• 文献检索
  • 文档翻译
  • 深度研究
  • 学术资讯
  • Suppr Zotero 插件Zotero 插件
  • 邀请有礼
  • 套餐&价格
  • 历史记录
应用&插件
Suppr Zotero 插件Zotero 插件浏览器插件Mac 客户端Windows 客户端微信小程序
定价
高级版会员购买积分包购买API积分包
服务
文献检索文档翻译深度研究API 文档MCP 服务
关于我们
关于 Suppr公司介绍联系我们用户协议隐私条款
关注我们

Suppr 超能文献

核心技术专利:CN118964589B侵权必究
粤ICP备2023148730 号-1Suppr @ 2026

文献检索

告别复杂PubMed语法,用中文像聊天一样搜索,搜遍4000万医学文献。AI智能推荐,让科研检索更轻松。

立即免费搜索

文件翻译

保留排版,准确专业,支持PDF/Word/PPT等文件格式,支持 12+语言互译。

免费翻译文档

深度研究

AI帮你快速写综述,25分钟生成高质量综述,智能提取关键信息,辅助科研写作。

立即免费体验

儿童牙医的治疗困境:8至15岁儿童生物学年龄与实际年龄的性别比较相关性

Treatment Predicament for Pediatric Dentist: Gender-wise Comparative Correlation of Biological and Chronological Age in 8-15-year-old Children.

作者信息

Gandhi Kapil, Malhotra Ritika, Datta Geetika, Kapoor Rishabh, Jangra Babita, Pande Pratik

机构信息

Department of Paedodontics & Preventive Dentistry, Inderprastha Dental College & Hospital, Ghaziabad, Uttar Pradesh, India.

出版信息

Int J Clin Pediatr Dent. 2022 Sep-Oct;15(5):569-574. doi: 10.5005/jp-journals-10005-2434.

DOI:10.5005/jp-journals-10005-2434
PMID:36865711
原文链接:https://pmc.ncbi.nlm.nih.gov/articles/PMC9973104/
Abstract

INTRODUCTION

The chronological age (CA) of a patient does not always correspond to the events of growth surge; therefore treatment strategies need good knowledge of biological markers.

AIM

The aim of the present study was to investigate the relationships between the skeletal age (SA), dental age (DA), and CA along with the stages of calcification of teeth and the cervical vertebral maturity (CVM) stages in Indian subjects.

MATERIALS AND METHODS

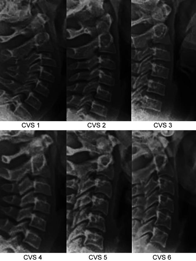
A sample of 100 pairs preexisting radiographs, both orthopantomogram and lateral cephalogram, of the individuals in the age-group of 8-15 years were procured and were analyzed for the level of dental and skeletal maturity using Demirjian scale and cervical vertebral maturity index, respectively.

RESULTS

A high correlation coefficient (r) was found to be 0.839 ( = 0) between chronological and dental age (DA), 0.833 ( = 0) between chronological and skeletal age (SA), and 0.730 ( = 0) between skeletal and DA.

CONCLUSION

The current research showed that the overall correlation between all three ages was found to be high. It was found that the SA assessed by the CVM stages had a high correlation with the CA.

CLINICAL SIGNIFICANCE

Within the limits of the present study, there exists a high degree of correlation between biological ages and chronological age, but still it is imperative for a correct assessment of biological age of individual patients for quality treatment outcomes.

HOW TO CITE THIS ARTICLE

Gandhi K, Malhotra R, Datta G, Treatment Predicament for Pediatric Dentist: Gender-wise Comparative Correlation of Biological and Chronological Age in 8-15-year-old Children. Int J Clin Pediatr Dent 2022;15(5):569-574.

摘要

引言

患者的实足年龄(CA)并不总是与生长突增事件相对应;因此,治疗策略需要对生物学标志物有充分的了解。

目的

本研究的目的是调查印度受试者的骨骼年龄(SA)、牙齿年龄(DA)和实足年龄之间的关系,以及牙齿钙化阶段和颈椎成熟度(CVM)阶段之间的关系。

材料与方法

收集了100对8至15岁个体的现有口腔全景片和头颅侧位片,分别使用德米尔坚量表和颈椎成熟度指数分析牙齿和骨骼的成熟水平。

结果

实足年龄与牙齿年龄(DA)之间的相关系数(r)为0.839(P = 0),实足年龄与骨骼年龄(SA)之间的相关系数为0.833(P = 0),骨骼年龄与牙齿年龄之间的相关系数为0.730(P = 0)。

