Suppr超能文献

胶原性口炎性腹泻:水样腹泻和绒毛萎缩的罕见病因——病例报告

Collagenous sprue: a rare cause of watery diarrhea and villous atrophy - case report.

作者信息

Fernandes Luís, Machado Bárbara, José Cruz António, Sarmento Gonçalo, Quelhas Costa Rita, Pereira Teresa, Scigliano Horácio, Cerqueira Rute

机构信息

Centro Hospitalar de Entre o Douro e Vouga, Santa Maria da Feira, Portugal.

出版信息

Gastroenterol Hepatol Bed Bench. 2023;16(1):532-538. doi: 10.22037/ghfbb.v16i1.2671.

Abstract

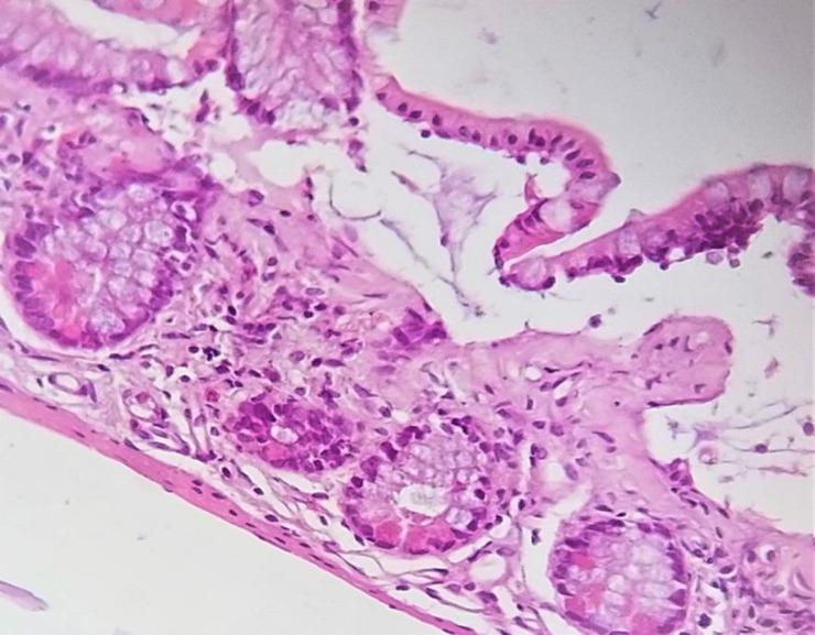
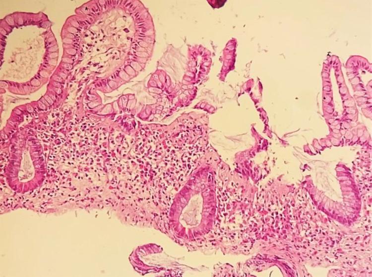
Collagenous sprue is a rare and unrecognized cause of diarrhea and weight loss, mainly affecting the duodenum and small bowel. The clinical picture often resembles that of coeliac sprue, the main differential diagnosis, albeit, being refractory to a gluten-free diet. The histological features are fundamentally characterized by the deposition of collagen beneath the basement membrane of gut mucosa. Treatment should be initiated as soon as the diagnosis is established, so as to prevent the progression of fibrosis. We will describe the case of a 76-year-old woman with collagenous sprue, her diagnostic workup, histopathological examination, and response to treatment.

摘要

胶原性口炎性腹泻是一种罕见且未被充分认识的导致腹泻和体重减轻的病因,主要累及十二指肠和小肠。临床表现常与乳糜泻相似,尽管其主要鉴别诊断是对无麸质饮食无效。组织学特征的基本表现是肠道黏膜基底膜下有胶原沉积。一旦确诊,应立即开始治疗,以防止纤维化进展。我们将描述一名76岁患有胶原性口炎性腹泻的女性病例,包括她的诊断检查、组织病理学检查以及对治疗的反应。

https://cdn.ncbi.nlm.nih.gov/pmc/blobs/c4c2/10105505/6a95d895501f/GHFBB-16-532-g001.jpg

文献AI研究员

20分钟写一篇综述,助力文献阅读效率提升50倍。

立即体验

用中文搜PubMed

大模型驱动的PubMed中文搜索引擎

马上搜索

文档翻译

学术文献翻译模型,支持多种主流文档格式。

立即体验