Suppr超能文献

乳腺转移性胃肠道间质瘤1例罕见病例

A Rare Case of Breast Metastatic Gastrointestinal Stromal Tumor.

作者信息

Baek Woong Kee, Ni Pu, Zeng Jennifer, Collins Victoria, Zeizafoun Nebras

机构信息

Department of Pathology, Mount Sinai Morningside - West, New York, USA.

Department of Pathology, Mount Sinai Hospital, New York, USA.

出版信息

Cureus. 2023 Jan 24;15(1):e34164. doi: 10.7759/cureus.34164. eCollection 2023 Jan.

Abstract

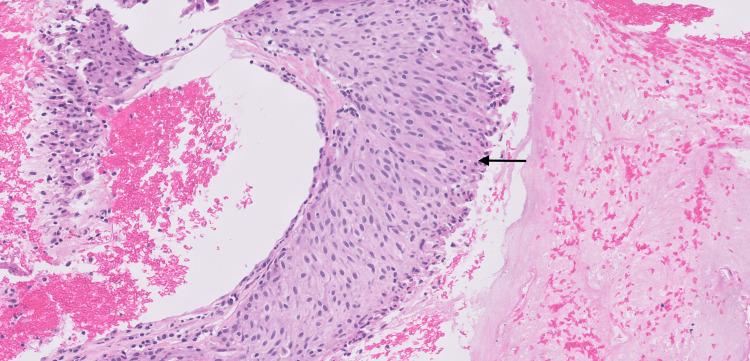
Gastrointestinal stromal tumor (GIST) is one of the most common spindle cell neoplasms of the alimentary system, and can arise anywhere along the gastrointestinal tract (GI). Its incidence rate is up to 22 cases per million, with a minor geographic variation. GIST is thought to originate from interstitial cell of Cajal, and its pathogenesis is related to molecular defects, such as KIT receptor tyrosine kinase or platelet-derived growth receptor alpha gene activation. While the majority of GISTs are known to show a benign disease course, metastases of high-grade forms to different organ systems have been seldom reported. We present a case with an unprecedented metastasis of GIST to the breast. The patient is a 62-year-old female with a history of the primary resection of GIST from the small intestine. Her disease course was initially complicated by multiple metastases, solely localized to the liver for which she had a living-donor liver transplant. The tumor harbored both KIT exon 11 and exon 17 mutation. Fourteen months post-transplant, the patient was found to have metastatic GIST on her breast biopsy. GIST metastasis to the breast is extremely rare. A consideration of this spindle cell neoplasm as a differential is recommended when clinical suspicion arises. The pathophysiology, current diagnostic tool, grading system, and treatment of this tumor are discussed.

摘要

胃肠道间质瘤(GIST)是消化系统最常见的梭形细胞瘤之一,可发生于胃肠道(GI)的任何部位。其发病率高达每百万人口22例,地域差异较小。GIST被认为起源于 Cajal 间质细胞,其发病机制与分子缺陷有关,如 KIT 受体酪氨酸激酶或血小板衍生生长因子受体α基因激活。虽然大多数GIST表现为良性病程,但高级别GIST转移至不同器官系统的报道很少。我们报告一例GIST罕见转移至乳腺的病例。患者为62岁女性,有小肠原发性GIST切除病史。其病程最初因多处转移而复杂化,仅局限于肝脏,为此她接受了活体供肝移植。肿瘤同时存在KIT外显子11和外显子17突变。移植后14个月,患者乳腺活检发现转移性GIST。GIST转移至乳腺极为罕见。当临床出现怀疑时,建议将这种梭形细胞瘤作为鉴别诊断的考虑对象。本文讨论了该肿瘤的病理生理学、当前诊断工具、分级系统及治疗方法。

https://cdn.ncbi.nlm.nih.gov/pmc/blobs/95ed/9949736/2da75abb9d4b/cureus-0015-00000034164-i01.jpg

文献AI研究员

20分钟写一篇综述,助力文献阅读效率提升50倍。

立即体验

用中文搜PubMed

大模型驱动的PubMed中文搜索引擎

马上搜索

文档翻译

学术文献翻译模型,支持多种主流文档格式。

立即体验