Suppr超能文献

发作性头痛、眶周疼痛及多灶性感觉异常作为中枢神经细胞瘤的首发症状:一例报告

Episodic Headache, Periorbital Pain, and Multifocal Paresthesias as Presenting Symptoms of Central Neurocytoma: A Case Report.

作者信息

Dharmasaroja Permphan

机构信息

Chakri Naruebodindra Medical Institute, Faculty of Medicine Ramathibodi Hospital, Mahidol University, Samut Prakan, THA.

出版信息

Cureus. 2023 Feb 22;15(2):e35334. doi: 10.7759/cureus.35334. eCollection 2023 Feb.

Abstract

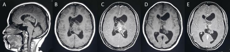
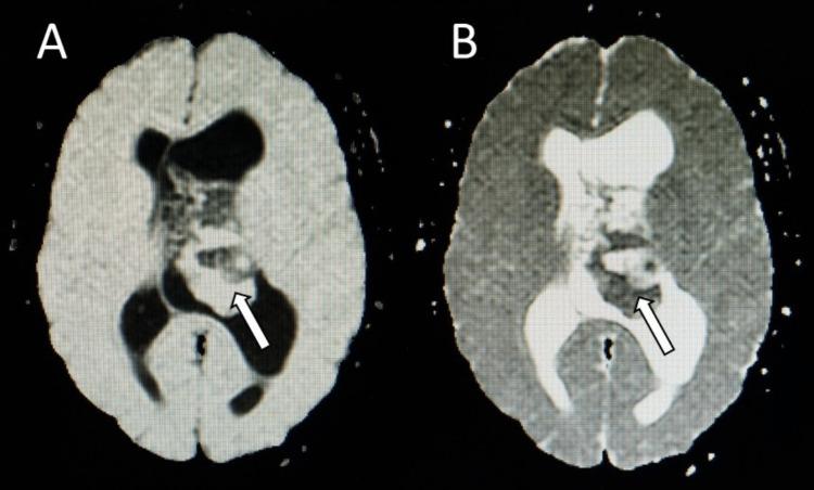
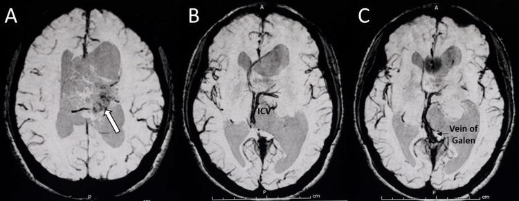
Central neurocytoma (CN) is a rare intraventricular tumor. The common presenting symptoms of CN are headache, vomiting, and visual disturbance, which results from increased intracranial pressure. This report presents a case of CN with unusual clinical presentations. A 25-year-old female with CN presented with a one-day history of unilateral headache, ipsilateral periorbital pain, multifocal paresthesias, and vomiting. Magnetic resonance images showed an intraventricular mass with a soap-bubble appearance and numerous cystic areas typical for CN, causing obstructive hydrocephalus and a midline shift. After one night of rest, her headache, periorbital pain, and paresthesias disappeared. It is possible that the tumor could be mobile with regard to the patient's head position, causing occasional obstruction of the foramen of Monro. Due to the tumor size, which was larger than 4 centimeters, the surgical approach with either gross tumor resection or subtotal resection plus adjuvant radiotherapy should be carefully considered.

摘要

中枢神经细胞瘤(CN)是一种罕见的脑室内肿瘤。CN的常见症状为头痛、呕吐和视觉障碍,这些症状由颅内压升高引起。本报告介绍了一例具有不寻常临床表现的CN病例。一名患有CN的25岁女性,有一天的单侧头痛、同侧眶周疼痛、多灶性感觉异常和呕吐病史。磁共振成像显示脑室内有一个呈肥皂泡样外观且有许多典型CN囊性区域的肿块,导致梗阻性脑积水和中线移位。经过一晚休息后,她的头痛、眶周疼痛和感觉异常消失了。肿瘤可能会随着患者头部位置移动,偶尔阻塞Monro孔。鉴于肿瘤大小超过4厘米,应仔细考虑采用肿瘤全切或次全切除加辅助放疗的手术方法。

https://cdn.ncbi.nlm.nih.gov/pmc/blobs/8bc5/10039140/4ddecc8fe014/cureus-0015-00000035334-i01.jpg

文献检索

告别复杂PubMed语法,用中文像聊天一样搜索,搜遍4000万医学文献。AI智能推荐,让科研检索更轻松。

立即免费搜索

文件翻译

保留排版,准确专业,支持PDF/Word/PPT等文件格式,支持 12+语言互译。

免费翻译文档

深度研究

AI帮你快速写综述,25分钟生成高质量综述,智能提取关键信息,辅助科研写作。

立即免费体验