• 文献检索
  • 文档翻译
  • 深度研究
  • 学术资讯
  • Suppr Zotero 插件Zotero 插件
  • 邀请有礼
  • 套餐&价格
  • 历史记录
应用&插件
Suppr Zotero 插件Zotero 插件浏览器插件Mac 客户端Windows 客户端微信小程序
定价
高级版会员购买积分包购买API积分包
服务
文献检索文档翻译深度研究API 文档MCP 服务
关于我们
关于 Suppr公司介绍联系我们用户协议隐私条款
关注我们

Suppr 超能文献

核心技术专利:CN118964589B侵权必究
粤ICP备2023148730 号-1Suppr @ 2026

文献检索

告别复杂PubMed语法,用中文像聊天一样搜索,搜遍4000万医学文献。AI智能推荐,让科研检索更轻松。

立即免费搜索

文件翻译

保留排版,准确专业,支持PDF/Word/PPT等文件格式,支持 12+语言互译。

免费翻译文档

深度研究

AI帮你快速写综述,25分钟生成高质量综述,智能提取关键信息,辅助科研写作。

立即免费体验

气液界面重塑膜脂质并增强 Slc26a3 向人类类器官单层中富含脂质的域的募集。

The Air-Liquid Interface Reorganizes Membrane Lipids and Enhances the Recruitment of Slc26a3 to Lipid-Rich Domains in Human Colonoid Monolayers.

机构信息

Division of Gastroenterology & Hepatology, Department of Medicine, School of Medicine, The Johns Hopkins University, 720 Rutland Avenue, 933 Ross Research Building, Baltimore, MD 21205, USA.

Department of Cellular and Molecular Physiology, School of Medicine, The Johns Hopkins University, Baltimore, MD 21205, USA.

出版信息

Int J Mol Sci. 2023 May 5;24(9):8273. doi: 10.3390/ijms24098273.

DOI:10.3390/ijms24098273
PMID:37175979
原文链接:https://pmc.ncbi.nlm.nih.gov/articles/PMC10179158/
Abstract

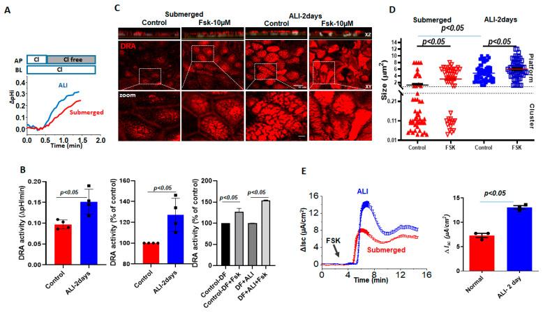
Cholesterol-rich membrane domains, also called lipid rafts (LRs), are specialized membrane domains that provide a platform for intracellular signal transduction. Membrane proteins often cluster in LRs that further aggregate into larger platform-like structures that are enriched in ceramides and are called ceramide-rich platforms (CRPs). The role of CRPs in the regulation of intestinal epithelial functions remains unknown. Down-regulated in adenoma (DRA) is an intestinal Cl/HCO antiporter that is enriched in LRs. However, little is known regarding the mechanisms involved in the regulation of DRA activity. The air-liquid interface (ALI) was created by removing apical media for a specified number of days; from 12-14 days post-confluency, Caco-2/BBe cells or a colonoid monolayer were grown as submerged cultures. Confocal imaging was used to examine the dimensions of membrane microdomains that contained DRA. DRA expression and activity were enhanced in Caco-2/BBe cells and human colonoids using an ALI culture method. ALI causes an increase in acid sphingomyelinase (ASMase) activity, an enzyme responsible for enhancing ceramide content in the plasma membrane. ALI cultures expressed a larger number of DRA-containing platforms with dimensions >2 µm compared to cells grown as submerged cultures. ASMase inhibitor, desipramine, disrupted CRPs and reduced the ALI-induced increase in DRA expression in the apical membrane. Exposing normal human colonoid monolayers to ALI increased the ASMase activity and enhanced the differentiation of colonoids along with basal and forskolin-stimulated DRA activities. ALI increases DRA activity and expression by increasing ASMase activity and platform formation in Caco-2/BBe cells and by enhancing the differentiation of colonoids.

