Suppr超能文献

结肠腺癌细胞系中、、和基因的表达及甲基化状态:有前景的治疗靶点。

Expression and methylation status of , , and genes in colon adenocarcinoma cell lines: promising treatment targets.

作者信息

Erfani Mehran, Zamani Mozhdeh, Tamaddon Gholamhossein, Hosseini Seyed Vahid, Mokarram Pooneh

机构信息

Department of Biochemistry, Faculty of Medicine, Shiraz University of Medical Sciences, Shiraz, Iran.

Department of Biochemistry, School of Medicine, Hormozgan University of Medical Sciences, Bandar Abbas, Iran.

出版信息

Gastroenterol Hepatol Bed Bench. 2022;15(4):395-405. doi: 10.22037/ghfbb.v15i4.2577.

Abstract

AIM

This study investigated the association between methylation status and expression levels of , , and genes in colon cancer.

BACKGROUND

Aberrant DNA methylation is one of the most important epigenetic modifications in the development of cancer. Evidence indicates that hypermethylation of various tumor suppressor genes could be a potential mechanism of colon tumorigenesis.

METHODS

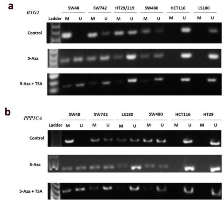
The expression levels of , , and genes were evaluated in HT-29/219, HCT116, SW48, SW742, SW480, and LS180 cell lines using quantitative Real-Time PCR. The methylation status of and was determined by methylation-specific PCR (MSP) method, and the methylation pattern of PEG3 was evaluated by bisulfite sequencing PCR (BSP). To investigate the effect of methylation on the expression of these genes, all colon cancer cell lines were treated by 5-Azacitidine (5-Aza) and/or Trichostatin A (TSA).

RESULTS

The expression levels of , , and were highly heterogeneous and quantitatively correlated to their promoter methylation status in the studied colon cancer cell lines. Treatment by 5-Aza and/or TSA increased the expression of the above-named genes in colon cancer cell lines.

CONCLUSION

Overall, it seems that , , and act as tumor suppressor genes in colon cancer, and methylation is a potential mechanism for their loss of expression. Therefore, these genes may be considered as suitable targets for demethylation approaches and, eventually, colon cancer treatment. Combined treatment by 5-Aza and TSA may be a promising therapeutic strategy for colon cancer treatment. Further studies may contribute to confirm these results.

摘要

目的

本研究调查结肠癌中、和基因的甲基化状态与表达水平之间的关联。

背景

异常DNA甲基化是癌症发生过程中最重要的表观遗传修饰之一。证据表明,各种肿瘤抑制基因的高甲基化可能是结肠肿瘤发生的潜在机制。

方法

使用定量实时PCR评估HT-29/219、HCT116、SW48、SW742、SW480和LS180细胞系中、和基因的表达水平。通过甲基化特异性PCR(MSP)方法确定和的甲基化状态,并通过亚硫酸氢盐测序PCR(BSP)评估PEG3的甲基化模式。为了研究甲基化对这些基因表达的影响,所有结肠癌细胞系均用5-氮杂胞苷(5-Aza)和/或曲古抑菌素A(TSA)处理。

结果

在研究的结肠癌细胞系中,、和的表达水平高度异质,且与其启动子甲基化状态在数量上相关。5-Aza和/或TSA处理增加了结肠癌细胞系中上述基因的表达。

结论

总体而言,、和似乎在结肠癌中作为肿瘤抑制基因发挥作用,甲基化是它们表达缺失的潜在机制。因此,这些基因可被视为去甲基化方法以及最终结肠癌治疗的合适靶点。5-Aza和TSA联合治疗可能是一种有前景的结肠癌治疗策略。进一步的研究可能有助于证实这些结果。

https://cdn.ncbi.nlm.nih.gov/pmc/blobs/0421/9876769/0da8b531b190/GHFBB-15-395-g001.jpg

文献AI研究员

20分钟写一篇综述,助力文献阅读效率提升50倍。

立即体验

用中文搜PubMed

大模型驱动的PubMed中文搜索引擎

马上搜索

文档翻译

学术文献翻译模型,支持多种主流文档格式。

立即体验