结论

当前研究表明,所有这三个年龄之间的总体相关性很高。发现通过CVM阶段评估的骨骼年龄与实足年龄高度相关。

临床意义

在本研究的范围内,生物学年龄与实足年龄之间存在高度相关性,但为了获得高质量的治疗效果,正确评估个体患者的生物学年龄仍然至关重要。

如何引用本文

甘地K,马尔霍特拉R,达塔G,《儿科牙医的治疗困境:8至15岁儿童生物学年龄与实足年龄的性别比较相关性》。《国际临床儿科牙科学杂志》2022;15(5):569 - 574。

https://cdn.ncbi.nlm.nih.gov/pmc/blobs/723b/9973104/c9192e7ab755/ijcpd-15-569-g004.jpg
https://cdn.ncbi.nlm.nih.gov/pmc/blobs/723b/9973104/50b91d58f823/ijcpd-15-569-g001.jpg
https://cdn.ncbi.nlm.nih.gov/pmc/blobs/723b/9973104/bb60020badf7/ijcpd-15-569-g002.jpg
https://cdn.ncbi.nlm.nih.gov/pmc/blobs/723b/9973104/74807d2d83fa/ijcpd-15-569-g003.jpg
https://cdn.ncbi.nlm.nih.gov/pmc/blobs/723b/9973104/c9192e7ab755/ijcpd-15-569-g004.jpg
https://cdn.ncbi.nlm.nih.gov/pmc/blobs/723b/9973104/50b91d58f823/ijcpd-15-569-g001.jpg
https://cdn.ncbi.nlm.nih.gov/pmc/blobs/723b/9973104/bb60020badf7/ijcpd-15-569-g002.jpg
https://cdn.ncbi.nlm.nih.gov/pmc/blobs/723b/9973104/74807d2d83fa/ijcpd-15-569-g003.jpg
https://cdn.ncbi.nlm.nih.gov/pmc/blobs/723b/9973104/c9192e7ab755/ijcpd-15-569-g004.jpg

相似文献

1
Treatment Predicament for Pediatric Dentist: Gender-wise Comparative Correlation of Biological and Chronological Age in 8-15-year-old Children.儿童牙医的治疗困境:8至15岁儿童生物学年龄与实际年龄的性别比较相关性
Int J Clin Pediatr Dent. 2022 Sep-Oct;15(5):569-574. doi: 10.5005/jp-journals-10005-2434.
2
A Study to Compare and Correlate the Status of Maturation in Growing Individuals Using Chronological Age Dental Maturation and Cervical Vertebrae Maturation.一项使用实足年龄、牙齿成熟度和颈椎成熟度来比较并关联成长中个体成熟状态的研究。
Int J Clin Pediatr Dent. 2021;14(Suppl 1):S50-S53. doi: 10.5005/jp-journals-10005-2021.
3
Correlations among chronological age, cervical vertebral maturation index, and Demirjian developmental stage of the maxillary and mandibular canines and second molars.年龄、颈椎成熟度指数与上颌尖牙、下颌尖牙和第二磨牙的 Demirjian 发育阶段的相关性。
Surg Radiol Anat. 2021 Jan;43(1):131-143. doi: 10.1007/s00276-020-02541-4. Epub 2020 Aug 1.
4
Dental and Chronological Ages as Determinants of Peak Growth Period and Its Relationship with Dental Calcification Stages.牙齿年龄和实际年龄作为生长高峰期的决定因素及其与牙齿钙化阶段的关系。
Open Dent J. 2016 Apr 8;10:99-108. doi: 10.2174/1874210601610010099. eCollection 2016.
5
The usefulness of dental and cervical maturation stages in New Zealand children for Disaster Victim Identification.新西兰儿童的牙齿和颈椎成熟阶段在灾难遇难者身份识别中的作用。
Forensic Sci Med Pathol. 2012 Jun;8(2):101-8. doi: 10.1007/s12024-011-9251-8. Epub 2011 Jun 11.
6
Concordances and correlations between chronological, dental and bone ages: A retrospective study in French individuals.实足年龄、牙齿年龄和骨龄之间的一致性与相关性:一项针对法国人的回顾性研究。
Forensic Sci Int. 2022 Feb;331:111150. doi: 10.1016/j.forsciint.2021.111150. Epub 2021 Dec 16.
7
A Study of Correlation of Various Growth Indicators with Chronological Age.各项生长指标与实足年龄的相关性研究。
Int J Clin Pediatr Dent. 2015 Sep-Dec;8(3):190-5. doi: 10.5005/jp-journals-10005-1311. Epub 2015 Sep 11.
8
Relationship between dental age according to Demirjian and cervical vertebrae maturity in Polish children.波兰儿童根据 Demirjian 法的牙龄与颈椎成熟度的关系。
Eur J Orthod. 2011 Feb;33(1):75-83. doi: 10.1093/ejo/cjq031. Epub 2010 Jun 17.
9
Correlation between Chronological Age, Dental Age and Skeletal Age among Monozygoyic and Dizygotic Twins.单卵双胞胎和双卵双胞胎的实足年龄、牙齿年龄与骨骼年龄之间的相关性
J Int Oral Health. 2013 Feb;5(1):16-22. Epub 2013 Feb 26.
10
Assessment of skeletal maturation with permanent mandibular second molar calcification stages among a group of Nepalese orthodontic patients.一组尼泊尔正畸患者中基于恒牙下颌第二磨牙钙化阶段的骨骼成熟度评估。
Clin Cosmet Investig Dent. 2016 Mar 30;8:57-62. doi: 10.2147/CCIDE.S93561. eCollection 2016.

