Suppr超能文献

诊断类别和内镜超声引导下胰腺病变细针穿刺活检样本病理诊断的关键特征:一项共识研究。

Diagnostic Categories and Key Features for Pathological Diagnosis of Endoscopic Ultrasound-Guided Fine Needle Aspiration Biopsy Samples of Pancreatic Lesions: A Consensus Study.

机构信息

From the Department of Clinical Laboratory Medicine, Kurume University Hospital, Fukuoka.

Department of Anatomic Pathology, Kurashiki Central Hospital, Okayama.

出版信息

Pancreas. 2022 Oct 1;51(9):1105-1111. doi: 10.1097/MPA.0000000000002179.

Abstract

OBJECTIVES

This study aimed to establish a reliable and reproducible categorized diagnostic classification system with identification of key features to achieve accurate pathological diagnosis of endoscopic ultrasound-guided fine needle aspiration biopsy (EUS-FNAB) samples of pancreatic lesions.

METHODS

Twelve pathologists examined virtual whole-slide images of EUS-FNAB samples obtained from 80 patients according to proposed diagnostic categories and key features for diagnosis. Fleiss κ was used to assess the concordance.

RESULTS

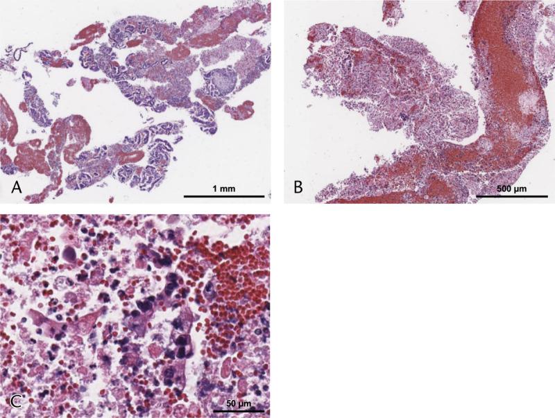
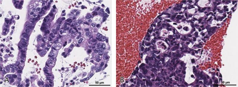
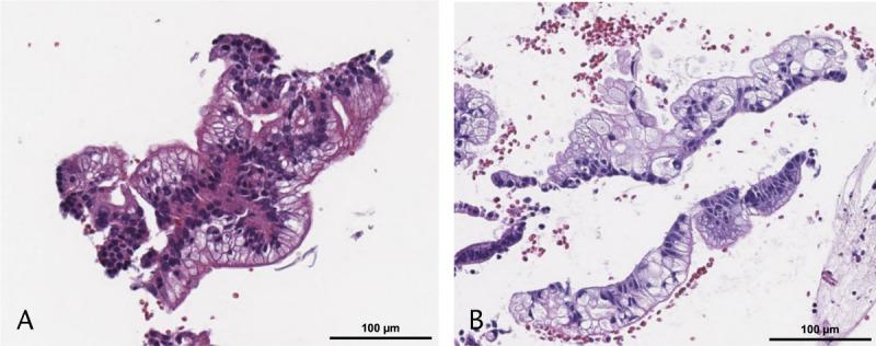
A hierarchical diagnostic system consisting of the following 6 diagnostic categories was proposed: inadequate, nonneoplasm, indeterminate, ductal carcinoma, nonductal neoplasm, and unclassified neoplasm. Adopting these categories, the average κ value of participants was 0.677 (substantial agreement). Among these categories, ductal carcinoma and nonductal neoplasm showed high κ values of 0.866 and 0.837, respectively, which indicated the almost perfect agreement. Key features identified for diagnosing ductal carcinoma were necrosis in low-power appearance; structural atypia/abnormalities recognized by irregular glandular contours, including cribriform and nonuniform shapes; cellular atypia, including enlarged nuclei, irregular nuclear contours, and foamy gland changes; and haphazard glandular arrangement and stromal desmoplasia.

CONCLUSIONS

The proposed hierarchical diagnostic classification system was proved to be useful for achieving reliable and reproducible diagnosis of EUS-FNAB specimens of pancreatic lesions based on evaluated histological features.

摘要

目的

本研究旨在建立一个可靠且可重现的分类诊断分类系统,并确定关键特征,以实现对胰腺病变内镜超声引导下细针抽吸活检(EUS-FNAB)样本的准确病理诊断。

方法

12 名病理学家根据提出的诊断类别和诊断关键特征,对 80 名患者的 EUS-FNAB 样本的虚拟全切片图像进行检查。采用 Fleiss κ 评估一致性。

结果

提出了一个由以下 6 个诊断类别组成的分层诊断系统:不充分、非肿瘤、不确定、导管癌、非导管肿瘤和未分类肿瘤。采用这些类别,参与者的平均κ值为 0.677(高度一致)。在这些类别中,导管癌和非导管肿瘤的κ值分别高达 0.866 和 0.837,表明几乎完全一致。诊断导管癌的关键特征包括低倍镜下的坏死;通过不规则腺体轮廓识别的结构异型性/异常,包括筛状和非均匀形状;细胞异型性,包括细胞核增大、不规则核轮廓和泡沫状腺改变;以及腺体排列杂乱和基质增生。

结论

所提出的分层诊断分类系统被证明可用于根据评估的组织学特征可靠且可重复地诊断胰腺病变的 EUS-FNAB 标本。

https://cdn.ncbi.nlm.nih.gov/pmc/blobs/cd19/10144294/09c7d6d3732b/pancreas-51-1105-g001.jpg

文献AI研究员

20分钟写一篇综述,助力文献阅读效率提升50倍。

立即体验

用中文搜PubMed

大模型驱动的PubMed中文搜索引擎

马上搜索

文档翻译

学术文献翻译模型,支持多种主流文档格式。

立即体验