Suppr超能文献

AKT抑制剂Hu7691诱导神经母细胞瘤细胞分化。

AKT inhibitor Hu7691 induces differentiation of neuroblastoma cells.

作者信息

Bing Shaowei, Xiang Senfeng, Xia Zhimei, Wang Yilong, Guan Zhonghai, Che Jinxin, Xu Aixiao, Dong Xiaowu, Cao Ji, Yang Bo, Wang Jinhu, He Qiaojun, Ying Meidan

机构信息

Department of Surgical Oncology, Children's Hospital, Zhejiang University School of Medicine, Hangzhou 310052, China.

Institute of Pharmacology and Toxicology, Zhejiang Province Key Laboratory of Anti-Cancer Drug Research, College of Pharmaceutical Sciences, Zhejiang University, Hangzhou 310058, China.

出版信息

Acta Pharm Sin B. 2023 Apr;13(4):1522-1536. doi: 10.1016/j.apsb.2023.01.024. Epub 2023 Feb 4.

Abstract

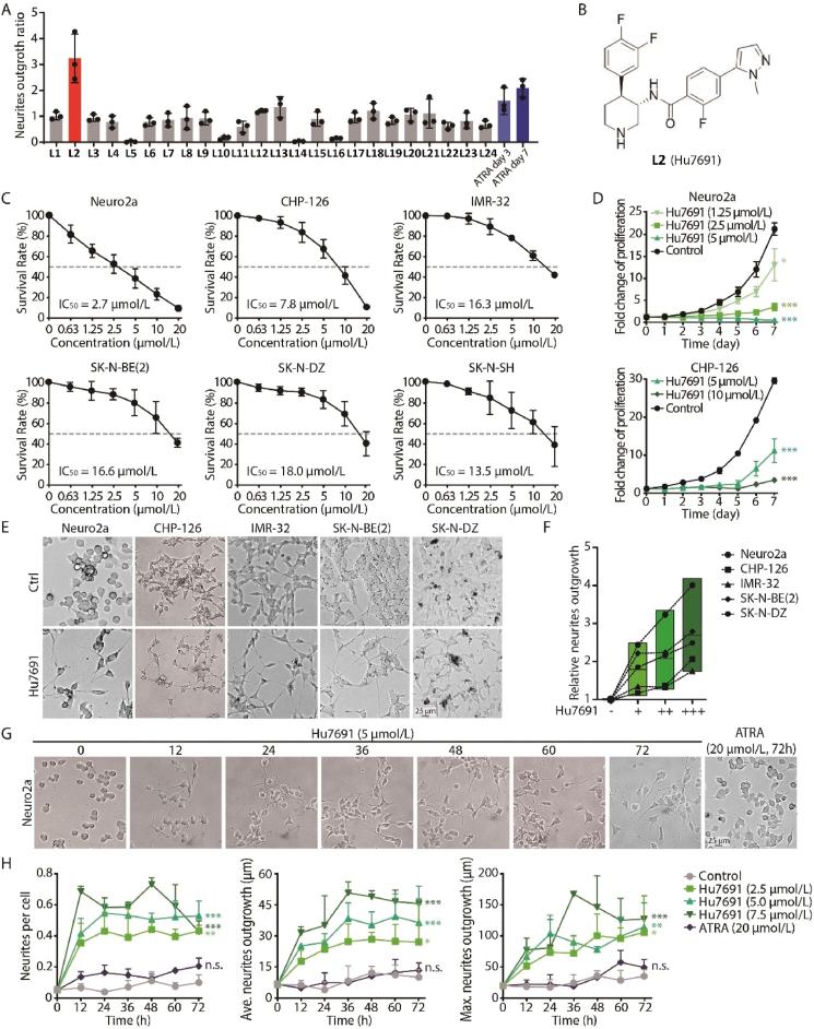
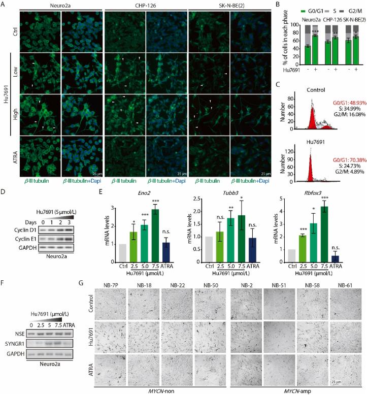
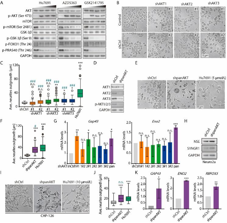
While neuroblastoma accounts for 15% of childhood tumor-related deaths, treatments against neuroblastoma remain scarce and mainly consist of cytotoxic chemotherapeutic drugs. Currently, maintenance therapy of differentiation induction is the standard of care for neuroblastoma patients in clinical, especially high-risk patients. However, differentiation therapy is not used as a first-line treatment for neuroblastoma due to low efficacy, unclear mechanism, and few drug options. Through compound library screening, we accidently found the potential differentiation-inducing effect of AKT inhibitor Hu7691. The protein kinase B (AKT) pathway is an important signaling pathway for regulating tumorigenesis and neural differentiation, yet the relation between the AKT pathway and neuroblastoma differentiation remains unclear. Here, we reveal the anti-proliferation and neurogenesis effect of Hu7691 on multiple neuroblastoma cell lines. Further evidence including neurites outgrowth, cell cycle arrest, and differentiation mRNA marker clarified the differentiation-inducing effect of Hu7691. Meanwhile, with the introduction of other AKT inhibitors, it is now clear that multiple AKT inhibitors can induce neuroblastoma differentiation. Furthermore, silencing AKT was found to have the effect of inducing neuroblastoma differentiation. Finally, confirmation of the therapeutic effects of Hu7691 is dependent on inducing differentiation , suggesting that Hu7691 is a potential molecule against neuroblastoma. Through this study, we not only define the key role of AKT in the progression of neuroblastoma differentiation but also provide potential drugs and key targets for the application of differentiation therapies for neuroblastoma clinically.

