Suppr超能文献

克罗恩病患者的小肠腺癌:气囊辅助小肠镜检查的作用

Small Bowel Adenocarcinoma in a Patient with Crohn's Disease: The Role of Balloon-Assisted Enteroscopy.

作者信息

Dias Emanuel, Mascarenhas Saraiva Miguel, Moreira Francisco, Cardoso Hélder, Macedo Guilherme

机构信息

Gastroenterology Department, Centro Hospitalar de São João, Porto, Portugal.

Pathology Department, Centro Hospitalar de São João, Porto, Portugal.

出版信息

GE Port J Gastroenterol. 2022 Mar 30;30(2):141-146. doi: 10.1159/000520906. eCollection 2023 Mar.

Abstract

INTRODUCTION

Small bowel adenocarcinoma is a rare but well-known complication of Crohn's disease. Diagnosis can be challenging, as clinical presentation may mimic an exacerbation of Crohn's disease and imaging findings may be indistinguishable from benign strictures. The result is that the majority of cases are diagnosed at the time of operation or postoperatively at an advanced stage.

CASE PRESENTATION

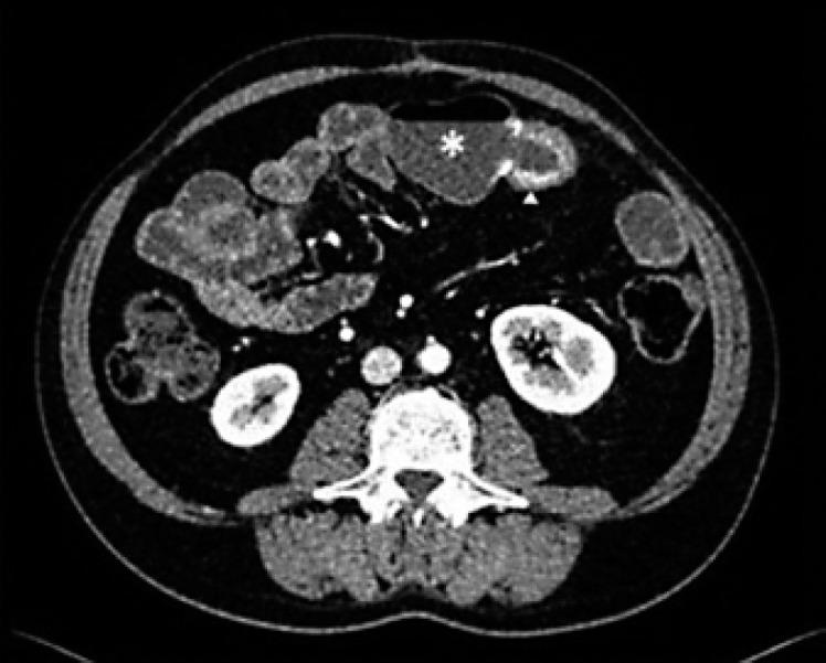
A 48-year-old male with a previous 20-year history of ileal stenosing Crohn's disease presented with iron deficiency anemia. The patient reported melena approximately 1 month earlier but was currently asymptomatic. There were no other laboratory abnormalities. Anemia was refractory to intravenous iron replacement. The patient underwent computerized tomography enterography, which revealed multiple ileal strictures with features suggesting underlying inflammation and an area of sacculation with circumferential thickening of adjacent bowel loops. Therefore, the patient underwent retrograde balloon-assisted small bowel enteroscopy, where an area of irregular mucosa and ulceration was found at the region of ileo-ileal anastomosis. Biopsies were performed and histopathological examination revealed tubular adenocarcinoma infiltrating the muscularis mucosae. The patient underwent right hemicolectomy plus segmental enterectomy of the anastomotic region where the neoplasia was located. After 2 months, he is asymptomatic and there is no evidence of recurrence.

DISCUSSION

This case demonstrates that small bowel adenocarcinoma may have a subtle clinical presentation and that computed tomography enterography may not be accurate enough to distinguish benign from malignant strictures. Clinicians must, therefore, maintain a high index of suspicion for this complication in patients with long-standing small bowel Crohn's disease. In this setting, balloon-assisted enteroscopy may be a useful tool when there is raised concern for malignancy, and it is expected that its more widespread use could contribute to an earlier diagnosis of this severe complication.

摘要

引言

小肠腺癌是克罗恩病一种罕见但广为人知的并发症。诊断颇具挑战性,因为临床表现可能类似克罗恩病的加重,影像学表现可能与良性狭窄难以区分。结果是大多数病例在手术时或术后晚期才被诊断出来。

病例介绍

一名48岁男性,有20年回肠狭窄性克罗恩病病史,因缺铁性贫血就诊。患者报告大约1个月前有黑便,但目前无症状。无其他实验室异常。静脉补铁治疗后贫血仍难以纠正。患者接受了计算机断层扫描小肠造影,结果显示多个回肠狭窄,特征提示潜在炎症,还有一个囊袋状区域,相邻肠袢周向增厚。因此,患者接受了逆行气囊辅助小肠镜检查,在回肠 - 回肠吻合区域发现一处不规则黏膜和溃疡区域。进行了活检,组织病理学检查显示管状腺癌浸润黏膜肌层。患者接受了右半结肠切除术加肿瘤所在吻合区域的节段性肠切除术。2个月后,他无症状,无复发迹象。

讨论

本病例表明小肠腺癌的临床表现可能较为隐匿,计算机断层扫描小肠造影可能不足以准确区分良性和恶性狭窄。因此,临床医生对于患有长期小肠克罗恩病的患者必须对这种并发症保持高度怀疑。在这种情况下,当怀疑有恶性肿瘤时,气囊辅助小肠镜检查可能是一种有用的工具,预计其更广泛的应用有助于更早诊断这种严重并发症。

https://cdn.ncbi.nlm.nih.gov/pmc/blobs/240a/10050865/b36b9689b8fd/pjg-0030-0141-g01.jpg

文献AI研究员

20分钟写一篇综述,助力文献阅读效率提升50倍。

立即体验

用中文搜PubMed

大模型驱动的PubMed中文搜索引擎

马上搜索

文档翻译

学术文献翻译模型,支持多种主流文档格式。

立即体验