De Barcellos Azambuja Daniel, Oliveira Trindade Bruna, Bueno Motter Sarah, Rangel Brandão Gabriela, Lacava Schramm Radames, Thomaz Pioner Giovani
Colorectal Surgery, Santa Casa de Misericórdia de Porto Alegre, Porto Alegre, BRA.
Medical School, Federal University of Health Sciences of Porto Alegre, Porto Alegre, BRA.
Cureus. 2023 Jan 2;15(1):e33250. doi: 10.7759/cureus.33250. eCollection 2023 Jan.
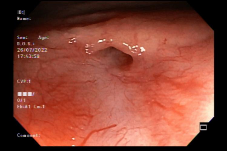
We present a case of a 68-year-old man with a rectourethral fistula (RUF) successfully treated with a unique endoscopic approach using the Padlock Clip system (Steris, Basingstoke, UK). This is a complex case of a patient who, after radical prostatectomy, continued to show several complications, including fistulas and relapses. Our work aims to enhance the literature with our technique and to help the scientific community in future RUF cases. Our case stands out because this therapeutic approach has not yet been described in the literature as a possible endoscopic treatment of RUF. Therefore, our topic description is essential to assist future similar cases.
我们报告了一例68岁男性直肠尿道瘘(RUF)患者,采用独特的内镜方法,使用挂锁夹系统(英国贝辛斯托克的史赛克公司)成功治疗。这是一例复杂病例,患者在根治性前列腺切除术后持续出现多种并发症,包括瘘管和复发。我们的工作旨在通过我们的技术丰富文献,并在未来RUF病例中帮助科学界。我们的病例很突出,因为这种治疗方法在文献中尚未被描述为RUF的一种可能的内镜治疗方法。因此,我们对该病例的描述对于协助未来类似病例至关重要。