• 文献检索
  • 文档翻译
  • 深度研究
  • 学术资讯
  • Suppr Zotero 插件Zotero 插件
  • 邀请有礼
  • 套餐&价格
  • 历史记录
应用&插件
Suppr Zotero 插件Zotero 插件浏览器插件Mac 客户端Windows 客户端微信小程序
定价
高级版会员购买积分包购买API积分包
服务
文献检索文档翻译深度研究API 文档MCP 服务
关于我们
关于 Suppr公司介绍联系我们用户协议隐私条款
关注我们

Suppr 超能文献

核心技术专利:CN118964589B侵权必究
粤ICP备2023148730 号-1Suppr @ 2026

文献检索

告别复杂PubMed语法,用中文像聊天一样搜索,搜遍4000万医学文献。AI智能推荐,让科研检索更轻松。

立即免费搜索

文件翻译

保留排版,准确专业,支持PDF/Word/PPT等文件格式,支持 12+语言互译。

免费翻译文档

深度研究

AI帮你快速写综述,25分钟生成高质量综述,智能提取关键信息,辅助科研写作。

立即免费体验

先天性近侧桡尺骨融合症的精英运动员病例报告

Congenital Proximal Radioulnar Synostosis in an Elite Athlete-Case Report.

机构信息

Second Department of Orthopedy and Traumatology, Faculty of Medicine, Comenius University in Bratislava and University Hospital Bratislava, 85107 Bratislava, Slovakia.

Institute of Medical Biology, Genetics and Clinical Genetics, Faculty of Medicine, Comenius University in Bratislava and University Hospital Bratislava, 81108 Bratislava, Slovakia.

出版信息

Medicina (Kaunas). 2023 Mar 8;59(3):531. doi: 10.3390/medicina59030531.

DOI:10.3390/medicina59030531
PMID:36984532
原文链接:https://pmc.ncbi.nlm.nih.gov/articles/PMC10057397/
Abstract

: Proximal radioulnar synostosis (PRUS) is the most frequent congenital forearm disorder, although the prevalence in the general population is rare with a few hundred cases reported. Pfeiffer, Poland, Holt-Oram, and other serious congenital syndromes contain this abnormality. Non-syndromic cases with isolated PRUS very often exhibit as SMAD6, NOG genes variants, or sex chromosome aneuploidy. A subgroup of patients with haematological abnormalities presents with HOXA11 or MECOM genes variants. We present a non-syndromic adult elite ice-hockey player with unilateral proximal radioulnar synostosis of the left forearm. In early childhood he was able to handle the hockey stick only as a right-handed player and the diagnosis was set later at the age of 8 years due to lack of supination. Cleary-Omer Type III PRUS was found on x-ray with radial head hypoplasia and mild osteophytic degenerative changes of humeroulnar joint. Since the condition had minimal impact on sports activities, surgical intervention was not considered. The player continued his ice-hockey career at the top level and joined a national team for top tournaments. Upper extremity function assessment with questionnaires and physical testing resulted in minimal impairment. The most compromised tool was the Failla score with 10 points from a total of 15. Genetic testing with Sanger sequencing revealed no significant pathogenic variant in and genes. No potentially pathogenic copy number variants were detected by array-based comparative genomic hybridization. In the reported case, the ability of an athlete to deal with an anatomic variant limiting the forearm supination is demonstrated. Nowadays, a comprehensive approach to rule out more complex musculoskeletal impairment and family burden is made possible by evolving genetics.