摘要

虽然神经母细胞瘤占儿童肿瘤相关死亡的15%,但针对神经母细胞瘤的治疗方法仍然稀缺,主要由细胞毒性化疗药物组成。目前,诱导分化的维持治疗是临床上神经母细胞瘤患者,尤其是高危患者的标准治疗方法。然而,由于疗效低、机制不明且药物选择少,分化疗法未被用作神经母细胞瘤的一线治疗方法。通过化合物库筛选,我们意外发现了AKT抑制剂Hu7691的潜在诱导分化作用。蛋白激酶B(AKT)信号通路是调节肿瘤发生和神经分化的重要信号通路,但AKT信号通路与神经母细胞瘤分化之间的关系仍不清楚。在这里,我们揭示了Hu7691对多种神经母细胞瘤细胞系的抗增殖和神经发生作用。包括神经突生长、细胞周期停滞和分化mRNA标志物在内的进一步证据阐明了Hu7691的诱导分化作用。同时,随着其他AKT抑制剂的引入,现在清楚的是多种AKT抑制剂可以诱导神经母细胞瘤分化。此外,发现沉默AKT具有诱导神经母细胞瘤分化的作用。最后,Hu7691治疗效果的证实依赖于诱导分化,这表明Hu7691是一种潜在的抗神经母细胞瘤分子。通过这项研究,我们不仅明确了AKT在神经母细胞瘤分化进程中的关键作用,还为临床上神经母细胞瘤分化疗法的应用提供了潜在药物和关键靶点。

https://cdn.ncbi.nlm.nih.gov/pmc/blobs/c9b7/10150122/dcfe3cd37bd8/ga1.jpg

文献AI研究员

20分钟写一篇综述,助力文献阅读效率提升50倍。

立即体验

用中文搜PubMed

大模型驱动的PubMed中文搜索引擎

马上搜索

文档翻译

学术文献翻译模型,支持多种主流文档格式。

立即体验