Department of Anatomy and Neurobiology, School of Basic Medical Sciences, Central South University, Changsha, 410031, Hunan Province, P.R. China.
Hunan Cancer Hospital and the Affiliated Cancer Hospital of Xiangya School of Medicine, Central South University, No. 283, Tongzipo Road, Yuelu Distirct, Changsha, 410031, Hunan Province, P.R. China.
Cell Oncol (Dordr). 2023 Oct;46(5):1285-1299. doi: 10.1007/s13402-023-00811-y. Epub 2023 Apr 26.
A high incidence of hepatocellular carcinoma (HCC), the most frequently diagnosed form of liver cancer, is observed in Africa and Asia. SYVN1 is upregulated in HCC; however, the biological roles of SYVN1 in immune evasion remain unclear.
RT-qPCR and western blot were employed to detect the expression levels of SYVN1 and the key molecules in HCC cells and tissues. Flow cytometry was used to determine the proportion of T cells, and an ELISA assay was used to determine the amount of IFN-γ secreted. Cell viability was monitored by CCK-8 and colony formation assays. The metastatic properties of HCC cells were detected by Transwell assays. Bioinformatics analysis, ChIP, and luciferase assays were used to study the transcriptional regulation of PD-L1. Co-IP was used to detect direct interaction between SYVN1 and FoxO1, as well as the ubiquitination of FoxO1. The in vitro findings were validated in xenograft and lung metastasis models.
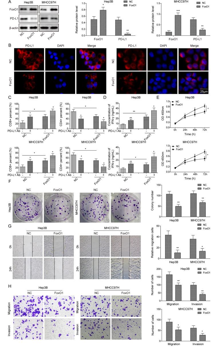
In HCC cells and tissues, SYVN1 was upregulated while FoxO1 was downregulated. SYVN1 knockdown or FoxO1 overexpression reduced PD-L1 expression, and inhibited immune evasion, cell growth, and metastasis in HCC cells. Mechanistically, FoxO1 regulated PD-L1 transcription in a β-catenin-independent or -dependent manner. Functional studies further showed that SYVN1 promoted immune evasion, cell proliferation, migration and invasion via facilitating ubiquitin-proteasome-dependent degradation of FoxO1. In vivo investigations showed that silencing of SYVN1 inhibited immune evasion and metastasis of HCC cells, possible via the FoxO1/PD-L1 axis.
SYVN1 regulates FoxO1 ubiquitination to stimulate β-catenin nuclear translocation and promotes PD-L1-mediated metastasis and immune evasion in HCC.
肝细胞癌(HCC)是最常见的肝癌类型,其发病率在非洲和亚洲较高。SYVN1 在 HCC 中上调;然而,SYVN1 在免疫逃逸中的生物学作用尚不清楚。
采用 RT-qPCR 和 Western blot 检测 HCC 细胞和组织中 SYVN1 及关键分子的表达水平。采用流式细胞术检测 T 细胞比例,采用 ELISA 法检测 IFN-γ分泌量。采用 CCK-8 和集落形成实验检测细胞活力。采用 Transwell 实验检测 HCC 细胞的转移特性。采用生物信息学分析、ChIP 和荧光素酶实验研究 PD-L1 的转录调控。采用 Co-IP 检测 SYVN1 与 FoxO1 之间的直接相互作用以及 FoxO1 的泛素化。在异种移植和肺转移模型中验证了体外发现。
在 HCC 细胞和组织中,SYVN1 上调,而 FoxO1 下调。SYVN1 敲低或 FoxO1 过表达降低 PD-L1 表达,并抑制 HCC 细胞的免疫逃逸、细胞生长和转移。机制上,FoxO1 以β-catenin 非依赖性或依赖性方式调节 PD-L1 转录。功能研究进一步表明,SYVN1 通过促进 FoxO1 的泛素化-蛋白酶体降解,促进 HCC 细胞的免疫逃逸、增殖、迁移和侵袭。体内研究表明,沉默 SYVN1 抑制 HCC 细胞的免疫逃逸和转移,可能通过 FoxO1/PD-L1 轴。
SYVN1 调节 FoxO1 泛素化,刺激β-catenin 核易位,并促进 HCC 中 PD-L1 介导的转移和免疫逃逸。