摘要

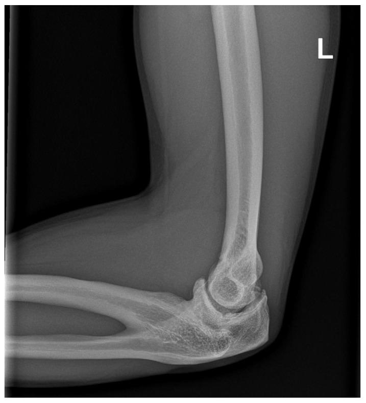
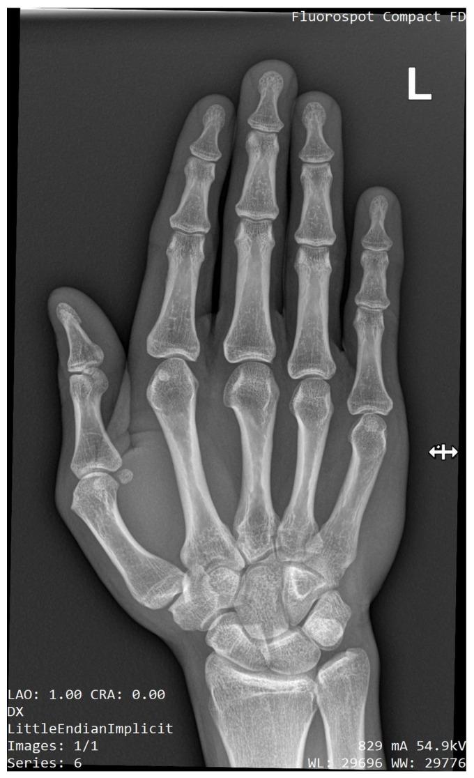
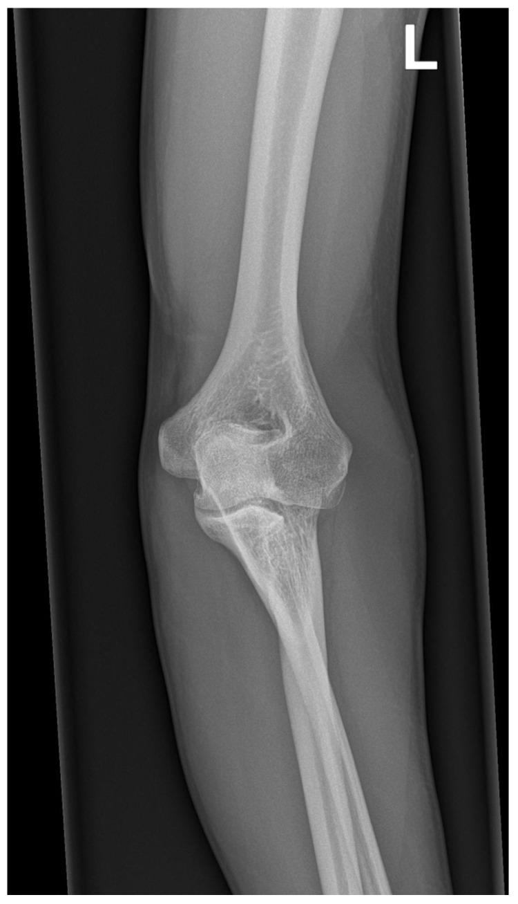
近侧桡尺骨融合(PRUS)是最常见的先天性前臂疾病,尽管其在普通人群中的患病率较低,仅有数百例报道。Pfeiffer、Poland、Holt-Oram 和其他严重的先天性综合征都包含这种异常。非综合征性病例中,孤立的 PRUS 常与 SMAD6、NOG 基因变异或性染色体非整倍体有关。一小部分伴有血液学异常的患者表现为 HOXA11 或 MECOM 基因变异。我们报告了一名非综合征性成年冰球精英运动员,其左侧前臂存在单侧近侧桡尺骨融合。在幼儿时期,他只能像右撇子一样使用曲棍球棒,并且由于缺乏旋后,直到 8 岁才确诊。X 光片显示为 Cleary-Omer Ⅲ型 PRUS,伴有桡骨头发育不良和肱尺关节轻度骨赘退行性变。由于该病症对体育活动的影响极小,因此未考虑手术干预。该运动员继续在顶级水平上从事冰球运动,并加入了国家队参加顶级比赛。问卷调查和体格检查上肢功能评估结果显示,损伤极小。受影响最大的工具是 Failla 评分,总分为 15 分,得分为 10 分。Sanger 测序的基因检测未发现 和 基因中有意义的致病性变异。通过基于阵列的比较基因组杂交未检测到潜在致病性拷贝数变异。在报告的病例中,运动员有能力应对限制前臂旋后功能的解剖变异。如今,通过不断发展的遗传学,可以全面排除更复杂的肌肉骨骼损伤和家族负担。

