Department of Urology, Affiliated Drum Tower Hospital, Medical School of Nanjing University, Institute of Urology, Nanjing University, Nanjing, China.
Department of Urology, Nanjing Drum Tower Hospital Clinical College of Jiangsu University, Nanjing, China.
Front Immunol. 2023 Mar 7;14:1085476. doi: 10.3389/fimmu.2023.1085476. eCollection 2023.
Bladder cancer (BLCA) is a highly malignant tumor of the urinary system, but the prognosis and survival rates have little improvement based on current therapeutic strategy. Immune checkpoint inhibitors (ICIs) therapy revolutionized the treatment of BLCA, but the clinical application of ICIs is limited by low response rate. Oxaliplatin (OXP), a second line chemotherapy drug for BLCA, may reshape the tumor immune microenvironment (TIME) recruiting immune cells. Here, we conducted the study of oxaliplatin combined with anti-PD-1 inhibitor in BLCA mice models.
The 6-8 weeks old female C57BL/6J mice were used to establish subcutaneous model of bladder tumor. After tumors developed, mice were given tail vein injections of PBS or oxaliplatin (2.5 mg/kg) and/or anti-PD-1 antibody (10 mg/kg). Tumor tissue samples and peripheral blood mononuclear cell (PBMC) were collected to systemically evaluate the efficiency and safety of combination OXP and anti-PD-1 inhibitor. The change of immune cells populations and the corresponding phenotypic diversity in TIME and PBMC were analysed by flow cytometry.
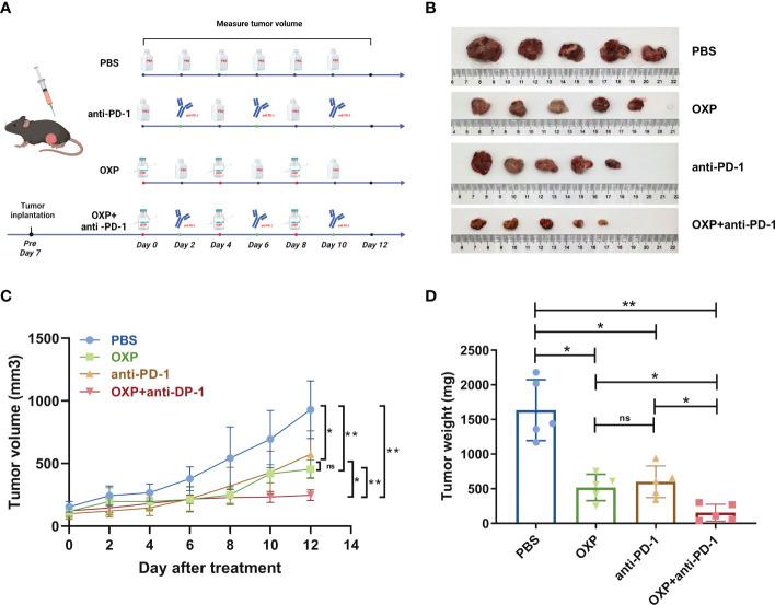
Tumor growth experiments clarified that the combination therapy was more efficient than medication alone. Flow cytometry analysis of tumor samples showed significant differences between untreated and treated mice. Oxaliplatin influences the TIME by increasing immune cells infiltration, including CD3 T cells, CD4 T cells, CD8 T cells, dendritic cells (DC cells) and natural killer cells (NK cells). As for infiltrating cells, oxaliplatin upregulated the expression of CD134 and downregulated TIM-3 of CD4 T cells, downregulated the PD-L1 expression of DC cells, which contributed to improve the anti-tumor effect and the treatment response of ICIs. Additionally, the evaluation of PBMC found that there were no significant changes in immune cell subsets and phenotypes, which validated the safety of the combination therapy. These results show the therapeutic potential for the combination of OXP and anti-PD-1 inhibitor in BLCA.
OXP could increase the infiltration of immune cells in TIME to promote the anti-tumor activity of anti-PD-1 inhibitor. The present research provided an appropriate rationale of combination chemotherapy and immunotherapy therapy for BLCA.
膀胱癌(BLCA)是一种高度恶性的泌尿系统肿瘤,但基于当前的治疗策略,其预后和生存率几乎没有改善。免疫检查点抑制剂(ICIs)治疗彻底改变了 BLCA 的治疗方法,但 ICIs 的临床应用受到低反应率的限制。奥沙利铂(OXP)是 BLCA 的二线化疗药物,可能重塑肿瘤免疫微环境(TIME),招募免疫细胞。在这里,我们在 BLCA 小鼠模型中进行了奥沙利铂联合抗 PD-1 抑制剂的研究。
使用 6-8 周龄雌性 C57BL/6J 小鼠建立膀胱癌皮下模型。肿瘤发展后,小鼠尾静脉注射 PBS 或奥沙利铂(2.5mg/kg)和/或抗 PD-1 抗体(10mg/kg)。收集肿瘤组织样本和外周血单核细胞(PBMC),系统评估联合 OXP 和抗 PD-1 抑制剂的疗效和安全性。流式细胞术分析 TIME 和 PBMC 中免疫细胞群体的变化及其相应的表型多样性。
肿瘤生长实验表明联合治疗比单独用药更有效。肿瘤样本的流式细胞术分析显示,未经处理和处理的小鼠之间存在显著差异。奥沙利铂通过增加免疫细胞浸润来影响 TIME,包括 CD3 T 细胞、CD4 T 细胞、CD8 T 细胞、树突状细胞(DC 细胞)和自然杀伤细胞(NK 细胞)。对于浸润细胞,奥沙利铂上调 CD4 T 细胞的 CD134 表达,下调 DC 细胞的 TIM-3 表达,从而提高了抗肿瘤作用和 ICI 的治疗反应。此外,PBMC 的评估发现免疫细胞亚群和表型没有明显变化,验证了联合治疗的安全性。这些结果表明 OXP 和抗 PD-1 抑制剂联合治疗 BLCA 具有治疗潜力。
奥沙利铂可增加 TIME 中免疫细胞的浸润,促进抗 PD-1 抑制剂的抗肿瘤活性。本研究为 BLCA 的联合化疗和免疫治疗提供了合理的依据。