Suppr超能文献

小儿亚急性西摩骨折的缝线固定术

Suture Fixation of Subacute Pediatric Seymour Fractures.

作者信息

Englert Ethan Graham, Tooley Trevor, Weisz Kevin, Shapiro Paul

机构信息

Department of Orthopaedic Surgery, Beaumont Hospital, Royal Oak, MI.

出版信息

J Hand Surg Glob Online. 2022 Dec 7;5(2):231-233. doi: 10.1016/j.jhsg.2022.10.013. eCollection 2023 Mar.

Abstract

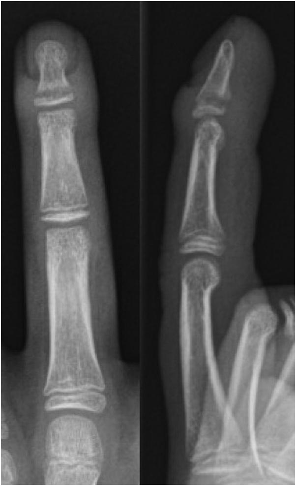
Seymour fractures are common injuries in the pediatric population. High rates of deep infection have been reported due to delayed presentation and subsequent treatment. This report describes the case of a 13-year-old male wrestler who presented 1 month after a finger injury that was later diagnosed as a subacute Seymour fracture with osteomyelitis. The patient underwent irrigation and debridement and fracture reduction stabilized with nonabsorbable suture fixation. After 6 weeks of intravenous antibiotics, the patient was recovering well, with radiographic evidence of fracture healing and clearance of infection. This case highlights the use of a single suture as a treatment option for fixation of unstable Seymour fractures with delayed presentation. The management of acute open distal phalangeal physeal fractures is well described in the literature; however, further investigations are warranted into the optimal management of chronically infected digits with unstable Seymour fractures.

摘要

西摩骨折是儿科人群中的常见损伤。据报道,由于就诊延迟和后续治疗,深部感染发生率很高。本报告描述了一名13岁男性摔跤运动员的病例,他在手指受伤1个月后就诊,后来被诊断为亚急性西摩骨折并伴有骨髓炎。患者接受了冲洗和清创,并采用不可吸收缝线固定稳定骨折复位。静脉注射抗生素6周后,患者恢复良好,有骨折愈合和感染清除的影像学证据。该病例强调了使用单根缝线作为延迟就诊的不稳定西摩骨折固定的一种治疗选择。文献中对急性开放性远端指骨骨骺骨折的处理有详细描述;然而,对于慢性感染且伴有不稳定西摩骨折的手指的最佳处理方法,仍需进一步研究。

https://cdn.ncbi.nlm.nih.gov/pmc/blobs/1d03/10039310/f568dc78e53a/gr1.jpg

文献检索

告别复杂PubMed语法,用中文像聊天一样搜索,搜遍4000万医学文献。AI智能推荐,让科研检索更轻松。

立即免费搜索

文件翻译

保留排版,准确专业,支持PDF/Word/PPT等文件格式,支持 12+语言互译。

免费翻译文档

深度研究

AI帮你快速写综述,25分钟生成高质量综述,智能提取关键信息,辅助科研写作。

立即免费体验