Suppr超能文献

一名患有白血病继发难治性血小板减少症的年轻患者,采用脑膜中动脉栓塞术治疗慢性硬膜下血肿:是否有更多证据支持范式转变?病例说明

Middle meningeal artery embolization for chronic subdural hematoma in a young patient with refractory thrombocytopenia secondary to leukemia: more evidence for a paradigm shift? Illustrative case.

作者信息

Burrows Emalee J, Lee Seng Chye, Bangash Omar K, Phillips Timothy J, Lee Sharon

机构信息

1Neurosurgical Service of Western Australia, Sir Charles Gairdner Hospital, Perth, Western Australia, Australia; and.

2Neurological Intervention and Imaging Service of Western Australia, Perth, Western Australia, Australia.

出版信息

J Neurosurg Case Lessons. 2023 Feb 27;5(9). doi: 10.3171/CASE22273.

Abstract

BACKGROUND

Chronic subdural hematoma (CSDH) is one of the most common neurosurgical presentations, with an increasing number now also presenting with concurrent thrombocytopenia. Although middle meningeal artery (MMA) embolization has been considered in elderly patients with high comorbidities, it may permit treatment of CSDH in patients who are at high risk for recurrence or deemed unsuitable for surgical management due to thrombocytopenia.

OBSERVATIONS

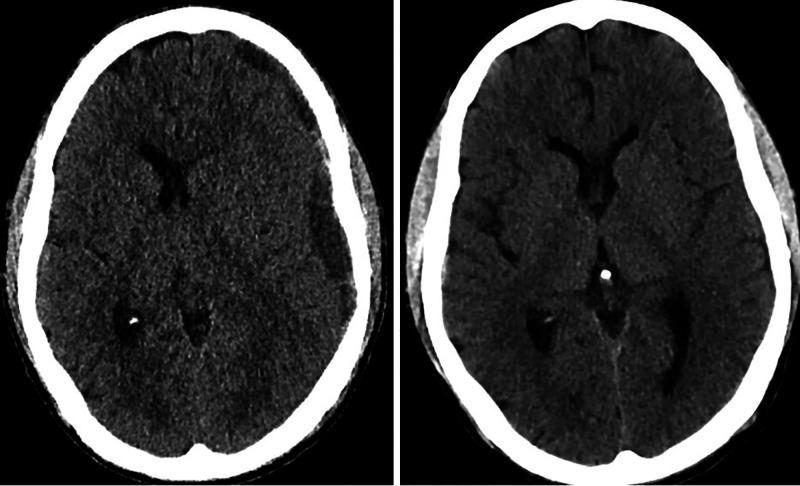
A 35-year-old man who had severe thrombocytopenia due to blast cell crisis with chronic myeloid leukemia developed an atraumatic CSDH. The patient developed severe headaches in the hospital while being treated for febrile neutropenia. He remained neurologically intact. MMA embolization was undertaken due to the morbidity and mortality risks associated with surgery and the high risk of recurrence due to severe thrombocytopenia. At 2 months post-procedure the patient was asymptomatic and there was almost complete resolution of the hematoma.

LESSONS

Thrombocytopenia in the presence of a CSDH is becoming increasingly common. This case highlights the particular role of MMA embolization in patients with severe thrombocytopenia where surgery carries high morbidity and increased mortality.

摘要

背景

慢性硬膜下血肿(CSDH)是最常见的神经外科病症之一,目前越来越多的患者同时伴有血小板减少症。尽管对于合并症多的老年患者已考虑采用脑膜中动脉(MMA)栓塞术,但它或许可用于那些复发风险高或因血小板减少症而被认为不适合手术治疗的CSDH患者。

观察结果

一名35岁男性因慢性粒细胞白血病原始细胞危象导致严重血小板减少症,进而发生了非创伤性CSDH。该患者在因发热性中性粒细胞减少症接受治疗期间在医院出现严重头痛。其神经系统保持完好。由于手术相关的发病和死亡风险以及严重血小板减少症导致的高复发风险,遂进行了MMA栓塞术。术后2个月,患者无症状,血肿几乎完全消退。

经验教训

CSDH患者出现血小板减少症的情况日益常见。本病例凸显了MMA栓塞术在严重血小板减少症患者中的特殊作用,此类患者手术的发病率高且死亡率增加。

https://cdn.ncbi.nlm.nih.gov/pmc/blobs/226b/10550581/3d85f4e4e777/CASE22273f1.jpg

文献AI研究员

20分钟写一篇综述,助力文献阅读效率提升50倍。

立即体验

用中文搜PubMed

大模型驱动的PubMed中文搜索引擎

马上搜索

文档翻译

学术文献翻译模型,支持多种主流文档格式。

立即体验