• 文献检索
  • 文档翻译
  • 深度研究
  • 学术资讯
  • Suppr Zotero 插件Zotero 插件
  • 邀请有礼
  • 套餐&价格
  • 历史记录
应用&插件
Suppr Zotero 插件Zotero 插件浏览器插件Mac 客户端Windows 客户端微信小程序
定价
高级版会员购买积分包购买API积分包
服务
文献检索文档翻译深度研究API 文档MCP 服务
关于我们
关于 Suppr公司介绍联系我们用户协议隐私条款
关注我们

Suppr 超能文献

核心技术专利:CN118964589B侵权必究
粤ICP备2023148730 号-1Suppr @ 2026

文献检索

告别复杂PubMed语法,用中文像聊天一样搜索,搜遍4000万医学文献。AI智能推荐,让科研检索更轻松。

立即免费搜索

文件翻译

保留排版,准确专业,支持PDF/Word/PPT等文件格式,支持 12+语言互译。

免费翻译文档

深度研究

AI帮你快速写综述,25分钟生成高质量综述,智能提取关键信息,辅助科研写作。

立即免费体验

纤连蛋白促进静脉微血管中的免疫血栓失调。

Vitronectin promotes immunothrombotic dysregulation in the venular microvasculature.

机构信息

Department of Otorhinolaryngology, University Hospital, Ludwig-Maximilians-Universität München (LMU), Munich, Germany.

Walter Brendel Centre of Experimental Medicine, University Hospital, Ludwig-Maximilians-Universität München (LMU) Munich, Munich, Germany.

出版信息

Front Immunol. 2023 Feb 8;14:1078005. doi: 10.3389/fimmu.2023.1078005. eCollection 2023.

DOI:10.3389/fimmu.2023.1078005
PMID:36845099
原文链接:https://pmc.ncbi.nlm.nih.gov/articles/PMC9945350/
Abstract

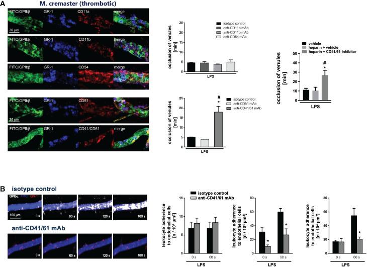
Microvascular immunothrombotic dysregulation is a critical process in the pathogenesis of severe systemic inflammatory diseases. The mechanisms controlling immunothrombosis in inflamed microvessels, however, remain poorly understood. Here, we report that under systemic inflammatory conditions the matricellular glycoproteinvitronectin (VN) establishes an intravascular scaffold, supporting interactions of aggregating platelets with immune cells and the venular endothelium. Blockade of the VN receptor glycoprotein (GP)IIb/IIIa interfered with this multicellular interplay and effectively prevented microvascular clot formation. In line with these experimental data, particularly VN was found to be enriched in the pulmonary microvasculature of patients with non-infectious (pancreatitis-associated) or infectious (coronavirus disease 2019 (COVID-19)-associated) severe systemic inflammatory responses. Targeting the VN-GPIIb/IIIa axis hence appears as a promising, already feasible strategy to counteract microvascular immunothrombotic dysregulation in systemic inflammatory pathologies.

摘要

微血管免疫血栓调节紊乱是严重全身炎症性疾病发病机制中的一个关键过程。然而,控制炎症微血管中免疫血栓形成的机制仍知之甚少。在这里,我们报告在全身炎症状态下,细胞外基质糖蛋白 vitronectin(VN)在血管内形成支架,支持聚集的血小板与免疫细胞和静脉内皮的相互作用。阻断 VN 受体糖蛋白(GP)IIb/IIIa 干扰了这种细胞间相互作用,并有效地防止了微血管血栓形成。与这些实验数据一致的是,在患有非感染性(胰腺炎相关)或感染性(2019 年冠状病毒病(COVID-19)相关)严重全身炎症反应的患者的肺部微血管中,VN 被发现特别丰富。因此,靶向 VN-GPIIb/IIIa 轴似乎是一种很有前途的、已经可行的策略,可以对抗全身炎症性疾病中的微血管免疫血栓调节紊乱。

