Biswal Debasish, Mirdha Bijay Ranjan
Department of Microbiology, All India Institute of Medical Sciences, New Delhi, India.
Access Microbiol. 2023 Apr 25;5(4). doi: 10.1099/acmi.0.000461.v3. eCollection 2023.
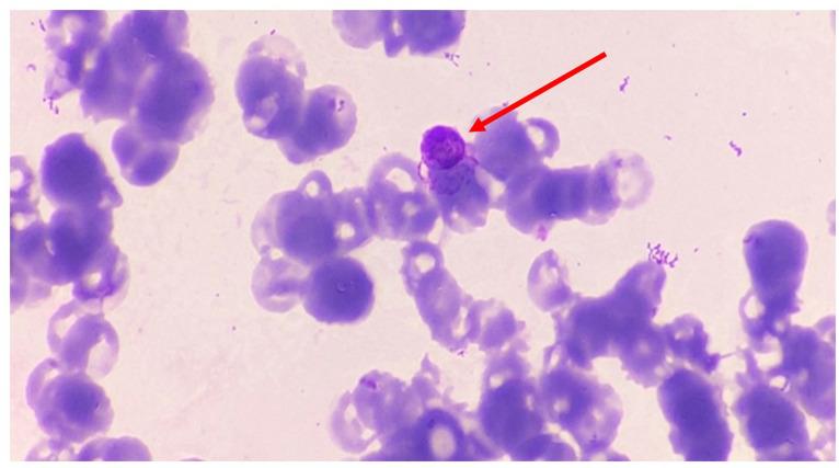
, one of the major species associated with human malaria, continues to be a major public health problem in many parts of the world. Numerous studies related to vivax malaria have described quantitative haematological findings (level of haemoglobin, thrombocytopaenia, haematocrit values), but diverse morphological changes of parasite forms within infected red blood cells (iRBCs) have been mentioned only in few studies. Here we report a case of a 13-year-old boy who presented with fever, significant low platelet counts and hypovolaemia that created a diagnostic dilemma. Detection of microgametocytes by microscopic examinations, further confirmed by multiplex nested PCR assays and response to anti-malarials, helped to make the diagnosis. We present an atypical case of vivax malaria with a review of morpho-variations of iRBCs and have summarized the characteristics that aid in creating increased awareness among laboratory health professionals and public health workers.
作为与人类疟疾相关的主要物种之一,在世界许多地区仍然是一个重大的公共卫生问题。许多关于间日疟的研究描述了血液学定量结果(血红蛋白水平、血小板减少、血细胞比容值),但仅有少数研究提及受感染红细胞(iRBCs)内寄生虫形态的多样变化。在此,我们报告一例13岁男孩病例,其表现为发热、显著的低血小板计数和血容量不足,这造成了诊断上的困境。通过显微镜检查检测到微配子体,并经多重巢式PCR检测进一步证实,以及对抗疟药的反应,有助于做出诊断。我们呈现了一例非典型间日疟病例,并对iRBCs的形态变异进行了综述,总结了有助于提高实验室卫生专业人员和公共卫生工作者认识的特征。