Ceausu Amalia Raluca, Ciolofan Alexandru, Blidisel Alexandru, Cosma Andrei Alexandru, Gaje Pusa Nela, Cretu Octavian
Angiogenesis Research Center, Department of Microscopic Morphology/Histology, "Victor Babes" University of Medicine and Pharmacy, Timisoara, Sq. Eftimie Murgu No. 2, 300041 Timisoara, Timis, Romania.
Department of Surgical Semiology, "Victor Babes" University of Medicine and Pharmacy, Sq. Eftimie Murgu No. 2, 300041 Timisoara, Timis, Romania.
Curr Issues Mol Biol. 2023 Feb 6;45(2):1396-1406. doi: 10.3390/cimb45020091.
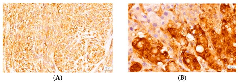
Chloride intracellular channel 1 (CLIC1) is involved in cell migration and metastasis. The histological growth patterns of liver metastasis are as follows: desmoplastic (d-HGP), replacement (r-HGP), pushing (p-HGP), and mixed. The aim of this study was to evaluate the relation between HGP, angiogenesis, and CLIC1 expression. Materials and Methods: A total of 40 cases of primary tumors and their LM: d-HGP (12 cases), r-HGP (13 cases), and p-HGP (15 cases), were evaluated through simple and double immunostaining. CLIC1 assessment was conducted as follows: scores of 0 (less than 10% of positive cells), 1 (10-30%), 2 (30-50%), or 3 (more than 50%) were assigned. Heterogeneous CLIC1 expression was found. CLIC1 in primary tumors correlated with grade G for all cases of LM with a p-HGP ( = 0.004). The CLIC1 score for LMs with an r-HGP correlated with grade G of the corresponding primary tumor ( = 0.027). CLIC1 and CD34+/Ki67+ vessels ( = 0.006) correlated in primary tumors. CLIC1 in primary tumors correlated with CD34+/Ki67+ vessels of LMs with a d HGP ( = 0.024). Conclusions: The CLIC1 score may have prognostic value, mainly for LMs with a p-HGP and r-HGP, and therapeutic value for LMs with a d-HGP.
氯离子细胞内通道1(CLIC1)参与细胞迁移和转移。肝转移的组织学生长模式如下:促结缔组织增生型(d-HGP)、替代型(r-HGP)、推挤型(p-HGP)和混合型。本研究的目的是评估HGP、血管生成与CLIC1表达之间的关系。材料与方法:通过单免疫染色和双免疫染色对40例原发性肿瘤及其肝转移灶进行评估,其中d-HGP(12例)、r-HGP(13例)和p-HGP(15例)。CLIC1评估如下:评分为0(阳性细胞少于10%)、1(10%-30%)、2(30%-50%)或3(超过50%)。发现CLIC1表达存在异质性。在所有p-HGP的肝转移病例中,原发性肿瘤中的CLIC1与分级G相关(P = 0.004)。r-HGP的肝转移灶的CLIC1评分与相应原发性肿瘤的分级G相关(P = 0.027)。原发性肿瘤中的CLIC1与CD34+/Ki67+血管相关(P = 0.006)。原发性肿瘤中的CLIC1与d-HGP的肝转移灶的CD34+/Ki67+血管相关(P = 0.024)。结论:CLIC1评分可能具有预后价值,主要针对p-HGP和r-HGP的肝转移灶,对d-HGP的肝转移灶具有治疗价值。