https://cdn.ncbi.nlm.nih.gov/pmc/blobs/9f87/10057397/93367979f741/medicina-59-00531-g005.jpg
https://cdn.ncbi.nlm.nih.gov/pmc/blobs/9f87/10057397/71be68aaea4a/medicina-59-00531-g001.jpg
https://cdn.ncbi.nlm.nih.gov/pmc/blobs/9f87/10057397/2f07f3559467/medicina-59-00531-g002.jpg
https://cdn.ncbi.nlm.nih.gov/pmc/blobs/9f87/10057397/fee2a2ea36b5/medicina-59-00531-g003.jpg
https://cdn.ncbi.nlm.nih.gov/pmc/blobs/9f87/10057397/3ed7ab773969/medicina-59-00531-g004.jpg
https://cdn.ncbi.nlm.nih.gov/pmc/blobs/9f87/10057397/93367979f741/medicina-59-00531-g005.jpg
https://cdn.ncbi.nlm.nih.gov/pmc/blobs/9f87/10057397/71be68aaea4a/medicina-59-00531-g001.jpg
https://cdn.ncbi.nlm.nih.gov/pmc/blobs/9f87/10057397/2f07f3559467/medicina-59-00531-g002.jpg
https://cdn.ncbi.nlm.nih.gov/pmc/blobs/9f87/10057397/fee2a2ea36b5/medicina-59-00531-g003.jpg
https://cdn.ncbi.nlm.nih.gov/pmc/blobs/9f87/10057397/3ed7ab773969/medicina-59-00531-g004.jpg
https://cdn.ncbi.nlm.nih.gov/pmc/blobs/9f87/10057397/93367979f741/medicina-59-00531-g005.jpg

相似文献

1
Congenital Proximal Radioulnar Synostosis in an Elite Athlete-Case Report.先天性近侧桡尺骨融合症的精英运动员病例报告
Medicina (Kaunas). 2023 Mar 8;59(3):531. doi: 10.3390/medicina59030531.
2
Congenital unilateral proximal radioulnar synostosis: A surgical case report.先天性单侧近端桡尺关节融合:一例手术病例报告。
Medicine (Baltimore). 2020 Apr;99(16):e19782. doi: 10.1097/MD.0000000000019782.
3
Long-term results after a free vascularized adipofascial graft for congenital proximal radioulnar synostosis with an average follow-up of 10 years: a series of four cases.游离带血管蒂脂肪筋膜移植治疗先天性近端桡尺关节融合的长期结果:平均随访10年的4例病例系列
J Shoulder Elbow Surg. 2016 Aug;25(8):1258-67. doi: 10.1016/j.jse.2016.04.009.
4
Results of single-staged rotational osteotomy in a child with congenital proximal radioulnar synostosis: subjective and objective evaluation.先天性近端桡尺关节融合患儿单阶段旋转截骨术的结果:主观和客观评估
J Pediatr Orthop. 2014 Jan;34(1):63-9. doi: 10.1097/BPO.0b013e3182a00890.
5
[Treatment of congenital radioulnar synostosis with radial derotational osteotomy and local subcutaneous pedicled fat flap filling in fusion area].桡骨旋转截骨术联合局部带蒂皮下脂肪瓣填充融合区治疗先天性桡尺骨融合
Zhongguo Xiu Fu Chong Jian Wai Ke Za Zhi. 2020 Jul 15;34(7):820-825. doi: 10.7507/1002-1892.201911079.
6
Treatment of Congenital Radioulnar Synostosis Using a Free Vascularized Fascia Lata Graft.游离血管化阔筋膜瓣治疗先天性尺桡骨融合
Orthop Surg. 2022 Jun;14(6):1229-1234. doi: 10.1111/os.13226. Epub 2022 May 7.
7
Proximal radial diaphyseal segment resection for posttraumatic proximal radioulnar synostosis: a prospective study of 15 cases.创伤后近桡尺骨骨桥形成的近段桡骨干切除:15 例前瞻性研究。
J Shoulder Elbow Surg. 2014 Jun;23(6):855-60. doi: 10.1016/j.jse.2014.02.007. Epub 2014 Apr 24.
8
Efficacy and feasibility of proximal radioulnar derotational osteotomy and internal fixation for the treatment of congenital radioulnar synostosis.近端桡尺关节旋转截骨内固定术治疗先天性桡尺关节融合的疗效与可行性
J Orthop Surg Res. 2019 Mar 20;14(1):81. doi: 10.1186/s13018-019-1130-0.
9
SMAD6 is frequently mutated in nonsyndromic radioulnar synostosis.SMAD6 常发生突变导致非综合征性桡尺骨骨性连接。
Genet Med. 2019 Nov;21(11):2577-2585. doi: 10.1038/s41436-019-0552-8. Epub 2019 May 29.
10
Poland's syndrome concomitant with congenital proximal and distal radioulnar synostosis: A rare case report.波兰氏综合征合并先天性近段及远段尺桡骨融合:一例罕见病例报告。
Jt Dis Relat Surg. 2021;32(3):814-817. doi: 10.52312/jdrs.2021.100. Epub 2021 Nov 19.

