Suppr超能文献

T1a期病变广泛局部切除术后恶性黑色素瘤所致腹膜癌:一例报告

Peritoneal Carcinomatosis From Malignant Melanoma After Wide Local Excision of a T1a Lesion: A Case Report.

作者信息

Hager Matthew, Miller John, Wegener Adam, Yon James

机构信息

General Surgery, Novant Health New Hanover Regional Medical Center, Wilmington, USA.

出版信息

Cureus. 2023 Mar 3;15(3):e35730. doi: 10.7759/cureus.35730. eCollection 2023 Mar.

Abstract

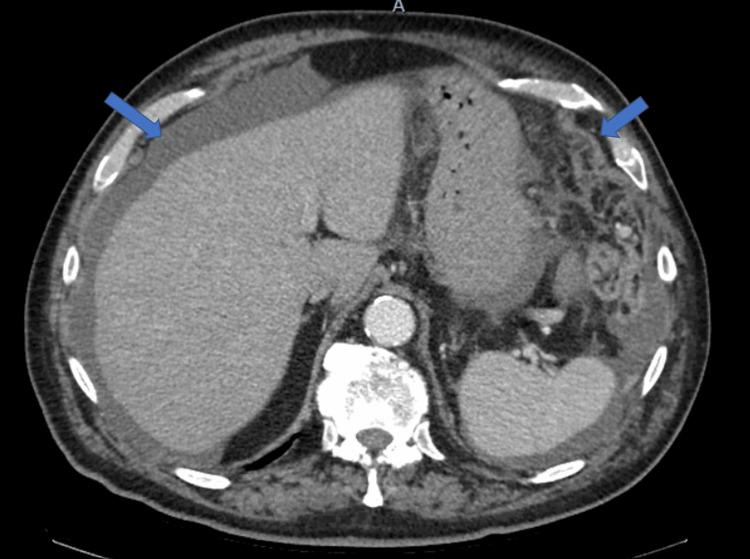
Cutaneous melanoma is an aggressive skin cancer with a high propensity for distant metastasis. Peritoneal metastasis from cutaneous malignant melanoma is extremely rare and associated with a low five-year overall survival rate. This report reviews a case of a 78-year-old man with peritoneal carcinomatosis after a wide local excision of a T1a invasive malignant melanoma of the scalp 10 months prior. Although rare, patients with a recent history of melanoma who present with obscure or odd symptoms should be worked up for metastatic disease by their surgeon or medical oncologist. Carcinomatosis can develop, and early treatment with immunotherapy has been shown to improve five-year overall survival and progression-free survival in patients with advanced melanoma.

摘要

皮肤黑色素瘤是一种侵袭性皮肤癌,极易发生远处转移。皮肤恶性黑色素瘤的腹膜转移极为罕见,且五年总生存率较低。本报告回顾了一例78岁男性病例,该患者在10个月前对头皮T1a期侵袭性恶性黑色素瘤进行广泛局部切除后发生了腹膜癌转移。尽管罕见,但有黑色素瘤近期病史且出现不明或异常症状的患者,外科医生或医学肿瘤学家应排查其是否患有转移性疾病。腹膜癌转移可能会发生,免疫疗法早期治疗已被证明可提高晚期黑色素瘤患者的五年总生存率和无进展生存率。

https://cdn.ncbi.nlm.nih.gov/pmc/blobs/564d/10066932/707402760774/cureus-0015-00000035730-i01.jpg

文献AI研究员

20分钟写一篇综述,助力文献阅读效率提升50倍。

立即体验

用中文搜PubMed

大模型驱动的PubMed中文搜索引擎

马上搜索

文档翻译

学术文献翻译模型,支持多种主流文档格式。

立即体验