• 文献检索
  • 文档翻译
  • 深度研究
  • 学术资讯
  • Suppr Zotero 插件Zotero 插件
  • 邀请有礼
  • 套餐&价格
  • 历史记录
应用&插件
Suppr Zotero 插件Zotero 插件浏览器插件Mac 客户端Windows 客户端微信小程序
定价
高级版会员购买积分包购买API积分包
服务
文献检索文档翻译深度研究API 文档MCP 服务
关于我们
关于 Suppr公司介绍联系我们用户协议隐私条款
关注我们

Suppr 超能文献

核心技术专利:CN118964589B侵权必究
粤ICP备2023148730 号-1Suppr @ 2026

文献检索

告别复杂PubMed语法,用中文像聊天一样搜索,搜遍4000万医学文献。AI智能推荐,让科研检索更轻松。

立即免费搜索

文件翻译

保留排版,准确专业,支持PDF/Word/PPT等文件格式,支持 12+语言互译。

免费翻译文档

深度研究

AI帮你快速写综述,25分钟生成高质量综述,智能提取关键信息,辅助科研写作。

立即免费体验

成人起病的朗格汉斯细胞组织细胞增多症——口腔中的“特洛伊木马”:一例罕见临床表现的病例报告

Adult-onset Langerhans cell histiocytosis - A Trojan horse of oral cavity: A case report with rare clinical presentation.

作者信息

Sanjay C J, Patil Karthikeya, Hegde Usha, Panda Romali

机构信息

Department of Oral Medicine and Radiology, JSS Dental College and Hospital, JSS Academy of Higher Education and Research (JSSAHE&R), Mysuru, Karnataka, India.

Department of Oral and Maxillofacial Pathology, JSS Dental College and Hospital, JSS Academy of Higher Education and Research (JSSAHE&R), Mysuru, Karnataka, India.

出版信息

J Oral Maxillofac Pathol. 2023 Feb;27(Suppl 1):S98-S103. doi: 10.4103/jomfp.jomfp_131_22. Epub 2023 Feb 4.

DOI:10.4103/jomfp.jomfp_131_22
PMID:37082276
原文链接:https://pmc.ncbi.nlm.nih.gov/articles/PMC10112703/
Abstract

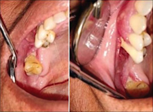
Langerhans cell histiocytosis (LCH), earlier recognised as histiocytosis X, is a rare haematological illness involving infants and young children. LCH is caused by unrestrained stimulation and proliferation of usual antigen presenting cells, Langerhans cells (LCs) and the disease demonstrates extensive clinical and radiographic features involving multiple sites. Since the incidence is relatively low limited data is available regarding the epidemiology of LCH, with approximation of 2-5 cases per million populations per year. LCH has male predilection with jaws involved in 10-20% cases and only 1% of the cases affecting maxilla, masquerading as periodontal or periapical pathology. We report a case of 48-year-old female with LCH involving posterior maxilla. This is a unique presentation corresponding to age, gender, location and severity. Dental clinicians should be aware of this and consider it to be a part of their differential diagnosis pertaining to unresolved periodontal pathology as it mimics clinically and radiographically.

摘要

朗格汉斯细胞组织细胞增多症(LCH),早期被称为组织细胞增多症X,是一种罕见的血液疾病,主要累及婴幼儿。LCH是由通常的抗原呈递细胞——朗格汉斯细胞(LCs)不受控制的刺激和增殖引起的,该疾病表现出涉及多个部位的广泛临床和影像学特征。由于发病率相对较低,关于LCH流行病学的可用数据有限,每年每百万人口中约有2 - 5例。LCH男性多见,10% - 20%的病例累及颌骨,仅占上颌骨病例的1%,常表现为牙周或根尖周病变。我们报告一例48岁女性LCH累及上颌后部的病例。这是一个在年龄、性别、部位和严重程度方面都很独特的表现。牙科临床医生应意识到这一点,并将其视为与未解决的牙周病变相关的鉴别诊断的一部分,因为它在临床和影像学上都有相似表现。

