Nagatsuka Hiroki, Miki Yuma, Tetsuo Yoshiaki, Yabuzaki Hajime, Nakayama Sadayoshi, Tanaka Yuko, Matsuda Yoshikazu, Tsumoto Tomoyuki, Terada Tomoaki, Mizutani Tohru
Department of Neurosurgery, Showa University Hospital, Shinagawa-ku, Yokohama City, Japan.
Department of Neurosurgery, Showa University Fujigaoka Hospital, Yokohama City, Japan.
Surg Neurol Int. 2023 Jan 13;14:8. doi: 10.25259/SNI_700_2022. eCollection 2023.
There are few reports on the treatment of carotid artery stenosis after arterial vessel replacement. We report and discuss an illustrative case of carotid artery stenting (CAS) performed for stenosis after carotid artery replacement.
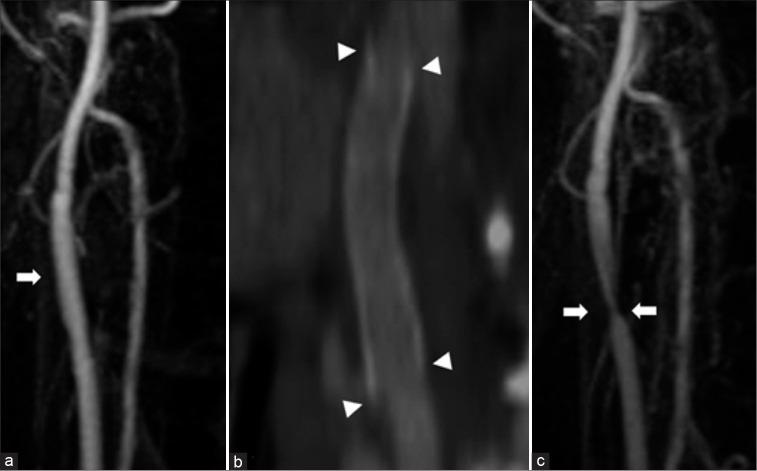
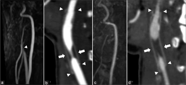
A woman in her 20s experienced injury to the right carotid artery during an operation for removal of a carotid body tumor 6 years before presentation. The right common carotid artery and internal carotid artery were replaced with an artificial vessel graft at that time. Intraluminal stenosis in the graft was not identified 3 years after surgery; however, 4 years after surgery, stenosis was recognized at the non-anastomotic site inside the artificial vessel graft. Subsequently, antiplatelet therapy was initiated. The stenosis was noted to progress gradually in follow-up appointments. Therefore, we decided to intervene because of the patient's young age and the risk of long-term hemodynamic stress. Angiography revealed pseudo-occlusion in the artificial vessel. Percutaneous transluminal angioplasty was performed for stenosis with distal protection; subsequently, CAS was performed. The patient was discharged without neurological deficits 4 days after the operation, and no apparent restenosis was observed as of the 1-year follow-up.
Stenosis after cervical artery replacement can be safely treated with CAS. Inflation pressure and stent should be selected according to the pathology of the stenosis.
关于动脉血管置换术后颈动脉狭窄的治疗报道较少。我们报告并讨论一例颈动脉置换术后因狭窄而行颈动脉支架置入术(CAS)的典型病例。
一名20多岁的女性在就诊前6年因切除颈动脉体瘤的手术中右侧颈动脉受伤。当时用人工血管移植物置换了右侧颈总动脉和颈内动脉。术后3年未发现移植物内管腔狭窄;然而,术后4年,在人工血管移植物内非吻合部位发现狭窄。随后开始抗血小板治疗。在随访中发现狭窄逐渐进展。因此,鉴于患者年轻以及长期血流动力学应激风险,我们决定进行干预。血管造影显示人工血管假性闭塞。对狭窄部位进行了带远端保护的经皮腔内血管成形术;随后进行了CAS。术后4天患者出院,无神经功能缺损,截至1年随访未观察到明显再狭窄。
颈动脉置换术后的狭窄可以通过CAS安全治疗。应根据狭窄的病理情况选择球囊扩张压力和支架。