Genualdi Joseph, Orach Tonny, Gumbs Shamon, Ausqui Gonzalo, Donaldson Brian, Ramcharan Alexius
Surgery, Columbia University Vagelos College of Physicians and Surgeons, New York, USA.
General Surgery, Harlem Hospital Center, New York, USA.
Cureus. 2023 Apr 18;15(4):e37797. doi: 10.7759/cureus.37797. eCollection 2023 Apr.
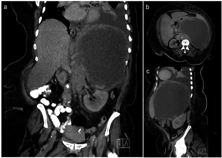
Diffuse large B-cell lymphoma (DLBCL) is the most common type of non-Hodgkin lymphoma. Though the presentation is diverse, patients typically have a history of "B" symptoms and lymphadenopathy in areas such as the neck, mediastinum, or abdomen. However, a growing body of evidence suggests DLBCL can present as a cystic mass in diverse tissues. We present the case of a large cystic left retroperitoneal mass of unknown origin in a patient subsequently diagnosed with DLBCL. The diagnosis was obtained via percutaneous biopsy of the cystic mass in preparation for surgical excision. Upon diagnosis, surgical intervention was aborted, and the patient was started on chemotherapy treatment. However, four weeks into her treatment, she slipped and fell while in the bathroom and presented to the emergency department in shock with a computed tomography (CT) scan suggestive of splenic rupture. She underwent emergent splenectomy and resection of the cystic mass. She was discharged on postoperative day 7 and is currently continuing with outpatient chemotherapy. The presentation of DLBCL is notoriously diverse, however, this patient represents a unique presentation that adds to a growing body of literature suggesting DLBCL can present as a cystic mass. Pathological diagnosis should be obtained in all patients with cystic lesions of unknown origin before any surgical intervention to avoid unnecessary surgery and provide an optimal management plan.
弥漫性大B细胞淋巴瘤(DLBCL)是最常见的非霍奇金淋巴瘤类型。尽管临床表现多样,但患者通常有“B”症状病史,且在颈部、纵隔或腹部等部位出现淋巴结病。然而,越来越多的证据表明,DLBCL可表现为不同组织中的囊性肿块。我们报告一例患者,其左腹膜后出现一个不明来源的巨大囊性肿块,随后被诊断为DLBCL。通过对囊性肿块进行经皮活检以准备手术切除,从而获得诊断。确诊后,中止了手术干预,患者开始接受化疗。然而,在治疗四周时,她在浴室滑倒,因计算机断层扫描(CT)显示脾破裂而休克,被送往急诊科。她接受了急诊脾切除术和囊性肿块切除术。术后第7天出院,目前继续接受门诊化疗。DLBCL的表现众所周知是多样的,然而,该患者代表了一种独特的表现,这为越来越多表明DLBCL可表现为囊性肿块的文献增添了内容。对于所有不明来源的囊性病变患者,在进行任何手术干预之前都应获得病理诊断,以避免不必要的手术并提供最佳的管理方案。