引用本文的文献

1
Operative and non-operative treatment of congenital radio-ulnar synostosis in children: Results from a multicenter study.儿童先天性桡尺骨融合的手术与非手术治疗:一项多中心研究的结果
J Child Orthop. 2025 Jun 9:18632521251322677. doi: 10.1177/18632521251322677.
2
Functional Assessment of Congenital Radioulnar Synostosis in Children.儿童先天性桡尺骨融合的功能评估
Avicenna J Med. 2025 Feb 21;15(1):24-28. doi: 10.1055/s-0045-1802671. eCollection 2025 Jan.
3
A De Novo 8q22.2q22.3 Interstitial Microdeletion in a Girl with Developmental Delay and Congenital Defects.

本文引用的文献

1
Treatment of Congenital Radioulnar Synostosis Using a Free Vascularized Fascia Lata Graft.游离血管化阔筋膜瓣治疗先天性尺桡骨融合
Orthop Surg. 2022 Jun;14(6):1229-1234. doi: 10.1111/os.13226. Epub 2022 May 7.
2
Derotational Osteotomy and Plate Fixation of the Radius and Ulna for the Treatment of Congenital Proximal Radioulnar Synostosis.桡骨和尺骨旋转截骨术及钢板固定治疗先天性近端桡尺关节融合
Front Surg. 2022 Apr 13;9:888916. doi: 10.3389/fsurg.2022.888916. eCollection 2022.
3
An anatomical classification of congenital proximal radioulnar synostosis based on retrospective MRI measurement combined with radiography.
一例患有发育迟缓及先天性缺陷女孩的 8q22.2q22.3 区新发片段缺失
Medicina (Kaunas). 2023 Jun 15;59(6):1156. doi: 10.3390/medicina59061156.
基于回顾性 MRI 测量与影像学相结合的先天性近侧桡尺骨融合的解剖学分类。
Sci Rep. 2022 Apr 21;12(1):6585. doi: 10.1038/s41598-022-09411-6.
4
MECOM-related disorder: Radioulnar synostosis without hematological aberration due to unique variants.MECOM 相关疾病:独特变异导致的无血液学异常的桡尺骨融合
Genet Med. 2022 May;24(5):1139-1147. doi: 10.1016/j.gim.2022.01.021. Epub 2022 Feb 24.
5
A genotype and phenotype analysis of SMAD6 mutant patients with radioulnar synostosis.SMAD6 突变型桡尺骨融合症患者的基因型和表型分析。
Mol Genet Genomic Med. 2022 Jan;10(1):e1850. doi: 10.1002/mgg3.1850. Epub 2021 Dec 24.
6
Poland's syndrome concomitant with congenital proximal and distal radioulnar synostosis: A rare case report.波兰氏综合征合并先天性近段及远段尺桡骨融合:一例罕见病例报告。
Jt Dis Relat Surg. 2021;32(3):814-817. doi: 10.52312/jdrs.2021.100. Epub 2021 Nov 19.
7
Results after treatment of congenital radioulnar synostosis: a systematic review and pooled data analysis.先天性尺桡骨融合症治疗后的结果:系统评价和汇总数据分析。
J Pediatr Orthop B. 2021 Nov 1;30(6):593-600. doi: 10.1097/BPB.0000000000000841.
8
Congenital radioulnar synostosis presenting in adulthood - a case report.成年期出现的先天性桡尺骨融合——病例报告
Pan Afr Med J. 2020 Jun 9;36:75. doi: 10.11604/pamj.2020.36.75.21413. eCollection 2020.
9
SMAD6 variants in craniosynostosis: genotype and phenotype evaluation.SMAD6 变异与颅缝早闭:基因型与表型评估。
Genet Med. 2020 Sep;22(9):1498-1506. doi: 10.1038/s41436-020-0817-2. Epub 2020 Jun 5.
10
Evaluation and Management of Hand, Wrist and Elbow Injuries in Ice Hockey.冰球运动中手、腕和肘部损伤的评估与管理
Open Access J Sports Med. 2020 Apr 28;11:93-103. doi: 10.2147/OAJSM.S246414. eCollection 2020.