Suppr超能文献

子宫-卵巢低级别子宫内膜间质肉瘤,病例报告。

Utero-ovarian low grade endometrial stromal sarcoma, a case report.

作者信息

Salehi Mahsa, Sheidaei Somayeh, Jafari Hamid Reza, Jafari Afrooz

机构信息

Mazandaran University of Medical Sciences, Mazandaran, Iran.

Mazandaran University of Medical Sciences, Mazandaran, Iran.

出版信息

Int J Surg Case Rep. 2023 May;106:108296. doi: 10.1016/j.ijscr.2023.108296. Epub 2023 May 4.

Abstract

INTRODUCTION

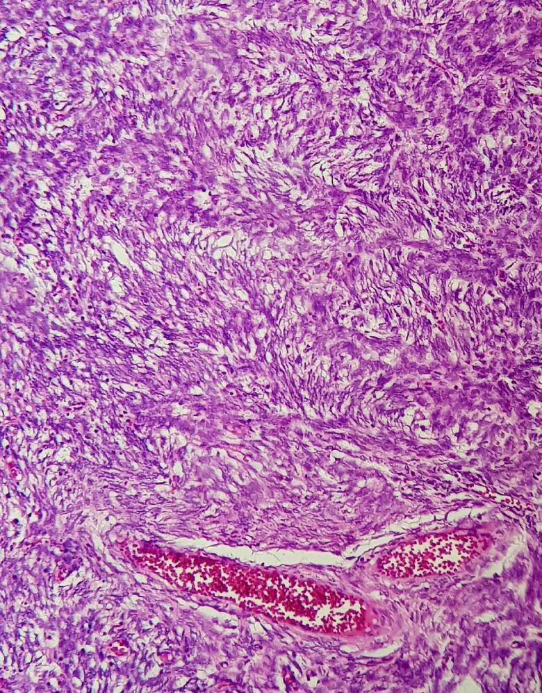
Endometrial stromal sarcoma (ESS) is a rare malignancy of uterine in middle aged women. There are numerous subtypes for ESS which share the same clinical picture of uterine bleeding and pelvic pain. Consequently, diagnosis and treatment modalities of LG-ESS with metastasis are challenging. However, both molecular and immunological study of samples can be useful.

CASE PRESENTATION

In this case study, we report a 52-year-old woman presenting with the chief complaint of unusual uterine bleeding. There was no specific finding in her past medical history. The CT study revealed enlarged bilateral ovary with a significantly large left ovarian mass and suspicious mass in uterus. By the diagnosis of ovarian mass, patient went under total abdominal hysterectomy with bilateral salpingo-oophorectomy (BSO), greater omentectomy, and appendectomy followed by post-op hormone therapy. Her follow-up was uneventful. The IHC and pathological study of samples revealed incidental LG-ESS uterus mass with metastasis to ovaries despite her primary diagnosis.

DISCUSSION

LG-ESS has low metastasis rate. Surgical modalities and neoadjuvant therapies are recommended base on the stage of ESS. In the following study, we represent a case of incidental LG-ESS with bilateral ovarian invasion who was initially diagnosed as an ovarian mass.

CONCLUSION

Our patient was successfully managed by surgical intervention. Despite scarcity of LG-ESS, it is advised to consider LG-ESS as a differential diagnosis in management of patients with a uterus mass with bilateral ovarian involvement.

摘要

引言

子宫内膜间质肉瘤(ESS)是中年女性子宫的一种罕见恶性肿瘤。ESS有许多亚型,它们都有子宫出血和盆腔疼痛的相同临床表现。因此,诊断和治疗伴有转移的低级别子宫内膜间质肉瘤(LG-ESS)具有挑战性。然而,样本的分子和免疫学研究可能会有所帮助。

病例报告

在本病例研究中,我们报告了一名52岁女性,主要主诉为异常子宫出血。她既往病史无特殊发现。CT检查显示双侧卵巢增大,左侧卵巢有一个明显较大的肿块,子宫内有可疑肿块。通过卵巢肿块诊断,患者接受了全腹子宫切除术、双侧输卵管卵巢切除术(BSO)、大网膜切除术和阑尾切除术,随后进行术后激素治疗。她的随访情况良好。样本的免疫组化(IHC)和病理研究显示,尽管她最初的诊断并非如此,但偶然发现子宫肿块为LG-ESS并伴有卵巢转移。

讨论

LG-ESS的转移率较低。建议根据ESS的分期选择手术方式和新辅助治疗。在以下研究中,我们报告了一例偶然发现的伴有双侧卵巢侵犯的LG-ESS病例,该病例最初被诊断为卵巢肿块。

结论

我们的患者通过手术干预成功治疗。尽管LG-ESS病例较少,但在处理双侧卵巢受累的子宫肿块患者时,建议将LG-ESS作为鉴别诊断考虑。

https://cdn.ncbi.nlm.nih.gov/pmc/blobs/9668/10189258/6b38e5b9afe0/gr1.jpg

文献AI研究员

20分钟写一篇综述,助力文献阅读效率提升50倍。

立即体验

用中文搜PubMed

大模型驱动的PubMed中文搜索引擎

马上搜索

文档翻译

学术文献翻译模型,支持多种主流文档格式。

立即体验