Suppr超能文献

房间隔缺损封堵器晚期栓塞的新病因

Novel Cause of Late Atrial Septal Defect Devices Embolization.

作者信息

Ba-Atiyah Wejdan, Gabel Hala, Jamjoom Ahmad, Al-Ata Jameel

机构信息

Pediatric Cardiology, KFSH&RC - Jeddah, Jeddah, Saudi Arabia.

Pediatric Cardiology, KAUH, East Jeddah General Hospital, Jeddah, Saudi Arabia.

出版信息

J Saudi Heart Assoc. 2023 Mar 13;35(1):50-54. doi: 10.37616/2212-5043.1330. eCollection 2023.

Abstract

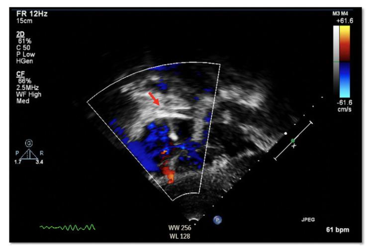
Transcatheter closure of septal defects using specialized devices is a common procedure that has a high success rate. Embolization of Atrial septal defect devices is a known complication seen at a rate of 0.5%. We report a case of late ASD device occluder embolization immediately after brain MRI with clinical consequences and intraoperative evidence of right atrial wall thermal injury. To our knowledge Atrial septal occluder (ASO) device embolization post magnetic resonance imaging (MRI) was not reported before, although theoretically possible and that's why six to eight weeks post device implantation MRI is prohibited even with current MRI compatible devices.

摘要

使用专门装置经导管闭合间隔缺损是一种成功率很高的常见手术。房间隔缺损装置的栓塞是一种已知并发症,发生率为0.5%。我们报告一例在脑部MRI检查后立即发生的晚期房间隔缺损装置封堵器栓塞病例,该病例产生了临床后果,术中发现右心房壁有热损伤迹象。据我们所知,尽管理论上有可能,但此前尚未有磁共振成像(MRI)后房间隔封堵器(ASO)装置栓塞的报道,这就是为什么即使使用目前与MRI兼容的装置,在装置植入后六至八周内仍禁止进行MRI检查。

https://cdn.ncbi.nlm.nih.gov/pmc/blobs/bf8f/10069705/09dfa5ba1c4b/sha50-54f1.jpg

相似文献

1
Novel Cause of Late Atrial Septal Defect Devices Embolization.
J Saudi Heart Assoc. 2023 Mar 13;35(1):50-54. doi: 10.37616/2212-5043.1330. eCollection 2023.
5
Transcatheter Device Closure of Secundum Atrial Septal Defect in Adult Patient.
Acta Inform Med. 2021 Mar;29(1):65-68. doi: 10.5455/aim.2021.29.65-70.
6
Transcatheter closure of atrial septal defect with the Figulla(®) ASD Occluder: a comparative study with the Amplatzer(®) Septal Occluder.
Arch Cardiovasc Dis. 2015 Jan;108(1):57-63. doi: 10.1016/j.acvd.2014.09.005. Epub 2014 Nov 11.
8
Embolization of an Atrial Septal Defect Occluder Device Into the Left Ventricle.
Cureus. 2020 Nov 10;12(11):e11417. doi: 10.7759/cureus.11417.
9
10
Efficacy and safety of atrial septal defect closure using Occlutech Figulla Flex II compared with Amplatzer Septal Occluder.
Heart Vessels. 2021 May;36(5):704-709. doi: 10.1007/s00380-020-01739-1. Epub 2021 Jan 2.

本文引用的文献

1
Device Embolization in Structural Heart Interventions: Incidence, Outcomes, and Retrieval Techniques.
JACC Cardiovasc Interv. 2019 Jan 28;12(2):113-126. doi: 10.1016/j.jcin.2018.08.033.
2
Recent review of transcatheter closure of atrial septal defect.
Kaohsiung J Med Sci. 2018 Jul;34(7):363-369. doi: 10.1016/j.kjms.2018.05.001. Epub 2018 May 30.
3
Safety of magnetic resonance imaging in patients with implanted cardiac prostheses and metallic cardiovascular electronic devices.
Ann Thorac Surg. 2011 Jun;91(6):2006-11. doi: 10.1016/j.athoracsur.2011.02.068. Epub 2011 Apr 30.
5
Cardiac magnetic resonance imaging: patient safety considerations.
Phys Med. 2005 January-March;21(1):5-13. doi: 10.1016/S1120-1797(05)80014-6.
7
Embolization and retrieval of the Amplatzer septal occluder.
Catheter Cardiovasc Interv. 2004 Apr;61(4):543-7. doi: 10.1002/ccd.20011.
8
Transcatheter closure of atrial septal defect in young children: results and follow-up.
J Am Coll Cardiol. 2003 Jul 16;42(2):241-5. doi: 10.1016/s0735-1097(03)00589-8.

文献AI研究员

20分钟写一篇综述,助力文献阅读效率提升50倍。

立即体验

用中文搜PubMed

大模型驱动的PubMed中文搜索引擎

马上搜索

文档翻译

学术文献翻译模型,支持多种主流文档格式。

立即体验