摘要

富含胆固醇的膜域,也称为脂筏(LRs),是一种特殊的膜域,为细胞内信号转导提供平台。膜蛋白经常聚集在 LRs 中,这些 LRs 进一步聚集形成更大的平台样结构,富含神经酰胺,称为富含神经酰胺的平台(CRPs)。CRPs 在调节肠道上皮功能中的作用尚不清楚。腺瘤下调物(DRA)是一种富含 LRs 的肠道 Cl/HCO 反向转运蛋白。然而,对于调节 DRA 活性的机制知之甚少。气液界面(ALI)是通过去除特定天数的顶端培养基而创建的;在细胞融合后 12-14 天,Caco-2/BBe 细胞或结肠类器官单层作为浸没培养物生长。共聚焦成像用于检查包含 DRA 的膜微域的尺寸。使用 ALI 培养方法,Caco-2/BBe 细胞和人结肠类器官中 DRA 的表达和活性增强。ALI 导致酸性鞘磷脂酶(ASMase)活性增加,ASMase 是一种负责增加质膜中神经酰胺含量的酶。与作为浸没培养物生长的细胞相比,ALI 培养物表达了更多尺寸 >2 µm 的包含 DRA 的平台。ASMase 抑制剂去甲丙咪嗪破坏了 CRPs,并减少了 ALI 诱导的顶膜中 DRA 表达的增加。将正常的人结肠类器官暴露于 ALI 会增加 ASMase 活性,并增强结肠类器官的分化,以及基础和 forskolin 刺激的 DRA 活性。ALI 通过增加 ASMase 活性和平台形成来增加 Caco-2/BBe 细胞中的 DRA 活性和表达,并通过增强结肠类器官的分化来增强 DRA 活性和表达。

https://cdn.ncbi.nlm.nih.gov/pmc/blobs/9433/10179158/4cc91953b273/ijms-24-08273-g007.jpg
https://cdn.ncbi.nlm.nih.gov/pmc/blobs/9433/10179158/77e31ebd03f6/ijms-24-08273-g001.jpg
https://cdn.ncbi.nlm.nih.gov/pmc/blobs/9433/10179158/5add53cb1473/ijms-24-08273-g002.jpg
https://cdn.ncbi.nlm.nih.gov/pmc/blobs/9433/10179158/9558f45fd64a/ijms-24-08273-g003.jpg
https://cdn.ncbi.nlm.nih.gov/pmc/blobs/9433/10179158/372e56fa05a2/ijms-24-08273-g004.jpg
https://cdn.ncbi.nlm.nih.gov/pmc/blobs/9433/10179158/c7b8d529e830/ijms-24-08273-g005.jpg
https://cdn.ncbi.nlm.nih.gov/pmc/blobs/9433/10179158/385b5ddb3a58/ijms-24-08273-g006.jpg
https://cdn.ncbi.nlm.nih.gov/pmc/blobs/9433/10179158/4cc91953b273/ijms-24-08273-g007.jpg
https://cdn.ncbi.nlm.nih.gov/pmc/blobs/9433/10179158/77e31ebd03f6/ijms-24-08273-g001.jpg
https://cdn.ncbi.nlm.nih.gov/pmc/blobs/9433/10179158/5add53cb1473/ijms-24-08273-g002.jpg
https://cdn.ncbi.nlm.nih.gov/pmc/blobs/9433/10179158/9558f45fd64a/ijms-24-08273-g003.jpg
https://cdn.ncbi.nlm.nih.gov/pmc/blobs/9433/10179158/372e56fa05a2/ijms-24-08273-g004.jpg
https://cdn.ncbi.nlm.nih.gov/pmc/blobs/9433/10179158/c7b8d529e830/ijms-24-08273-g005.jpg
https://cdn.ncbi.nlm.nih.gov/pmc/blobs/9433/10179158/385b5ddb3a58/ijms-24-08273-g006.jpg
https://cdn.ncbi.nlm.nih.gov/pmc/blobs/9433/10179158/4cc91953b273/ijms-24-08273-g007.jpg

