Suppr超能文献

睾丸原发性类癌或性索间质肿瘤:一例报告。

Primary carcinoid or sex cord-stromal tumor of the testis: A case report.

作者信息

Emadi Torghabeh Ali, Dolati Mahmood, Gharib Masoumeh, Saghafi Hamidreza, Saghafi Mohammadreza

机构信息

Cancer Research Center, Mashhad University of Medical Sciences, Mashhad, Iran.

Department of Urology, Faculty of Medicine, Mashhad University of Medical Sciences, Mashhad, Iran.

出版信息

Caspian J Intern Med. 2023 Winter;14(1):147-149. doi: 10.22088/cjim.14.1.147.

Abstract

BACKGROUND

Carcinoid tumors of the testis are rare and orchiectomy is the preferred treatment. This type of testis tumors is rare and their differentiation from sex cord-stromal tumors is difficult.

CASE PRESENTATION

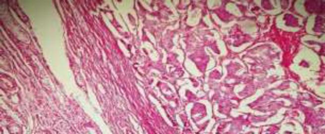
A 29‑year‑old man presented with right testicular mass and underwent radical orchidectomy. Histological examination showed neuroendocrine tumor, confirmed by immunohistochemistry and electron microscopy (Ethic code: IR.MUMS.REC.1400.237).

CONCLUSION

Primary testicular neuroendocrine tumor is very rare. It is crucial to submit the entire gross specimen for histopathologic examination to rule out an existing of other germ cell elements. Our patient had a well-differentiated carcinoid tumor and after two years of follow-up (every three months), there was no recurrence or metastasis.

摘要

背景

睾丸类癌肿瘤罕见,睾丸切除术是首选治疗方法。这类睾丸肿瘤罕见,且难以与性索间质肿瘤相鉴别。

病例报告

一名29岁男性因右侧睾丸肿物就诊,接受了根治性睾丸切除术。组织学检查显示为神经内分泌肿瘤,经免疫组化和电子显微镜检查得以证实(伦理代码:IR.MUMS.REC.1400.237)。

结论

原发性睾丸神经内分泌肿瘤非常罕见。提交整个大体标本进行组织病理学检查以排除其他生殖细胞成分的存在至关重要。我们的患者患有高分化类癌肿瘤,经过两年的随访(每三个月一次),未出现复发或转移。

https://cdn.ncbi.nlm.nih.gov/pmc/blobs/ca5e/9878896/ed8a3be5bc3e/cjim-14-147-g001.jpg

文献AI研究员

20分钟写一篇综述,助力文献阅读效率提升50倍。

立即体验

用中文搜PubMed

大模型驱动的PubMed中文搜索引擎

马上搜索

文档翻译

学术文献翻译模型,支持多种主流文档格式。

立即体验