https://cdn.ncbi.nlm.nih.gov/pmc/blobs/b478/9945350/db7e0fbfaeb0/fimmu-14-1078005-g004.jpg
https://cdn.ncbi.nlm.nih.gov/pmc/blobs/b478/9945350/91b9217fbe91/fimmu-14-1078005-g001.jpg
https://cdn.ncbi.nlm.nih.gov/pmc/blobs/b478/9945350/0be13ae33339/fimmu-14-1078005-g002.jpg
https://cdn.ncbi.nlm.nih.gov/pmc/blobs/b478/9945350/b8763d191b85/fimmu-14-1078005-g003.jpg
https://cdn.ncbi.nlm.nih.gov/pmc/blobs/b478/9945350/db7e0fbfaeb0/fimmu-14-1078005-g004.jpg
https://cdn.ncbi.nlm.nih.gov/pmc/blobs/b478/9945350/91b9217fbe91/fimmu-14-1078005-g001.jpg
https://cdn.ncbi.nlm.nih.gov/pmc/blobs/b478/9945350/0be13ae33339/fimmu-14-1078005-g002.jpg
https://cdn.ncbi.nlm.nih.gov/pmc/blobs/b478/9945350/b8763d191b85/fimmu-14-1078005-g003.jpg
https://cdn.ncbi.nlm.nih.gov/pmc/blobs/b478/9945350/db7e0fbfaeb0/fimmu-14-1078005-g004.jpg

相似文献

1
Vitronectin promotes immunothrombotic dysregulation in the venular microvasculature.纤连蛋白促进静脉微血管中的免疫血栓失调。
Front Immunol. 2023 Feb 8;14:1078005. doi: 10.3389/fimmu.2023.1078005. eCollection 2023.
2
Vitronectin stabilizes intravascular adhesion of neutrophils by coordinating β2 integrin clustering.纤连蛋白通过协调β2 整合素聚集稳定中性粒细胞的血管内黏附。
Haematologica. 2021 Oct 1;106(10):2641-2653. doi: 10.3324/haematol.2019.226241.
3
Vitronectin binds to activated human platelets and plays a role in platelet aggregation.玻连蛋白与活化的人血小板结合,并在血小板聚集中发挥作用。
J Clin Invest. 1990 May;85(5):1372-8. doi: 10.1172/JCI114581.
4
Immunothrombotic Dysregulation in COVID-19 Pneumonia Is Associated With Respiratory Failure and Coagulopathy.新型冠状病毒肺炎肺炎中的免疫血栓调节紊乱与呼吸衰竭和凝血病有关。
Circulation. 2020 Sep 22;142(12):1176-1189. doi: 10.1161/CIRCULATIONAHA.120.048488. Epub 2020 Jul 28.
5
Comparative in vitro efficacy of different platelet glycoprotein IIb/IIIa antagonists on platelet-mediated clot strength induced by tissue factor with use of thromboelastography: differentiation among glycoprotein IIb/IIIa antagonists.使用血栓弹力图比较不同血小板糖蛋白IIb/IIIa拮抗剂对组织因子诱导的血小板介导的血凝块强度的体外疗效:糖蛋白IIb/IIIa拮抗剂之间的差异
Arterioscler Thromb Vasc Biol. 2000 Apr;20(4):1162-7. doi: 10.1161/01.atv.20.4.1162.
6
Platelet vitronectin receptor expression differentiates Iraqi-Jewish from Arab patients with Glanzmann thrombasthenia in Israel.血小板玻连蛋白受体表达可区分以色列患有Glanzmann血小板无力症的伊拉克犹太人和阿拉伯患者。
Blood. 1991 Jan 1;77(1):75-83.
7
Blood leukocytes bind platelet glycoprotein (IIb-IIIa)' but do not express the vitronectin receptor.血液白细胞结合血小板糖蛋白(IIb-IIIa),但不表达玻连蛋白受体。
Int Immunol. 1990;2(3):267-77. doi: 10.1093/intimm/2.3.267.
8
Adhesive properties of the beta 3 integrins: comparison of GP IIb-IIIa and the vitronectin receptor individually expressed in human melanoma cells.β3整合素的黏附特性:在人黑色素瘤细胞中单独表达的血小板糖蛋白IIb-IIIa和玻连蛋白受体的比较
J Cell Biol. 1991 Apr;113(2):451-61. doi: 10.1083/jcb.113.2.451.
9
Neutrophils promote venular thrombosis by shaping the rheological environment for platelet aggregation.中性粒细胞通过塑造血小板聚集的流变环境促进静脉血栓形成。
Sci Rep. 2019 Nov 4;9(1):15932. doi: 10.1038/s41598-019-52041-8.
10
Platelet integrin alpha IIb beta 3 (GPIIb-IIIa) is not implicated in the binding of LDL to intact resting platelets.血小板整合素αIIbβ3(糖蛋白IIb-IIIa)与低密度脂蛋白(LDL)结合完整的静息血小板无关。
Arterioscler Thromb Vasc Biol. 1997 Jan;17(1):156-63. doi: 10.1161/01.atv.17.1.156.

