Suppr超能文献

双侧跟骨转移治疗先天性胫骨缺损:一种新的手术技术及病例报告。

Bilateral Calcaneus Transfers for the Treatment of Congenital Tibial Deficiencies: A Novel Surgical Technique and Case Report.

机构信息

From the Orthopaedic Surgery, Riverside University Health System Medical Center, Moreno Valley, CA (Dr. Fang, Dr. Thomas, and Dr. Fan); the Orthopaedic Surgery, Children's Hospital of Orange County, Orange, CA (Dr. Fang, Dr. Thomas, Dr. Fan, Dr. Leis, and Dr. Rosenfeld); and the Plastics Surgery, University of California, Irvine, CA (Dr. Leis).

出版信息

J Am Acad Orthop Surg Glob Res Rev. 2022 Dec 5;6(12). doi: 10.5435/JAAOSGlobal-D-22-00070. eCollection 2022 Dec 1.

Abstract

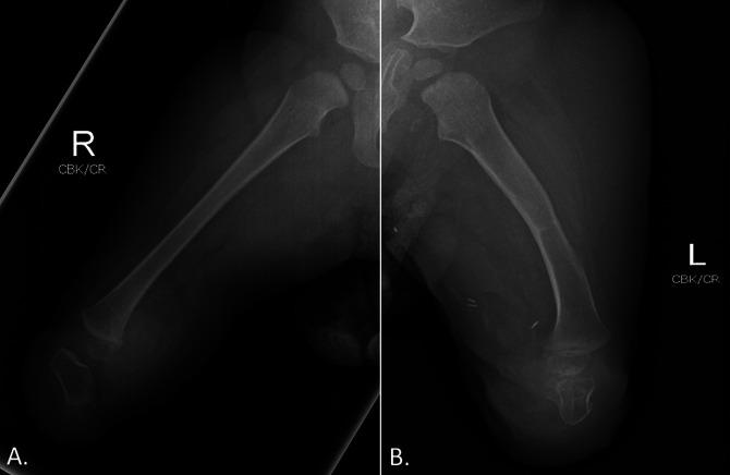
Tibial deficiency (also known as tibial hemimelia) is a rare condition with variable presentation. A 2-month-old patient presented with absent bilateral tibias. When the patient was 1 year, a novel reconstructive surgery was done. A bilateral fibular resection with pedicled calcaneus transfer was done, allowing for transfer of the calcaneus along with the overlying glabrous skin and soft tissues to the end of the femur. The patient was permitted to weight-bear after the 4-week postoperative follow-up. At the six-month follow-up, the patient was able to pull to stand and walk with assistance without any reports of pain.

摘要

胫骨发育不全(也称为胫骨半肢畸形)是一种罕见的疾病,表现多样。一名 2 个月大的患儿双侧胫骨缺失。患儿 1 岁时,接受了一种新的重建手术。进行了双侧腓骨切除和带蒂跟骨转移,将跟骨连同其上方的无毛皮肤和软组织转移到股骨末端。术后 4 周随访时,患儿开始负重。在 6 个月的随访中,患儿能够在辅助下拉站和行走,没有任何疼痛报告。

https://cdn.ncbi.nlm.nih.gov/pmc/blobs/9168/9726303/7d276fe59e6a/jagrr-6-e22.00070-g001.jpg

文献检索

告别复杂PubMed语法,用中文像聊天一样搜索,搜遍4000万医学文献。AI智能推荐,让科研检索更轻松。

立即免费搜索

文件翻译

保留排版,准确专业,支持PDF/Word/PPT等文件格式,支持 12+语言互译。

免费翻译文档

深度研究

AI帮你快速写综述,25分钟生成高质量综述,智能提取关键信息,辅助科研写作。

立即免费体验