相似文献

1
The Air-Liquid Interface Reorganizes Membrane Lipids and Enhances the Recruitment of Slc26a3 to Lipid-Rich Domains in Human Colonoid Monolayers.气液界面重塑膜脂质并增强 Slc26a3 向人类类器官单层中富含脂质的域的募集。
Int J Mol Sci. 2023 May 5;24(9):8273. doi: 10.3390/ijms24098273.
2
cAMP Stimulates SLC26A3 Activity in Human Colon by a CFTR-Dependent Mechanism That Does Not Require CFTR Activity.cAMP 通过一种不依赖 CFTR 活性的 CFTR 依赖性机制刺激人结肠中的 SLC26A3 活性。
Cell Mol Gastroenterol Hepatol. 2019;7(3):641-653. doi: 10.1016/j.jcmgh.2019.01.002. Epub 2019 Jan 17.
3
SLC26A3 (DRA) is stimulated in a synergistic, intracellular Ca-dependent manner by cAMP and ATP in intestinal epithelial cells.SLC26A3(DRA)在肠道上皮细胞中,通过 cAMP 和 ATP 以协同、细胞内 Ca2+依赖的方式被激活。
Am J Physiol Cell Physiol. 2023 Jun 1;324(6):C1263-C1273. doi: 10.1152/ajpcell.00523.2022. Epub 2023 May 8.
4
SNX27 regulates DRA activity and mediates its direct recycling by PDZ-interaction in early endosomes at the apical pole of Caco2 cells.SNX27 通过 PDZ 相互作用调节 DRA 活性,并在 Caco2 细胞顶端的早期内涵体中介导其直接回收。
Am J Physiol Gastrointest Liver Physiol. 2020 May 1;318(5):G854-G869. doi: 10.1152/ajpgi.00374.2019. Epub 2020 Mar 2.
5
Decreased SLC26A3 expression and function in intestinal epithelial cells in response to infection.感染导致肠道上皮细胞中 SLC26A3 的表达和功能下降。
Am J Physiol Cell Physiol. 2019 Dec 1;317(6):C1205-C1212. doi: 10.1152/ajpcell.00278.2019. Epub 2019 Sep 4.
6
CDX2 upregulates SLC26A3 gene expression in intestinal epithelial cells.CDX2上调肠上皮细胞中SLC26A3基因的表达。
Am J Physiol Gastrointest Liver Physiol. 2017 Sep 1;313(3):G256-G264. doi: 10.1152/ajpgi.00108.2017. Epub 2017 Jun 1.
7
All-trans Retinoic Acid Counteracts Diarrhea and Inhibition of Downregulated in Adenoma Expression in Gut Inflammation.全反式维甲酸可对抗腹泻并抑制腺瘤中下调表达在肠道炎症中的作用。
Inflamm Bowel Dis. 2020 Mar 4;26(4):534-545. doi: 10.1093/ibd/izz249.
8
Mechanisms of DRA recycling in intestinal epithelial cells: effect of enteropathogenic E. coli.肠道上皮细胞中DRA回收机制:肠致病性大肠杆菌的影响
Am J Physiol Cell Physiol. 2015 Dec 15;309(12):C835-46. doi: 10.1152/ajpcell.00107.2015. Epub 2015 Oct 7.
9
Stimulation of apical Cl⁻/HCO₃⁻(OH⁻) exchanger, SLC26A3 by neuropeptide Y is lipid raft dependent.神经肽 Y 刺激顶端 Cl⁻/HCO₃⁻(OH⁻)交换器 SLC26A3 依赖于脂筏。
Am J Physiol Gastrointest Liver Physiol. 2010 Dec;299(6):G1334-43. doi: 10.1152/ajpgi.00039.2010. Epub 2010 Sep 30.
10
Probiotic Bifidobacterium species stimulate human SLC26A3 gene function and expression in intestinal epithelial cells.益生菌双歧杆菌属可刺激人SLC26A3基因在肠道上皮细胞中的功能和表达。
Am J Physiol Cell Physiol. 2014 Dec 15;307(12):C1084-92. doi: 10.1152/ajpcell.00194.2014. Epub 2014 Aug 20.