https://cdn.ncbi.nlm.nih.gov/pmc/blobs/245f/10112703/6d67be5661f6/JOMFP-27-98-g007.jpg
https://cdn.ncbi.nlm.nih.gov/pmc/blobs/245f/10112703/69c92f5313cb/JOMFP-27-98-g001.jpg
https://cdn.ncbi.nlm.nih.gov/pmc/blobs/245f/10112703/abfde63ba2b1/JOMFP-27-98-g002.jpg
https://cdn.ncbi.nlm.nih.gov/pmc/blobs/245f/10112703/12b711f4a0fb/JOMFP-27-98-g003.jpg
https://cdn.ncbi.nlm.nih.gov/pmc/blobs/245f/10112703/85fc72eb4c7b/JOMFP-27-98-g004.jpg
https://cdn.ncbi.nlm.nih.gov/pmc/blobs/245f/10112703/15ceb15f4b01/JOMFP-27-98-g005.jpg
https://cdn.ncbi.nlm.nih.gov/pmc/blobs/245f/10112703/14e43f6e1b16/JOMFP-27-98-g006.jpg
https://cdn.ncbi.nlm.nih.gov/pmc/blobs/245f/10112703/6d67be5661f6/JOMFP-27-98-g007.jpg
https://cdn.ncbi.nlm.nih.gov/pmc/blobs/245f/10112703/69c92f5313cb/JOMFP-27-98-g001.jpg
https://cdn.ncbi.nlm.nih.gov/pmc/blobs/245f/10112703/abfde63ba2b1/JOMFP-27-98-g002.jpg
https://cdn.ncbi.nlm.nih.gov/pmc/blobs/245f/10112703/12b711f4a0fb/JOMFP-27-98-g003.jpg
https://cdn.ncbi.nlm.nih.gov/pmc/blobs/245f/10112703/85fc72eb4c7b/JOMFP-27-98-g004.jpg
https://cdn.ncbi.nlm.nih.gov/pmc/blobs/245f/10112703/15ceb15f4b01/JOMFP-27-98-g005.jpg
https://cdn.ncbi.nlm.nih.gov/pmc/blobs/245f/10112703/14e43f6e1b16/JOMFP-27-98-g006.jpg
https://cdn.ncbi.nlm.nih.gov/pmc/blobs/245f/10112703/6d67be5661f6/JOMFP-27-98-g007.jpg

相似文献

1
Adult-onset Langerhans cell histiocytosis - A Trojan horse of oral cavity: A case report with rare clinical presentation.成人起病的朗格汉斯细胞组织细胞增多症——口腔中的“特洛伊木马”:一例罕见临床表现的病例报告
J Oral Maxillofac Pathol. 2023 Feb;27(Suppl 1):S98-S103. doi: 10.4103/jomfp.jomfp_131_22. Epub 2023 Feb 4.
2
Langerhans Cell Histiocytosis Mimicking Periapical Pathology in a 39-year-old Man.39 岁男性朗格汉斯细胞组织细胞增生症酷似根尖周病变
J Endod. 2017 Nov;43(11):1909-1914. doi: 10.1016/j.joen.2017.05.020. Epub 2017 Aug 30.
3
A rare and unusual case report of Langerhans cell histiocytosis.一例罕见的朗格汉斯细胞组织细胞增多症病例报告。
J Oral Maxillofac Pathol. 2017 Jan-Apr;21(1):140-144. doi: 10.4103/jomfp.JOMFP_10_17.
4
Outcome of Surgery as Sole Treatment of Eosinophilic Granuloma of Jaws.手术作为颌骨嗜酸性肉芽肿唯一治疗方法的疗效
J Dent (Shiraz). 2019 Sep;20(3):210-214. doi: 10.30476/DENTJODS.2019.44903.
5
Incidental finding of Langerhans cell histiocytosis of temporoparietal bone - A case report.颞顶骨朗格汉斯细胞组织细胞增多症的偶然发现——一例报告
Int J Surg Case Rep. 2021 Aug;85:106179. doi: 10.1016/j.ijscr.2021.106179. Epub 2021 Jul 7.
6
Langerhans cell histiocytosis of spine: a comparative study of clinical, imaging features, and diagnosis in children, adolescents, and adults.脊柱朗格汉斯细胞组织细胞增生症:儿童、青少年和成人的临床、影像特征及诊断的对比研究。
Spine J. 2013 Sep;13(9):1108-17. doi: 10.1016/j.spinee.2013.03.013. Epub 2013 Apr 18.
7
A rare occurrence of Langerhans cell histiocytosis in an adult.成人罕见的朗格汉斯细胞组织细胞增多症病例。
J Oral Maxillofac Pathol. 2014 Sep-Dec;18(3):415-9. doi: 10.4103/0973-029X.151335.
8
Oral Langerhans cell histiocytosis in Malaysian children: a 40-year experience.马来西亚儿童口腔朗格汉斯细胞组织细胞增多症:40年经验
Int J Paediatr Dent. 2009 Sep;19(5):349-53. doi: 10.1111/j.1365-263X.2009.00985.x. Epub 2009 Apr 16.
9
Craniofacial Langerhans Cell Histiocytosis: A Rare Case Report.颅面朗格汉斯细胞组织细胞增生症:一例罕见病例报告。
J Coll Physicians Surg Pak. 2021 Oct;31(10):1239-1241. doi: 10.29271/jcpsp.2021.10.1239.
10
Oral manifestations of Langerhans cell histiocytosis with unusual histomorphologic features.具有不寻常组织形态学特征的朗格汉斯细胞组织细胞增生症的口腔表现。
Ann Diagn Pathol. 2020 Aug;47:151536. doi: 10.1016/j.anndiagpath.2020.151536. Epub 2020 May 21.