本文引用的文献

1
Correlation between Chronological Age, Dental Age and Skeletal Age among Monozygoyic and Dizygotic Twins.单卵双胞胎和双卵双胞胎的实足年龄、牙齿年龄与骨骼年龄之间的相关性
J Int Oral Health. 2013 Feb;5(1):16-22. Epub 2013 Feb 26.
2
Bone age assessment using cephalometric photographs.使用头影测量照片进行骨龄评估。
Pol J Radiol. 2013 Apr;78(2):19-25. doi: 10.12659/PJR.889072.
3
Accuracy of age estimation using Demirjian method among Nigerian children.在尼日利亚儿童中使用德米尔坚方法进行年龄估计的准确性。
Afr J Med Med Sci. 2012 Sep;41(3):297-300.
4
Cervical vertebral maturation as a biologic indicator of skeletal maturity.颈椎成熟度作为骨骼成熟度的生物指标。
Angle Orthod. 2012 Nov;82(6):1123-31. doi: 10.2319/103111-673.1. Epub 2012 Mar 14.
5
Assessment of dental maturity of children aged 3.5 to 13.5 years using the Demirjian method in an Iranian population.在伊朗人群中使用德米尔坚方法评估3.5至13.5岁儿童的牙齿成熟度。
J Oral Sci. 2011 Mar;53(1):37-42. doi: 10.2334/josnusd.53.37.
6
Growth indicators in orthodontic patients. Part 1: comparison of cervical vertebral maturation and hand-wrist skeletal maturation.正畸患者的生长指标。第 1 部分:颈椎成熟度与手腕骨骼成熟度的比较。
Eur J Paediatr Dent. 2010 Dec;11(4):171-5.
7
Relationship between dental age according to Demirjian and cervical vertebrae maturity in Polish children.波兰儿童根据 Demirjian 法的牙龄与颈椎成熟度的关系。
Eur J Orthod. 2011 Feb;33(1):75-83. doi: 10.1093/ejo/cjq031. Epub 2010 Jun 17.
8
Use of cervical vertebral maturation to determine skeletal age.利用颈椎成熟度来确定骨骼年龄。
Am J Orthod Dentofacial Orthop. 2009 Oct;136(4):484.e1-6; discussion 484-5. doi: 10.1016/j.ajodo.2007.08.033.
9
Quantitative cervical vertebral maturation assessment in adolescents with normal occlusion: a mixed longitudinal study.正常咬合青少年颈椎成熟度的定量评估:一项混合纵向研究。
Am J Orthod Dentofacial Orthop. 2008 Dec;134(6):720.e1-720.e7; discussion 720-1. doi: 10.1016/j.ajodo.2008.03.014.
10
Correlation between chronological age, cervical vertebral maturation and Fishman's skeletal maturity indicators in southern Chinese.中国南方人群实际年龄、颈椎成熟度与菲什曼骨骼成熟度指标之间的相关性
Angle Orthod. 2008 Jul;78(4):591-6. doi: 10.2319/0003-3219(2008)078[0591:CBCACV]2.0.CO;2.