Suppr超能文献

脊髓损伤(SCI)后接受预防性或抗凝治疗患者的肌内血肿——一种罕见并发症:7例病例描述及文献分析

Intramuscular Hematomas in Patients Receiving Prophylaxis or Anticoagulant Treatment after Spinal Cord Injury (SCI)-A Rare Complication: Description of Seven Cases and a Literature Analysis.

作者信息

Mackiewicz-Milewska Magdalena, Cisowska-Adamiak Małgorzata, Szymkuć-Bukowska Iwona, Sakwińska Katarzyna, Domarecka Iwona, Lewandowska Anna, Głowacka-Mrotek Iwona

机构信息

Department of Rehabilitation, Nicolaus Copernicus University in Toruń, Collegium Medicum in Bydgoszcz, 85-094 Bydgoszcz, Poland.

出版信息

Biomedicines. 2023 Apr 10;11(4):1142. doi: 10.3390/biomedicines11041142.

Abstract

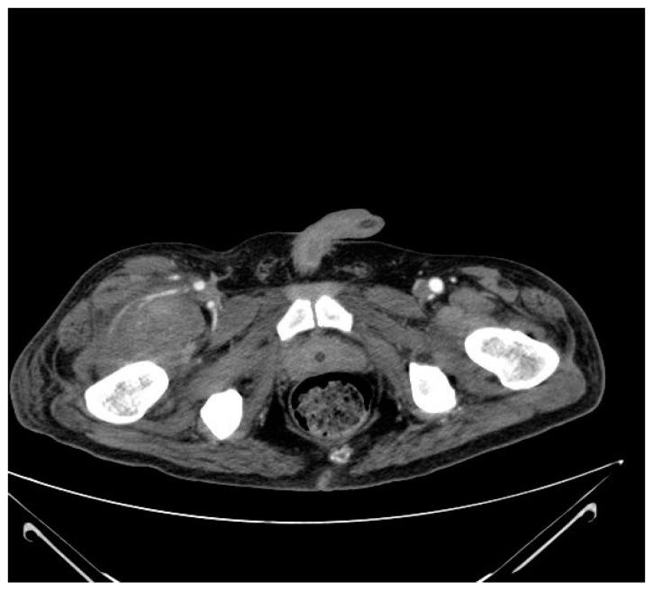
Spinal cord injuries (SCIs) are associated with a high risk of thromboembolic complications (VTE), despite the use of antithrombotic prophylaxis in the form of low-molecular-weight heparin (LMWH). The occurrence of VTE requires, as in other diseases, full-dose antithrombotic treatment. Herein, we describe seven cases of soft tissue hemorrhagic complications in the form of spontaneous intramuscular hematomas (SMHs) in patients after SCI undergoing rehabilitation. Four patients received anticoagulant therapy due to previously diagnosed deep vein thrombosis (DVT), and three patients received anticoagulant prophylaxis. None of the patients had a significant injury immediately before the hematoma appeared, and the only symptom was a sudden swelling of the limb without accompanying pain. The hematomas in all patients were treated conservatively. In three patients, significant decreases in hemoglobin were observed; in one patient, a blood transfusion was required for this reason. In all patients treated via anticoagulation, the anticoagulation treatment was modified at the time of diagnosis of the hematoma; in three patients, oral anticoagulants were changed to LMWH in a therapeutic dose, while in one patient, anticoagulant treatment was completely discontinued. Conclusions: Intramuscular hematomas are rare complications after SCI. Each sudden swelling of a limb requires ultrasound-based diagnostics. At the time of diagnosis of a hematoma, the level of hemoglobin and the size of the hematoma should be monitored. The treatment or anticoagulation prophylaxis should be modified if necessary.

摘要

脊髓损伤(SCI)与血栓栓塞并发症(VTE)的高风险相关,尽管采用了低分子量肝素(LMWH)形式的抗血栓预防措施。与其他疾病一样,VTE的发生需要全剂量抗血栓治疗。在此,我们描述了7例脊髓损伤患者在康复过程中出现的以自发性肌内血肿(SMH)形式的软组织出血并发症。4例患者因先前诊断为深静脉血栓形成(DVT)而接受抗凝治疗,3例患者接受抗凝预防。在血肿出现之前,所有患者均未遭受重大损伤,唯一症状是肢体突然肿胀且无伴随疼痛。所有患者的血肿均采用保守治疗。3例患者观察到血红蛋白显著下降;1例患者因此需要输血。在所有接受抗凝治疗的患者中,在诊断血肿时对抗凝治疗进行了调整;3例患者将口服抗凝剂改为治疗剂量的LMWH,1例患者完全停止抗凝治疗。结论:肌内血肿是脊髓损伤后罕见的并发症。肢体的每次突然肿胀都需要基于超声的诊断。在诊断血肿时,应监测血红蛋白水平和血肿大小。如有必要,应调整治疗或抗凝预防措施。

https://cdn.ncbi.nlm.nih.gov/pmc/blobs/e675/10136054/7df1270bcf31/biomedicines-11-01142-g001.jpg

文献AI研究员

20分钟写一篇综述,助力文献阅读效率提升50倍。

立即体验

用中文搜PubMed

大模型驱动的PubMed中文搜索引擎

马上搜索

文档翻译

学术文献翻译模型,支持多种主流文档格式。

立即体验