Suppr超能文献

脑常染色体显性动脉病伴皮质下梗死和白质脑病的非心肌细胞蛋白在动脉中层的浓度。

Concentration of non-myocyte proteins in arterial media of cerebral autosomal dominant arteriopathy with subcortical infarcts and leukoencephalopathy.

机构信息

Department of Neurology, University of Michigan, Ann Arbor, MI, United States of America.

Neurology Service, VA Ann Arbor Healthcare System, Department of Veterans Affairs, Ann Arbor, MI, United States of America.

出版信息

PLoS One. 2023 Feb 8;18(2):e0281094. doi: 10.1371/journal.pone.0281094. eCollection 2023.

Abstract

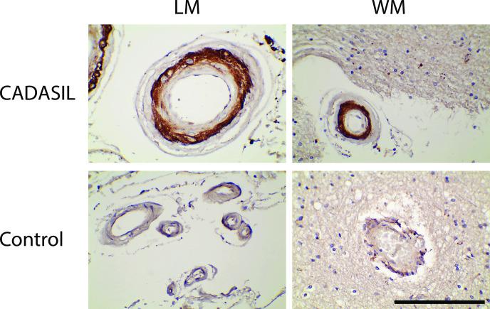
The most common inherited cause of vascular dementia and stroke, cerebral autosomal dominant arteriopathy with subcortical infarcts and leukoencephalopathy (CADASIL), is caused by mutations in NOTCH3. Post-translationally altered NOTCH3 accumulates in the vascular media of CADASIL arteries in areas of the vessels that exhibit profound cellular degeneration. The identification of molecules that concentrate in the same location as pathological NOTCH3 may shed light on processes that drive cytopathology in CADASIL. We performed a two phase immunohistochemical screen of markers identified in the Human Protein Atlas to identify new proteins that accumulate in the vascular media in a pattern similar to pathological NOTCH3. In phase one, none of 16 smooth muscle cell (SMC) localized antigens exhibited NOTCH3-like patterns of expression; however, several exhibited disease-dependent patterns of expression, with antibodies directed against FAM124A, GZMM, MTFR1, and ST6GAL demonstrating higher expression in controls than CADASIL. In contrast, in phase two of the study that included 56 non-SMC markers, two proteins, CD63 and CTSH, localized to the same regions as pathological NOTCH3, which was verified by VesSeg, a customized algorithm that assigns relative location of antigens within the layers of the vessel. Proximity ligation assays support complex formation between NOTCH3 fragments and CD63 in degenerating CADASIL media. Interestingly, in normal mouse brain, the two novel CADASIL markers, CD63 and CTSH, are expressed in non-SMC vascular cells. The identification of new proteins that concentrate in CADASIL vascular media demonstrates the utility of querying publicly available protein databases in specific neurological diseases and uncovers unexpected, non-SMC origins of pathological antigens in small vessel disease.

摘要

最常见的血管性痴呆和中风的遗传性病因,伴有皮质下梗死和白质脑病的常染色体显性脑动脉病(CADASIL),是由 NOTCH3 突变引起的。翻译后修饰的 NOTCH3 在 CADASIL 动脉的血管中表现出明显细胞变性的血管中膜蓄积。鉴定在与病理性 NOTCH3 相同位置浓缩的分子可能阐明推动 CADASIL 细胞病理学的过程。我们对人类蛋白质图谱中鉴定的标记物进行了两阶段免疫组织化学筛选,以鉴定在与病理性 NOTCH3 相似的模式中在血管中膜蓄积的新蛋白质。在第一阶段,16 种平滑肌细胞(SMC)定位抗原中没有一种表现出类似 NOTCH3 的表达模式;然而,几种表现出疾病依赖性的表达模式,针对 FAM124A、GZMM、MTFR1 和 ST6GAL 的抗体在对照中比 CADASIL 中的表达更高。相比之下,在包括 56 种非 SMC 标记物的研究的第二阶段,两种蛋白质,CD63 和 CTSH,定位于与病理性 NOTCH3 相同的区域,这通过 VesSeg 得到了验证,VesSeg 是一种自定义算法,可分配抗原在血管各层中的相对位置。接近连接测定支持在退变 CADASIL 介质中 NOTCH3 片段和 CD63 之间形成复合物。有趣的是,在正常小鼠大脑中,两种新的 CADASIL 标记物,CD63 和 CTSH,在非 SMC 血管细胞中表达。在 CADASIL 血管中膜中浓缩的新蛋白质的鉴定证明了在特定神经疾病中查询公共可用蛋白质数据库的实用性,并揭示了小血管疾病中病理性抗原的意外、非 SMC 起源。

https://cdn.ncbi.nlm.nih.gov/pmc/blobs/ff41/9907840/d1386b5f7df0/pone.0281094.g001.jpg

文献检索

告别复杂PubMed语法,用中文像聊天一样搜索,搜遍4000万医学文献。AI智能推荐,让科研检索更轻松。

立即免费搜索

文件翻译

保留排版,准确专业,支持PDF/Word/PPT等文件格式,支持 12+语言互译。

免费翻译文档

深度研究

AI帮你快速写综述,25分钟生成高质量综述,智能提取关键信息,辅助科研写作。

立即免费体验