引用本文的文献

1
Partially differentiated ileal and distal-colonic human F508del-cystic fibrosis-enteroids secrete fluid in response to forskolin and linaclotide.部分分化的人源F508del-囊性纤维化回肠和远端结肠肠类器官对福斯可林和利那洛肽有反应并分泌液体。
iScience. 2025 Apr 16;28(5):112453. doi: 10.1016/j.isci.2025.112453. eCollection 2025 May 16.
2
Emerging roles of the acid sphingomyelinase/ceramide pathway in metabolic and cardiovascular diseases: Mechanistic insights and therapeutic implications.酸性鞘磷脂酶/神经酰胺途径在代谢性疾病和心血管疾病中的新作用:机制见解与治疗意义
World J Cardiol. 2025 Feb 26;17(2):102308. doi: 10.4330/wjc.v17.i2.102308.
3

本文引用的文献

1
Identification of Intestinal NaCl Absorptive-Anion Secretory Cells: Potential Functional Significance.肠道氯化钠吸收性阴离子分泌细胞的鉴定:潜在的功能意义
Front Physiol. 2022 Jul 19;13:892112. doi: 10.3389/fphys.2022.892112. eCollection 2022.
2
Chronic Inflammation in Ulcerative Colitis Causes Long-Term Changes in Goblet Cell Function.溃疡性结肠炎中的慢性炎症导致杯状细胞功能的长期变化。
Cell Mol Gastroenterol Hepatol. 2022;13(1):219-232. doi: 10.1016/j.jcmgh.2021.08.010. Epub 2021 Aug 18.
3
Creating a More Perfect Union: Modeling Intestinal Bacteria-Epithelial Interactions Using Organoids.
Type 1 diabetes human enteroid studies reveal major changes in the intestinal epithelial compartment.
1 型糖尿病人类类器官研究揭示了肠道上皮隔室的重大变化。
Sci Rep. 2024 May 24;14(1):11911. doi: 10.1038/s41598-024-62282-x.
4
Special Issue "Stem Cell Biology & Regenerative Medicine".专刊:干细胞生物学与再生医学
Int J Mol Sci. 2023 Aug 16;24(16):12855. doi: 10.3390/ijms241612855.
创建更完美的联盟:使用类器官模型研究肠道细菌-上皮相互作用。
Cell Mol Gastroenterol Hepatol. 2021;12(2):769-782. doi: 10.1016/j.jcmgh.2021.04.010. Epub 2021 Apr 22.
4
Oxygenation as a driving factor in epithelial differentiation at the air-liquid interface.氧合作用作为气液界面上皮细胞分化的驱动因素。
Integr Biol (Camb). 2021 Mar 17;13(3):61-72. doi: 10.1093/intbio/zyab002.
5
A Novel Role of SLC26A3 in the Maintenance of Intestinal Epithelial Barrier Integrity.SLC26A3 在维持肠道上皮屏障完整性中的新作用。
Gastroenterology. 2021 Mar;160(4):1240-1255.e3. doi: 10.1053/j.gastro.2020.11.008. Epub 2020 Nov 13.
6
Slc26a3 (DRA) in the Gut: Expression, Function, Regulation, Role in Infectious Diarrhea and Inflammatory Bowel Disease.Slc26a3(DRA)在肠道中的表达、功能、调控及其在感染性腹泻和炎症性肠病中的作用。
Inflamm Bowel Dis. 2021 Mar 15;27(4):575-584. doi: 10.1093/ibd/izaa256.
7
Mucus layer modeling of human colonoids during infection with enteroaggragative E. coli.人源类器官感染肠聚集性大肠杆菌时黏液层的建模。
Sci Rep. 2020 Jun 29;10(1):10533. doi: 10.1038/s41598-020-67104-4.
8
Long-Term Culture Captures Injury-Repair Cycles of Colonic Stem Cells.长期培养捕获结肠干细胞的损伤-修复周期。
Cell. 2019 Nov 14;179(5):1144-1159.e15. doi: 10.1016/j.cell.2019.10.015. Epub 2019 Nov 7.
9
Agonists that stimulate secretion promote the recruitment of CFTR into membrane lipid microdomains.激动剂刺激分泌促进 CFTR 向膜脂微区募集。
J Gen Physiol. 2019 Jun 3;151(6):834-849. doi: 10.1085/jgp.201812143. Epub 2019 May 2.
10
cAMP Stimulates SLC26A3 Activity in Human Colon by a CFTR-Dependent Mechanism That Does Not Require CFTR Activity.cAMP 通过一种不依赖 CFTR 活性的 CFTR 依赖性机制刺激人结肠中的 SLC26A3 活性。
Cell Mol Gastroenterol Hepatol. 2019;7(3):641-653. doi: 10.1016/j.jcmgh.2019.01.002. Epub 2019 Jan 17.