Suppr超能文献

子宫骨化生:一个有趣的主诉及继发性不孕病例:病例报告

Osseous metaplasia of the uterus: an interesting presenting complaint and case of secondary infertility: case report.

作者信息

Rudd Ignatius, Pujari Reshma

机构信息

Emergency Department, Mercy Hospital for Women.

Department of Pathology, Austin Health, Heidelberg, VIC, Australia.

出版信息

Ann Med Surg (Lond). 2023 Apr 11;85(5):2138-2140. doi: 10.1097/MS9.0000000000000583. eCollection 2023 May.

Abstract

UNLABELLED

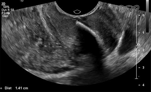
Little is known about the rare condition, osseous metaplasia of the uterus, with few cases described worldwide. It is a non-neoplastic transformation in which endometrial stroma is replaced with a mix of bone and cartilage. Occurring commonly after pregnancy, it is thought that the persistence of foetal embryonic remnants contributes to this change. If untreated, osseous metaplasia of the uterus can have a major impact on a woman's fertility.

CASE PRESENTATION

The authors present a case of a woman with the feeling of a foreign body in the vagina and a long-standing history of secondary infertility of unknown cause. She was found to have osseous metaplasia of the uterus with spontaneous expulsion of the bony fragments from the uterus into the cervical canal, creating the sensation of foreign body in the vagina. She was treated with hysteroscopic resection. Fertility returned 3 months post procedure.

CLINICAL DISCUSSION

This case provides a valuable reminder that osseous metaplasia can have a varied clinical presentation and requires a careful history and examination.

CONCLUSION

This case reinforces the importance of a thorough diagnostic assessment in the woman presenting with foreign body in the vagina/cervix and /orsecondary infertility. This rare but important diagnosis can have a lasting impact on a woman's reproductive health if left untreated.

摘要

未加标注

子宫骨化生这种罕见病症鲜为人知,全球仅有少数病例被描述。它是一种非肿瘤性转变,其中子宫内膜间质被骨和软骨的混合物所取代。通常发生在妊娠后,据认为胎儿胚胎残余物的持续存在促成了这种变化。如果不进行治疗,子宫骨化生会对女性生育能力产生重大影响。

病例报告

作者介绍了一名女性病例,该女性有阴道异物感且有长期不明原因的继发性不孕史。她被发现患有子宫骨化生,子宫内的骨碎片自发排入宫颈管,从而产生阴道异物感。她接受了宫腔镜切除术治疗。术后3个月恢复了生育能力。

临床讨论

该病例有力地提醒人们,骨化生可能有多种临床表现,需要仔细询问病史并进行检查。

结论

该病例强化了对出现阴道/宫颈异物和/或继发性不孕的女性进行全面诊断评估的重要性。这种罕见但重要的诊断如果不治疗,可能会对女性生殖健康产生持久影响。

https://cdn.ncbi.nlm.nih.gov/pmc/blobs/e971/10205252/67b3dce2aa96/ms9-85-2138-g001.jpg

文献检索

告别复杂PubMed语法,用中文像聊天一样搜索,搜遍4000万医学文献。AI智能推荐,让科研检索更轻松。

立即免费搜索

文件翻译

保留排版,准确专业,支持PDF/Word/PPT等文件格式,支持 12+语言互译。

免费翻译文档

深度研究

AI帮你快速写综述,25分钟生成高质量综述,智能提取关键信息,辅助科研写作。

立即免费体验