引用本文的文献

1
Langerhans cell histiocytosis in an adult patient with upper jaw and pulmonary involvement: A case report.一名成年患者上颌骨和肺部受累的朗格汉斯细胞组织细胞增多症:病例报告。
Open Life Sci. 2025 Mar 28;20(1):20221022. doi: 10.1515/biol-2022-1022. eCollection 2025.

本文引用的文献

1
Langerhans Cell Histiocytosis Mimicking Periapical Pathology in a 39-year-old Man.39 岁男性朗格汉斯细胞组织细胞增生症酷似根尖周病变
J Endod. 2017 Nov;43(11):1909-1914. doi: 10.1016/j.joen.2017.05.020. Epub 2017 Aug 30.
2
Spontaneous remission of eosinophilic granuloma of the maxilla after incisional biopsy: a case report.上颌骨嗜酸性肉芽肿经切开活检后自发缓解:一例报告
Head Face Med. 2016 Jun 2;12(1):21. doi: 10.1186/s13005-016-0118-9.
3
A rare occurrence of Langerhans cell histiocytosis in an adult.成人罕见的朗格汉斯细胞组织细胞增多症病例。
J Oral Maxillofac Pathol. 2014 Sep-Dec;18(3):415-9. doi: 10.4103/0973-029X.151335.
4
Diagnosis and management of langerhans cell histiocytosis.朗格汉斯细胞组织细胞增多症的诊断与管理
J Am Acad Orthop Surg. 2014 Oct;22(10):643-52. doi: 10.5435/JAAOS-22-10-643.
5
Langerhans cell histiocytosis of maxilla and mandible in 6 years old child: a case report.6岁儿童上颌骨和下颌骨朗格汉斯细胞组织细胞增多症:一例报告
Int J Clin Pediatr Dent. 2009 May;2(2):45-9. doi: 10.5005/jp-journals-10005-1029. Epub 2009 Aug 26.
6
Langerhans cell histiocytosis with oral manifestations: a rare and unusual case report.伴有口腔表现的朗格汉斯细胞组织细胞增多症:一例罕见且特殊的病例报告
J Clin Exp Dent. 2012 Oct 1;4(4):e252-5. doi: 10.4317/jced.50728. eCollection 2012 Oct.
7
Langerhans Cell Histiocytosis of Maxillary sinus.上颌窦朗格汉斯细胞组织细胞增多症
Med J Malaysia. 2012 Dec;67(6):627-8.
8
Hand-Schüller-Christian disease.汉-许-克病
Indian J Dent Res. 2012 Nov-Dec;23(6):830-2. doi: 10.4103/0970-9290.111273.
9
Recurrent multifocal Langerhans cell histiocytosis of the mandible and maxilla in a 46-year-old man: a pathologic case report.一名46岁男性下颌骨和上颌骨复发性多灶性朗格汉斯细胞组织细胞增多症:一例病理病例报告
Int J Clin Exp Pathol. 2013 Apr 15;6(5):939-42. Print 2013.
10
Optimal therapy for adults with Langerhans cell histiocytosis bone lesions.朗格汉斯细胞组织细胞增生症骨病变成人的最佳治疗方法。
PLoS One. 2012;7(8):e43257. doi: 10.1371/journal.pone.0043257. Epub 2012 Aug 15.