本文引用的文献

1
Clinical spectrum of ischaemic arterial diseases associated with COVID-19: a series of four illustrative cases.与新型冠状病毒肺炎相关的缺血性动脉疾病临床谱:4例说明性病例系列
Eur Heart J Case Rep. 2020 Dec 25;5(1):ytaa488. doi: 10.1093/ehjcr/ytaa488. eCollection 2021 Jan.
2
The ADAMTS13-von Willebrand factor axis in COVID-19 patients.新冠病毒感染患者中的ADAMTS13-血管性血友病因子轴
J Thromb Haemost. 2021 Feb;19(2):513-521. doi: 10.1111/jth.15191. Epub 2020 Dec 18.
3
Addendum: A pneumonia outbreak associated with a new coronavirus of probable bat origin.
附录:与一种可能源自蝙蝠的新型冠状病毒相关的肺炎疫情。
Nature. 2020 Dec;588(7836):E6. doi: 10.1038/s41586-020-2951-z.
4
Immunothrombotic Dysregulation in COVID-19 Pneumonia Is Associated With Respiratory Failure and Coagulopathy.新型冠状病毒肺炎肺炎中的免疫血栓调节紊乱与呼吸衰竭和凝血病有关。
Circulation. 2020 Sep 22;142(12):1176-1189. doi: 10.1161/CIRCULATIONAHA.120.048488. Epub 2020 Jul 28.
5
Vitronectin stabilizes intravascular adhesion of neutrophils by coordinating β2 integrin clustering.纤连蛋白通过协调β2 整合素聚集稳定中性粒细胞的血管内黏附。
Haematologica. 2021 Oct 1;106(10):2641-2653. doi: 10.3324/haematol.2019.226241.
6
Endothelial cells orchestrate COVID-19 coagulopathy.内皮细胞在新型冠状病毒肺炎凝血病中起关键作用。
Lancet Haematol. 2020 Aug;7(8):e553-e555. doi: 10.1016/S2352-3026(20)30215-5. Epub 2020 Jun 30.
7
Endotheliopathy in COVID-19-associated coagulopathy: evidence from a single-centre, cross-sectional study.新型冠状病毒肺炎相关凝血病中的内皮病变:来自一项单中心横断面研究的证据
Lancet Haematol. 2020 Aug;7(8):e575-e582. doi: 10.1016/S2352-3026(20)30216-7. Epub 2020 Jun 30.
8
Microvascular thrombosis: experimental and clinical implications.微血管血栓形成:实验与临床意义。
Transl Res. 2020 Nov;225:105-130. doi: 10.1016/j.trsl.2020.05.006. Epub 2020 May 23.
9
Enhanced platelet inhibition treatment improves hypoxemia in patients with severe Covid-19 and hypercoagulability. A case control, proof of concept study.强化血小板抑制治疗可改善严重 COVID-19 合并高凝状态患者的低氧血症:一项病例对照、概念验证研究。
Pharmacol Res. 2020 Aug;158:104950. doi: 10.1016/j.phrs.2020.104950. Epub 2020 May 23.
10
COVID-19 update: Covid-19-associated coagulopathy.新型冠状病毒肺炎最新情况:新型冠状病毒肺炎相关凝血病
J Thromb Thrombolysis. 2020 Jul;50(1):54-67. doi: 10.1007/s11239-020-02134-3.