制备了载有甘露醇/亮氨酸(70/30,w/w)的不同药物载量、固含量和溶剂的 pDNA 干粉,测定了它们的气溶胶性质(即质量中值空气动力学直径(MMAD)和细颗粒分数(FPF)),并选择了一些粉末进行进一步的表征。

结果

在所制备的九种干粉中,它们的 MMAD 值约为 1-2µm,FPF 值(输送)为 40-80%。粉末的气溶胶性质与 TFF 前 pDNA 溶液中的 pDNA 载量和固含量呈反比。使用 Tris-EDTA 缓冲液或共溶剂(即水的 1,4-二恶烷或叔丁醇)代替水制备的粉末显示出稍微降低的气溶胶性质。最终,由于其整体良好的气溶胶性能,选择了载量为 5%(w/w)、0.25%固含量、有或没有 Tris-EDTA 的 pDNA 粉末进行进一步的表征。pDNA 粉末呈现多孔基质结构,水分含量<2%(w/w)。琼脂糖凝胶电泳证实 pDNA 在经受 TFF 后以及在 TFF 粉末被激发后保持其化学完整性。细胞转染研究证实 pDNA 的活性在经受 TFF 后没有变化。

结论

使用 TFF 生产可吸入 pDNA 干粉用于肺部给药是可行的,同时可保持 pDNA 的完整性和活性。

https://cdn.ncbi.nlm.nih.gov/pmc/blobs/fa05/9879621/a1b9023951c0/11095_2023_3473_Fig1_HTML.jpg

文献AI研究员

20分钟写一篇综述,助力文献阅读效率提升50倍。

立即体验

用中文搜PubMed

大模型驱动的PubMed中文搜索引擎

马上搜索

文档翻译

学术文献翻译模型,支持多种主流文档格式。

立即体验