Suppr超能文献

病例报告:肾盂尿路上皮癌伴滋养细胞分化:罕见病例报告及文献复习。

Case report: Urothelial carcinoma of the renal pelvis with trophoblastic differentiation: A rare case report and review of literature.

机构信息

Department of Pathology, Gansu Province People's Hospital, Lanzhou, Gansu, China.

Department of Radiology, Gansu Province People's Hospital, Lanzhou, Gansu, China.

出版信息

Pathol Oncol Res. 2023 Feb 10;29:1610856. doi: 10.3389/pore.2023.1610856. eCollection 2023.

Abstract

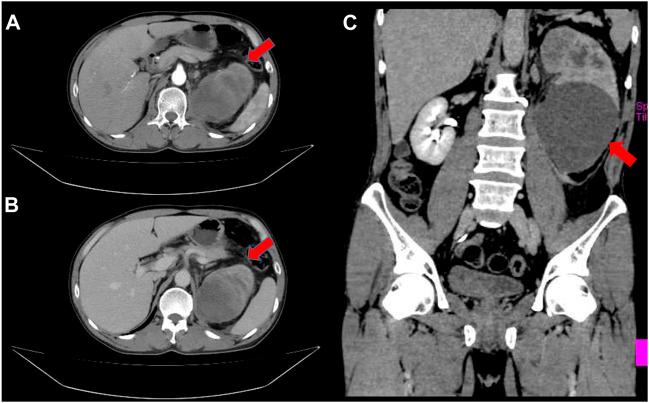
We report a rare case of urothelial carcinoma (UC) of the renal pelvis with trophoblastic differentiation that occurred in a 55-year-old male patient. The patient presented with gross hematuria and paroxysmal lumbago pain 5 months ago. The enhanced computed tomography (CT) scan demonstrated a large space occupying lesion in the left kidney and multiple retroperitoneal lymph node enlargements. Histologically, high-grade infiltrating urothelial carcinoma (HGUC) contained giant cells which were positive for beta-human chorionic gonadotropin (β-hCG). Three weeks after resection, positron emission tomography and computed tomography (PET-CT) scan showed multiple nodules of metastasis in the left renal region, extensive systemic muscle, bone, lymph node, liver and bilateral lung metastases. The patient underwent bladder perfusion chemotherapy and gemcitabine combined with cisplatin chemotherapy regimens. This is the eighth documented case of UC of the renal pelvis with trophoblastic differentiation. Due to its rarity and extremely poor prognosis, it is important to clarify the characteristics of the disease and make an accurate and prompt diagnosis.

摘要

我们报告了一例罕见的肾盂尿路上皮癌(UC)伴滋养细胞分化,发生在一名 55 岁男性患者中。该患者 5 个月前出现肉眼血尿和阵发性腰痛。增强计算机断层扫描(CT)显示左肾有一个大的占位性病变和多个腹膜后淋巴结肿大。组织学上,高级别浸润性尿路上皮癌(HGUC)含有β-人绒毛膜促性腺激素(β-hCG)阳性的巨细胞。切除后 3 周,正电子发射断层扫描和计算机断层扫描(PET-CT)显示左肾区、广泛全身肌肉、骨骼、淋巴结、肝脏和双侧肺转移有多个结节。患者接受了膀胱灌注化疗和吉西他滨联合顺铂化疗方案。这是第 8 例有报道的肾盂尿路上皮癌伴滋养细胞分化。由于其罕见性和极差的预后,明确疾病的特征并做出准确和及时的诊断非常重要。

https://cdn.ncbi.nlm.nih.gov/pmc/blobs/c3ce/9950125/edb75e174695/pore-29-1610856-g001.jpg

文献AI研究员

20分钟写一篇综述,助力文献阅读效率提升50倍。

立即体验

用中文搜PubMed

大模型驱动的PubMed中文搜索引擎

马上搜索

文档翻译

学术文献翻译模型,支持多种主流文档格式。

立即体验