Suppr超能文献

妊娠期头痛:子痫前期与脑出血

Headache in Pregnancy: Preeclampsia and Intracerebral Hemorrhage.

作者信息

Wood Zachary, Adams Sarah, Jones Jefferson

机构信息

Family Medicine, Edward Via College of Osteopathic Medicine, Auburn, USA.

Family Medicine, Piedmont Columbus Midtown, Columbus, USA.

出版信息

Cureus. 2023 Jan 23;15(1):e34086. doi: 10.7759/cureus.34086. eCollection 2023 Jan.

Abstract

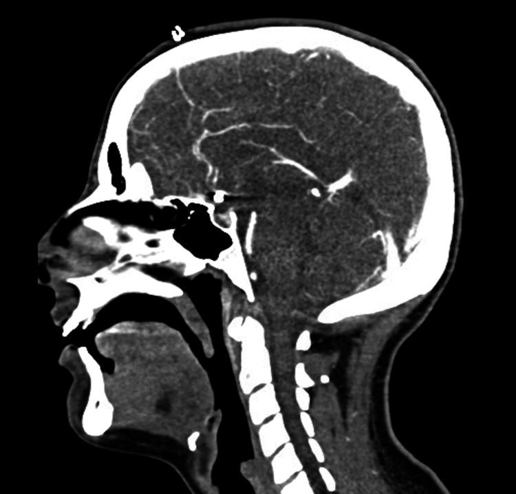
Preeclampsia is a type of hypertensive disorder of pregnancy that can cause significant maternal and perinatal morbidity and mortality. Hypertension and proteinuria are the keystones of the disease, though systemic end-organ dysfunction may follow. The pathogenesis is multifactorial, with known influences by placental, vascular, renal, and immunological dysfunction. This is a case of preeclampsia complicated by preterm delivery and antepartum intracerebral hemorrhage secondary to aneurysm rupture, presenting as dull headaches and blurry vision, commonly associated with severe features.

摘要

子痫前期是一种妊娠期高血压疾病,可导致严重的孕产妇和围产期发病及死亡。高血压和蛋白尿是该疾病的关键特征,尽管随后可能出现全身终末器官功能障碍。其发病机制是多因素的,已知受胎盘、血管、肾脏和免疫功能障碍的影响。这是一例子痫前期合并早产和动脉瘤破裂继发产前脑出血的病例,表现为钝痛和视力模糊,通常伴有严重特征。

https://cdn.ncbi.nlm.nih.gov/pmc/blobs/32f7/9945921/605771a90c34/cureus-0015-00000034086-i01.jpg

文献AI研究员

20分钟写一篇综述,助力文献阅读效率提升50倍。

立即体验

用中文搜PubMed

大模型驱动的PubMed中文搜索引擎

马上搜索

文档翻译

学术文献翻译模型,支持多种主流文档格式。

立即体验